أبريل 14, 2026

حقائق مهمة عن اعوجاج العمود الفقري هل يزداد؟ وهل يمكن علاجه بدون جراحة؟…

حقائق مهمة عن اعوجاج العمود الفقري هل يزداد؟ وهل يمكن علاجه بدون جراحة؟ عند تشخيص طفلك بـ اعوجاج العمود الفقري، من الطبيعي أن تشعر بالقلق والحيرة. يبدأ الأهل فورًا في البحث عن معلومات لفهم
أبريل 7, 2026

تشخيص اعوجاج العمود الفقري عند الأطفال في المنزل: طرق الفحص بسهولة…

تشخيص اعوجاج العمود الفقري عند الأطفال في المنزل: طرق الفحص بسهولة يعاني بعض الأطفال من اعوجاج العمود الفقري، وهو انحناء غير طبيعي للظهر قد يظهر في مرحلة الطفولة أو المراهقة. كثير من الأهل يتساءلون:
مارس 24, 2026

درجات الجنف بالصور للأطفال: شرح بسيط لكل درجة ومتى يحتاج طفلك علاج؟…

درجات الجنف بالصور: دليل شامل للأهل لفهم شدة اعوجاج العمود الفقري وخيارات العلاج يُعد فهم درجات اعوجاج العمود الفقري (الجنف) خطوة أساسية لكل أسرة لديها طفل مصاب بهذه الحالة. فعند سماع أرقام مثل 20
مارس 14, 2026

لماذا يتأخر اكتشاف اعوجاج العمود الفقري واستخدام الحزام؟ الفحص المبكر يحمي طفلك من ال…

لماذا يتأخر اكتشاف اعوجاج العمود الفقري واستخدام الحزام؟ الفحص المبكر يحمي طفلك من الجراحة يعد اعوجاج العمود الفقري عند المراهقين من الحالات التي قد تتطور تدريجيًا خلال فترة النمو. وفي كثير من الحالات يمكن
مارس 2, 2026

أخطر أنواع اعوجاج العمود الفقري عند الأطفال والمراهقين: كيف تعرفها وتحمي طفلك من المض…

أخطر أنواع اعوجاج العمود الفقري عند الأطفال والمراهقين: كيف تعرفها وتحمي طفلك من المضاعفات يعاني العديد من الأطفال والمراهقين من اعوجاج العمود الفقري، المعروف طبيًا بالجنف، وهو انحناء جانبي للعمود الفقري قد يصاحبه دوران
فبراير 17, 2026

الذكاء الاصطناعي واعوجاج العمود الفقري عند الأطفال: كيف غيّر طرق التشخيص والعلاج حول …

الذكاء الاصطناعي واعوجاج العمود الفقري عند الأطفال: كيف غيّر طرق التشخيص والعلاج حول العالم؟ يشهد العالم الطبي تطورًا سريعًا في استخدام الذكاء الاصطناعي، وأصبح هذا التطور يؤثر بشكل مباشر على طرق تشخيص الأمراض وعلاجها،
فبراير 16, 2026

أفضل وسائل التصوير الطبي لتشخيص اعوجاج العمود الفقري عند الأطفال…

أفضل وسائل التصوير الطبي لتشخيص اعوجاج العمود الفقري عند الأطفال يُعد تقييم تشوّهات العمود الفقري بالتصوير الطبي خطوة أساسية لفهم الحالة بدقة ووضع خطة علاج آمنة وفعّالة. كثير من الأهل والمرضى يتساءلون: ما أفضل
فبراير 10, 2026

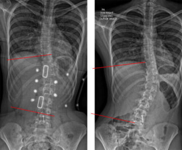
ما معنى ارتفاع زاوية كوب في اعوجاج العمود الفقري وكيف يؤثر على طفلك؟…

ما معنى ارتفاع زاوية كوب في اعوجاج العمود الفقري وكيف يؤثر على طفلك؟ يشير مصطلح زاوية كوب (Cobb Angle) إلى المقياس الطبي الأساسي المستخدم لتحديد شدة اعوجاج العمود الفقري (الجنف). وعندما تكون زاوية كوب
فبراير 8, 2026

ما هي زاوية كوب التي يُشخَّص عندها اعوجاج العمود الفقري؟…

ما هي زاوية كوب التي يُشخَّص عندها اعوجاج العمود الفقري؟ عند تشخيص اعوجاج العمود الفقري، غالبًا ما يسمع الأهل والمرضى مصطلحًا طبيًا يتكرر كثيرًا وهو زاوية كوب. في هذه المرحلة، يبدأ القلق وتكثر الأسئلة،
فبراير 8, 2026

اعوجاج العمود الفقري القطني عند الأطفال: متى يصبح خطيرًا وكيف تعالج طفلك؟…

اعوجاج العمود الفقري القطني عند الأطفال: متى يصبح خطيرًا وكيف تعالج طفلك؟ يُعد تشخيص اعوجاج العمود الفقري لدى الأطفال والمراهقين من أكثر الأمور التي تُثير قلق الأهل، ويزداد هذا القلق عندما يُقال إن الاعوجاج