مايو 11, 2026

هل يؤثر اعوجاج العمود الفقري على القلب؟ دراسة حديثة تكشف عوامل الخطر عند الأطفال والم…

هل يؤثر اعوجاج العمود الفقري على القلب؟ دراسة حديثة تكشف عوامل الخطر عند الأطفال والمراهقين يعتقد كثير من الأهالي أن اعوجاج العمود الفقري يقتصر فقط على انحناء الظهر أو تغيّر شكل الجسم، لكن الأبحاث
فبراير 17, 2026

كيف يرى مرضى اعوجاج العمود الفقري شكل أجسامهم؟ التأثير على المظهر والثقة بالنفس…

كيف يرى مرضى اعوجاج العمود الفقري شكل أجسامهم؟ التأثير على المظهر والثقة بالنفس يُعد اعوجاج العمود الفقري من أكثر تشوّهات العمود الفقري شيوعًا، لكنه لا يؤثر فقط على الوضعية الجسدية أو الشكل الخارجي، بل
فبراير 2, 2026

اعوجاج العمود الفقري الشديد عند الأطفال: مخاطر تركه دون علاج…

اعوجاج العمود الفقري الشديد عند الأطفال: مخاطر تركه دون علاج يعاني بعض الأطفال والمراهقين من اعوجاج العمود الفقري بدرجات مختلفة، لكن القلق الحقيقي يبدأ عندما يصبح الاعوجاج شديدًا ويُترك دون متابعة أو علاج مناسب.
يناير 26, 2026

8 طرق يؤثر بها اعوجاج العمود الفقري على جسم طفلك: اكتشف تأثيرها وكيف تحمي صحته…

8 طرق يؤثر بها اعوجاج العمود الفقري على جسم طفلك: اكتشف تأثيرها وكيف تحمي صحته يعرف معظم الأهل أن اعوجاج العمود الفقري يؤثر على شكل الظهر والكتفين، لكن القليل يدرك أن تأثيره قد يمتد
ديسمبر 21, 2025

كيف يشعر مريض اعوجاج العمود الفقري؟

كيف يشعر مريض اعوجاج العمود الفقري؟ يشعر كثير من المرضى والأهالي بالحيرة والقلق عند تشخيص اعوجاج العمود الفقري، ويتساءلون: كيف يكون الشعور مع اعوجاج العمود الفقري؟ هل سيؤثر على حياة الطفل اليومية؟ وهل هذا
نوفمبر 30, 2025

تشوهات الصدر عند مرضى اعوجاج العمود الفقري: الأسباب والعلاج…

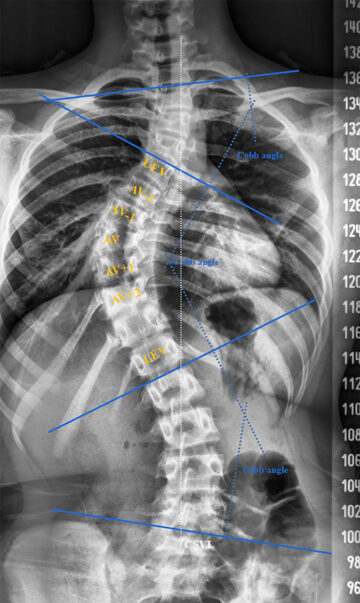
تشوهات الصدر عند مرضى اعوجاج العمود الفقري: الأسباب والعلاج يُعد اعوجاج العمود الفقري المراهقي مجهول السبب (Adolescent Idiopathic Scoliosis – AIS) من الحالات الشائعة التي تحتاج إلى تقييم دقيق للانحناء والالتواء، لذلك يُعتبر الالتواء
نوفمبر 10, 2025

تأثير اعوجاج العمود الفقري على اضطرابات الأكل عند الفتيات: فهم العلاقة وطرق الدعم الآ…

تأثير اعوجاج العمود الفقري على اضطرابات الأكل عند الفتيات: فهم العلاقة وطرق الدعم الآمن يعاني بعض المراهقين من اعوجاج العمود الفقري المراهقي مجهول السبب (Adolescent Idiopathic Scoliosis – AIS)، وهو أكثر التشوهات الشائعة للعمود
أكتوبر 26, 2025

هل يؤثر اعوجاج العمود الفقري على الطول والوزن عند البنات؟ | حقائق طبية مهمة للأهل…

هل يؤثر اعوجاج العمود الفقري على الطول والوزن عند البنات؟ | حقائق طبية مهمة للأهل يعاني بعض المراهقين، وخصوصًا البنات، من انحناء العمود الفقري المراهقي، المعروف طبيًا باسم جنف المراهق مجهول السبب. هذا الانحناء
سبتمبر 23, 2025

تأثير اعوجاج العمود الفقري على شكل الفقرات | علامات يجب أن تعرفها مبكرً…

تأثير اعوجاج العمود الفقري على شكل الفقرات | علامات يجب أن تعرفها مبكرً يعاني بعض المراهقين من اعوجاج العمود الفقري المعروف بالجنف، وهو انحناء غير طبيعي للظهر يمكن أن يغير شكل الجسم ويزداد مع
سبتمبر 14, 2025

كيف يؤثر اعوجاج العمود الفقري على القفص الصدري و الأضلاع عند المراهقين؟…

كيف يؤثر اعوجاج العمود الفقري على القفص الصدري و الأضلاع عند المراهقين؟ مقدمة اعوجاج العمود الفقري عند المراهقين، المعروف بالجنف، ليس مجرد انحناء جانبي للظهر، بل يترافق أحيانًا مع تغير في شكل القفص الصدري.