
اعوجاج العمود الفقري : الأسباب، الأعراض، التشخيص والعلاج
اعوجاج العمود الفقري : الأسباب، الأعراض، التشخيص والعلاج
اعوجاج العمود الفقري هو انحناء جانبي غير طبيعي في العمود الفقري، بحيث يظهر العمود الفقري بشكل حرف (S) أو حرف (C) بدلًا من أن يكون مستقيمًا من الأعلى إلى الأسفل.
من الطبيعي أن يكون للعمود الفقري انحناءات بسيطة للأمام والخلف تساعد الجسم على التوازن والحركة، لكن في حالة الاعوجاج، يكون الانحناء جانبيًا وغير متوازن.
في أغلب الحالات، يكون الاعوجاج خفيفًا ولا يسبب أي أعراض واضحة، لكن في بعض الأطفال والمراهقين يمكن أن يتطور تدريجيًا ويؤدي إلى عدم تناسق في شكل الجسم أو آلام في الظهر أو مشاكل في الوضعية.
عادةً ما يتم تشخيص هذه الحالة أثناء فترة المراهقة، لأنّها مرحلة النمو السريع للعظام.
ويعتمد العلاج على درجة الانحناء وعمر المريض، وقد يشمل العلاج الطبيعي، أو ارتداء الحزام الطبي (الكورسيه)، أو الجراحة في الحالات الشديدة.
أنواع اعوجاج العمود الفقري
يُقسَّم اعوجاج العمود الفقري إلى أنواع مختلفة حسب السبب ومرحلة العمر:
1. الاعوجاج مجهول السبب (Idiopathic Scoliosis)
وهو الأكثر شيوعًا بين الأطفال والمراهقين.
كلمة مجهول السبب تعني أن السبب غير معروف بشكل دقيق، لكن الدراسات الحديثة تشير إلى أن العوامل الوراثية قد تلعب دورًا مهمًا فيه، حيث يمكن أن يظهر أكثر من مرة في نفس العائلة.
2. الاعوجاج الخلقي (Congenital Scoliosis)
ويظهر منذ الولادة نتيجة عدم اكتمال تكوّن فقرات معينة أثناء نمو الجنين داخل الرحم.
قد تكون بعض الفقرات ملتصقة أو ناقصة التكوين، مما يؤدي إلى ميلان العمود الفقري عند الطفل.
3. الاعوجاج العصبي العضلي (Neuromuscular Scoliosis)
ويحدث بسبب مشكلات في العضلات أو الأعصاب التي تدعم العمود الفقري.
يُلاحظ غالبًا عند الأطفال المصابين بحالات مثل الشلل الدماغي أو ضمور العضلات أو السنسنة المشقوقة.
4. الاعوجاج عند البالغين (Degenerative or Adult Scoliosis)
قد يُصاب به بعض الأشخاص في سن البلوغ أو بعده نتيجة تآكل الغضاريف أو هشاشة العظام أو إصابات العمود الفقري القديمة.
وفي بعض الحالات، يكون الشخص مصابًا باعوجاج بسيط منذ الصغر، لكنه لم يُكتشف إلا في الكبر عندما تبدأ الأعراض في الظهور.
ما مدى انتشار اعوجاج العمود الفقري؟
تشير الدراسات إلى أن حوالي 2% من سكان العالم يعانون من درجة معينة من اعوجاج العمود الفقري.
وفي الولايات المتحدة وحدها، يُقدَّر عدد المصابين بأكثر من 6 ملايين شخص.
أما في الدول العربية، فالنسبة قريبة من ذلك، وغالبًا ما يُلاحظ الاعوجاج أثناء الفحوص الدورية في المدارس أو خلال زيارات الأطفال للطبيب.
أسئلة شائعة من الأهالي حول اعوجاج العمود الفقري
هل يُعد اعوجاج الظهر طبيعيًا في بعض الحالات؟
🟢 نعم، الانحناءات البسيطة جدًا (أقل من 10 درجات) تُعتبر طبيعية ولا تحتاج إلى علاج.هل يمكن أن يختفي الاعوجاج من تلقاء نفسه؟
🔴 لا، الاعوجاج الحقيقي لا يختفي بدون متابعة أو علاج. بعض الحالات البسيطة قد تثبت ولا تتطور، لكن المراقبة ضرورية لتجنب زيادة الانحناء مع النمو.
ما هي أعراض اعوجاج العمود الفقري عند الأطفال والمراهقين؟
في معظم الحالات، لا يسبب اعوجاج العمود الفقري ألمًا في المراحل الأولى، لذلك قد لا تلاحظ الأم أو الأب وجود أي مشكلة في البداية.
لكن مع مرور الوقت ونمو الطفل، يبدأ الشكل الخارجي للجسم في التغيّر تدريجيًا.
وفيما يلي أهم العلامات التي يجب على الأهل الانتباه إليها:

العلامات الظاهرة على الجسم:
اختلاف في مستوى الكتفين: كتف أعلى من الآخر.
ميلان في الظهر أو الجذع عند الوقوف.
بروز أحد لوحي الكتف أكثر من الآخر.
عدم تساوي في مستوى الخصر أو الوركين.
ميل الرأس إلى أحد الجانبين بدلًا من أن تكون في المنتصف.
اختلاف في طول الساقين أو في شكل المشي أحيانًا.
وفي الحالات المتقدمة، قد يلاحظ الأهل انحناء واضح في الظهر أو بروز بسيط في القفص الصدري عند النظر من الجانب.
الأعراض التي قد يشعر بها الطفل أو المراهق:
ألم خفيف أو متكرر في الظهر، خصوصًا بعد الجلوس أو الوقوف لفترات طويلة.
تعب أو شد عضلي في جانب واحد من الجسم.
صعوبة في الجلوس بشكل مستقيم أو التوازن أثناء المشي.
في بعض الحالات النادرة: شعور بالوخز أو التنميل في الساقين.
إذا لاحظتِ علامات انحناء في ظهر طفلك، أو لاحظتِ عدم تماثل بين الجانبين، فلا تتردد الأن في استشارة مجانيه من طبيب متخصص.
ما هي أسباب اعوجاج العمود الفقري؟
الأسباب تختلف حسب نوع الاعوجاج، لكن يمكن تلخيصها في النقاط التالية:
1. اعوجاج مجهول السبب (الأكثر شيوعًا)
لا يُعرف له سبب محدد، لكنه غالبًا مرتبط بعوامل وراثية أو اختلاف في نمو الفقرات.
قد يظهر فجأة أثناء طفرة النمو في مرحلة المراهقة، وهي المرحلة الأكثر خطرًا لزيادة درجة الانحناء.
2. العوامل العصبية والعضلية
بعض الحالات تنتج عن ضعف العضلات أو الأعصاب التي تدعم العمود الفقري، مثل:
الشلل الدماغي.
ضمور العضلات.
إصابات الحبل الشوكي.
3. العوامل الخلقية
قد يولد الطفل بفقرة غير مكتملة النمو أو ملتصقة بفقرة أخرى، مما يسبب انحناء واضح في العمود الفقري منذ الصغر.
4. العوامل المكتسبة
في سن البلوغ أو الكبر، يمكن أن يظهر الاعوجاج بسبب:
ضعف الغضاريف أو تآكل المفاصل (خشونة العمود الفقري).
هشاشة العظام.
إصابات أو عمليات سابقة في الظهر.

هل اعوجاج العمود الفقري وراثي؟
نعم، العامل الوراثي يلعب دورًا مهمًا جدًا.
فإذا كان أحد الوالدين أو الأقارب يعاني من اعوجاج العمود الفقري، تزداد احتمالية إصابة الطفل به.
لكن هذا لا يعني بالضرورة أن الطفل سيُصاب به، بل فقط أن الاحتمال يكون أعلى، لذلك من الأفضل متابعة نمو العمود الفقري بشكل دوري عند الطبيب.
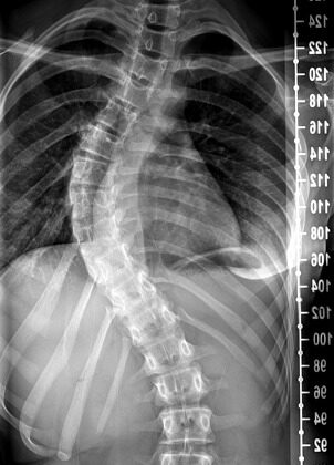
كيف يتم تشخيص اعوجاج العمود الفقري؟
يبدأ التشخيص عادة بفحص بسيط في العيادة، يقوم فيه الطبيب بطلب من الطفل أن ينحني للأمام، وهي طريقة تُعرف باسم اختبار الانحناء الأمامي (Adam’s test).
خلال هذا الاختبار، يمكن للطبيب أن يلاحظ أي انحناء غير طبيعي في الظهر أو عدم تساوي في الجانبين.

إذا لاحظ الطبيب علامات واضحة، يطلب أشعة سينية (X-ray) على العمود الفقري لتحديد:
درجة الانحناء (باستخدام زاوية كوب Cobb angle).
مكان الاعوجاج (في الظهر العلوي، أو السفلي، أو كليهما).
ما إذا كان في اتجاه اليمين أو اليسار.
في بعض الحالات الخاصة، يمكن أن يطلب الطبيب أشعة رنين مغناطيسي (MRI) للتأكد من سلامة الأعصاب أو استبعاد وجود أسباب أخرى.
إذا لاحظتِ علامات انحناء في ظهر طفلك، أو لاحظتِ عدم تماثل بين الجانبين، فلا تتردد الأن في استشارة مجانيه من طبيب متخصص.
كيف يُقاس اعوجاج العمود الفقري؟
يقوم الطبيب أو أخصائي العلاج الطبيعي بقياس درجة انحناء العمود الفقري بوحدة الدرجات. ويتم تحديد شدة الانحناء بناءً على درجة الانحناء كالآتي:
لا يوجد اعوجاج: أقل من 10 درجات.
اعوجاج بسيط: بين 10 و24 درجة.
اعوجاج متوسط: بين 25 و39 درجة.
اعوجاج شديد: أكثر من 40 درجة.
يمكن تشبيه هذا بقياس الزوايا في درس الهندسة باستخدام المنقلة. يستخدم الطبيب جهازًا يُسمّى سكوليميتر ليقيس الانحناء بوضعه على ظهر المريض. وفي بعض الحالات، قد يطلب الطبيب أشعة سينية للظهر لتحديد درجة الانحناء بدقة أكبر.
ماذا تتوقع إذا كنت تعاني من اعوجاج العمود الفقري؟
في كثير من الحالات، يكون اعوجاج العمود الفقري بدون أعراض واضحة. لكن مع تقدم العمر أو حدوث تآكل طبيعي للفقرات، قد تظهر بعض الأعراض. الطبيب يمكنه مساعدتك في التعامل مع هذه الأعراض إذا أصبحت مزعجة.
اعوجاج العمود الفقري قد يؤثر على شكل الجسم حسب درجة الانحناء، وهذا قد يسبب شعورًا بالقلق أو الانزعاج النفسي. في هذه الحالة، يمكن لمتخصص في الصحة النفسية أن يساعدك على التعامل مع شعورك بشكل أفضل.
ما هو المتوقع مع اعوجاج العمود الفقري على المدى الطويل؟
تختلف التوقعات حسب نوع الاعوجاج وشدته. معظم الأشخاص يستطيعون العيش بشكل طبيعي دون أي تغييرات في روتين حياتهم اليومي.
الوقاية من اعوجاج العمود الفقري
هل يمكن منع اعوجاج العمود الفقري؟
لا توجد طريقة مؤكدة لمنع الاعوجاج.
لكن إذا كان هناك اعوجاج بالفعل، يجب التدخل الطبي لمنع زيادة الانحناء مع الوقت.

إذا لاحظتِ علامات انحناء في ظهر طفلك، أو لاحظتِ عدم تماثل بين الجانبين، فلا تتردد الأن في استشارة مجانيه من طبيب متخصص.
الحياة مع اعوجاج العمود الفقري
ما الأنشطة البدنية الآمنة؟
تحدث مع طبيبك أو أخصائي العلاج الطبيعي لتعرف الأنشطة المناسبة. معظم الأشخاص المصابين بالاعوجاج يمكنهم ممارسة الرياضة والأنشطة البدنية العادية.
الحركة المنتظمة تساعد على تقليل الأعراض، لكن إذا سببت أي نشاط ألمًا، يجب التوقف فورًا.
طرق علاج اعوجاج العمود الفقري
يعتمد العلاج على عمر المريض ودرجة الاعوجاج وموقعه، وتشمل الخيارات ما يلي:
1. العلاج التحفظي (بدون جراحة):
المتابعة الدورية: فحص كل 6 أشهر لمراقبة تطور الانحناء.
العلاج الطبيعي: تمارين خاصة لتحسين وضعية الجسم وتقوية عضلات الظهر والبطن.
الأحزمة الطبية (حزام اعوجاج العمود الفقري): تُستخدم في المراهقين أثناء فترة النمو لتقليل الانحناء.

2. العلاج الجراحي:
يُفكَّر فيه فقط في الحالات الشديدة أو المتزايدة بسرعة، خصوصًا إذا كان الانحناء يؤثر على التنفس أو الأعصاب.
تشمل الجراحة تثبيت الفقرات المعدنية أو زرع قضبان قابلة للتمدد في الأطفال الذين لم يكتمل نموهم بعد.
إذا لاحظتِ علامات انحناء في ظهر طفلك، أو لاحظتِ عدم تماثل بين الجانبين، فلا تتردد الأن في استشارة مجانيه من طبيب متخصص.
ماذا بعد علاج اعوجاج العمود الفقري؟
معظم المرضى يعيشون حياة طبيعية تمامًا، خاصة إذا تم اكتشاف الحالة مبكرًا.
في بعض الحالات، قد يحتاج المريض إلى متابعة طويلة المدى للحفاظ على توازن العمود الفقري ومنع الألم المزمن.
هل يمكن الوقاية من اعوجاج العمود الفقري؟
لا توجد طريقة محددة للوقاية، لكن الكشف المبكر والمراقبة المنتظمة خلال فترة المراهقة يساعدان على تجنب تفاقم الحالة.
كما يُنصح بـ:
ممارسة الرياضة وتمارين التوازن بانتظام.
الحفاظ على وضعية جلوس ووقوف صحيحة.
الاهتمام بتغذية غنية بالكالسيوم وفيتامين D للحفاظ على صحة العظام.
هل يمكن ممارسة الرياضة مع اعوجاج العمود الفقري؟
نعم ✅
معظم الأطفال والمراهقين يمكنهم ممارسة الرياضة بشكل طبيعي، بل إن الأنشطة التي تقوّي العضلات وتزيد المرونة مثل السباحة والجمباز تعتبر مفيدة جدًا.
لكن في حالة الخضوع للجراحة أو وجود انحناء شديد، يجب استشارة الطبيب قبل ممارسة الرياضات العنيفة أو التي تتضمن احتكاكًا جسديًا مثل كرة القدم والمصارعة.
متى يجب زيارة الطبيب؟
يُنصح بمراجعة الطبيب المتخصص في الحالات التالية:

ملاحظة أي اختلاف في شكل الظهر أو الكتفين.
إذا كان الطفل يميل بجسمه إلى أحد الجانبين عند الوقوف.
إذا اشتكى الطفل من ألم متكرر أو تعب سريع في الظهر.
إذا كان هناك تاريخ عائلي للإصابة باعوجاج العمود الفقري.
التشخيص المبكر يُعدّ أهم خطوة، لأنه يزيد فرصة نجاح العلاج التحفظي (بدون جراحة) ويمنع تطور الحالة.
أسئلة هامة يمكنك طرحها على طبيبك
ما نوع اعوجاج العمود الفقري لديّ أو لدى طفلي؟
ما نوع العلاج الذي تنصح به؟
هل أحتاج/يحتاج طفلي إلى جراحة؟
هل هناك آثار جانبية للعلاج؟
هل يجب أن أراجع/يراجع طفلي أخصائي علاج طبيعي؟
ما الأنشطة البدنية الآمنة للممارسة؟
إذا لاحظتِ علامات انحناء في ظهر طفلك، أو لاحظتِ عدم تماثل بين الجانبين، فلا تتردد الأن في استشارة مجانيه من طبيب متخصص.
الاعوجاج حالة مستمرة ولهذا السب قد تحتاج تدخلًا في مراحل مختلفة من العمر. وبفضل وجود تقنيات التصنيف المعتمدة ، يمكن للأطباء تصميم خطة علاجية مخصصة تضمن تدخلاً جراحيًا عند الضرورة أو العلاج غير الجراحي قبل ذلك، لتفادي الاضطراب في الوظائف التنفسية أو أي أعراض متأخرة. فريقنا المحترف يضم نخبة من الأطباء والمتخصصين الذين يجمعون بين الخبرة والاحترافية لتقديم خطة علاجية غيرر جراحيه شاملة ومخصصة لحالتك، تضمن السيطرة على الانحناء ومنع زيادته.

لا تسمح لاعوجاج العمود الفقري بأن يؤثر على صحتك أو يسبب مضاعفات مستقبلية خطيرة،. مع مركز الرواد، أنت في أيدٍ أمينة، نعتمد على أحدث الأساليب العالمية لتصنيف الحالة ووضع خطة علاج دقيقة تناسب كل مرحلة عمرية.
لماذا يجب عليكم اختيار مركز الرواد لتأهيل وعلاج اعوجاج العمود الفقري؟
خبرة متميزة وفريق متخصص: يضم المركز نخبة من الأخصائيين ذوي الخبرة في علاج حالات اعوجاج العمود الفقري لدى الأطفال والمراهقين.
خطط علاجية مخصصة: نوفر برامج علاجية مصممة خصيصًا لكل حالة لضمان أفضل النتائج دون الحاجة للجراحة.
أحدث التقنيات العالمية: نعتمد على تقنيات حديثة مثل أجهزة التقييم الدقيقة وأحزمة التقويم المتقدمة مثل PioBrace.

رعاية شاملة ودعم أسري: نحرص على توفير بيئة علاجية آمنة، مع تقديم الإرشادات اللازمة للأهل لدعم رحلة الطفل العلاجية بكل ثقة واطمئنان.
إن تأخير العلاج قد يؤدي إلى مضاعفات كبيرة، لذا لا تتردد في اتخاذ القرار الصحيح الآن!

احجز استشارتك المجانيه الآن، ودعنا نساعدك لتحقيق أفضل نتيجة ممكنة، بأقل ألم وأعلى راحة
لا تدع الفرصة تفوتك للحصول على رعاية طبية متميزة، وابدأ الان رحلتك نحو التعافي الكامل مع مركز الرواد.

احجز تقييمك المجاني اليوم
اتصل بنا مباشرة على الرقم: 01044299365
أو احجز الان عبر موقعنا الإلكتروني
مواعيد مرنة – فريق طبي متخصص – استشارة مجانية تمامًا
قرارك اليوم… راحة وأمان غدًا
لا تترك الشكوك تؤخرك، اتخذ الخطوة الصحيحة الآن. ابدأ رحلة التعافي المبكر، وامنح فرصة للحياه بثقة .
تستحق الأفضل… فابدأ من اليوم!
احجز الآن ….




