
الأشعة السينية لتشخيص اعوجاج العمود الفقري | كيفه تحديد درجة الأنحناء بدقه؟
الأشعة السينية لتشخيص اعوجاج العمود الفقري | كيفه تحديد درجة الأنحناء بدقه؟
اعوجاج العمود الفقري أو ما يُعرف بالجنف، من المشكلات الشائعة بين الأطفال والمراهقين، وأحيانًا لدى البالغين أيضًا. كثير من الأهل يتساءلون: كيف يشخص الطبيب الجنف بدقة؟ ولماذا يطلب دائمًا صور أشعة سينية؟ وهل هناك بدائل أكثر أمانًا؟
الحقيقة أن الأشعة السينية (X-rays) هي الأداة الأساسية التي يعتمد عليها الأطباء لتشخيص ومتابعة اعوجاج العمود الفقري. فهي تكشف بدقة درجة الانحناء، شكل العمود، ومدى تطور الحالة بمرور الوقت. في هذا المقال ستتعرف على كل ما يهمك حول دور الأشعة في تشخيص الجنف، من الأنواع المختلفة للفحوصات، إلى التقنيات الحديثة مثل جهاز EOS، وأهمية المتابعة الدورية.
ما هو اعوجاج العمود الفقري (الجنف)؟
الجنف هو انحناء جانبي غير طبيعي في العمود الفقري، بحيث يظهر العمود على شكل حرف S أو C بدلًا من أن يكون مستقيمًا.
في الوضع الطبيعي، يمتلك العمود الفقري تقوسات للأمام والخلف تساعد على امتصاص الصدمات وحفظ التوازن. لكن عند الإصابة بالجنف، يضاف انحناء جانبي يغيّر شكل الظهر ويؤثر على استقامة الجسم.
الأعراض المبكرة قد تشمل:
عدم تساوي الكتفين أو الحوض.
بروز أحد جانبي القفص الصدري عند الانحناء.
ميل واضح للجسم عند الوقوف.
لماذا الأشعة السينية مهمة في تشخيص اعوجاج العمود الفقري؟
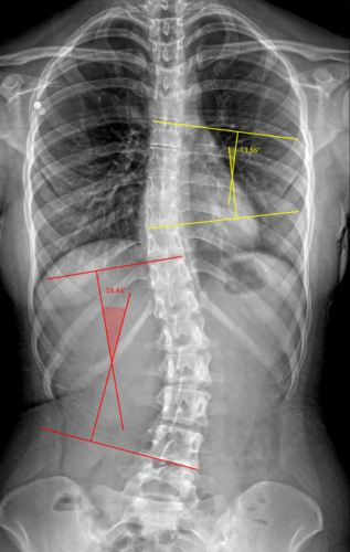
الأشعة السينية هي الوسيلة الأكثر دقة وبساطة لقياس زاوية كوب (Cobb angle)، وهي المقياس العالمي لتحديد شدة الانحناء.

إذا كانت الزاوية أقل من 20 درجة → غالبًا يُكتفى بالمتابعة والتمارين.
بين 20 و40 درجة → قد يحتاج المريض للحزام الطبي.
أكثر من 40 أو 50 درجة → قد يُناقش الطبيب خيار الجراحة.
من هنا يتضح أن صورة الأشعة ليست مجرد فحص روتيني، بل خطوة أساسية لتحديد خطة العلاج المناسبة.
أنواع الأشعة السينية لتشخيص اعوجاج العمود الفقري
1. الصورة الأمامية الخلفية لتشخيص اعوجاج العمود الفقري
تُلتقط من الخلف إلى الأمام.
تُقلل من تعرض الأعضاء الداخلية للإشعاع.
تُظهر شكل الانحناء الجانبي بوضوح.
2. الصورة الجانبية لتشخيص اعوجاج العمود الفقري
تكشف انحناءات العمود للأمام والخلف (مثل الحداب أو فرط تقوس الظهر).
تُستخدم مع الصورة الأمامية لإعطاء رؤية شاملة.

إذا لاحظتِ علامات انحناء في ظهر طفلك، أو لاحظتِ عدم تماثل بين الجانبين، فلا تترددي في استشارة مجانيه من طبيب متخصص.
3. صور الانحناء الجانبي أثناء الحركة لتشخيص اعوجاج العمود الفقري
يطلبها الطبيب لمعرفة مرونة العمود الفقري.
مفيدة جدًا قبل الجراحة لتحديد ما إذا كان الانحناء ثابتًا أو قابلًا للتصحيح.
4. جهاز EOS للتصوير ثلاثي الأبعاد
أحدث تقنية متوفرة في بعض المراكز المتقدمة.

هل يحتاج مريض اعوجاج العمود الفقري للرنين المغناطيسي (MRI)؟
الأشعة السينية تكفي في معظم الحالات. لكن هناك مواقف يطلب فيها الطبيب الرنين المغناطيسي، مثل:
ظهور أعراض عصبية (تنميل، ضعف، صعوبة في الحركة).
وجود شك بوجود جنف خلقي ناتج عن تشوه في الفقرات.
الرغبة في تقييم النخاع الشوكي والأعصاب بدقة.
إذن، الأشعة السينية تشخّص الانحناء، أما الرنين المغناطيسي فيُستخدم للتأكد من سلامة الجهاز العصبي.
أهمية المتابعة الدورية بالأشعة لمرضى اعوجاج العمود الفقري
اعوجاج العمود الفقري قد يتطور بمرور الوقت، خاصة عند الأطفال والمراهقين في فترة النمو. لذلك ينصح الأطباء بعمل صور أشعة دورية كل 6 أشهر أو سنة حسب درجة الانحناء.
المتابعة تساعد على:
مراقبة تطور زاوية كوب.
تعديل الخطة العلاجية إذا لزم الأمر (إضافة حزام، تكثيف التمارين، أو التفكير في الجراحة).
منع تفاقم الانحناء والوصول إلى مراحل متقدمة.

إذا لاحظتِ علامات انحناء في ظهر طفلك، أو لاحظتِ عدم تماثل بين الجانبين، فلا تترددي في استشارة مجانيه من طبيب متخصص.
أسئلة شائعة حول الأشعة السينية لأعوجاج العمود الفقري
هل الأشعة السينية آمنة للأطفال؟
نعم، فهي تُستخدم بجرعات محسوبة وآمنة، خاصة عند التصوير بوضعية PA التي تقلل التعرض للأعضاء الداخلية.
هل الأشعة تكفي لتحديد العلاج؟
في معظم الحالات نعم، لأنها توضح زاوية كوب، لكن الطبيب قد يطلب فحوصات إضافية عند الحاجة.
هل هناك بدائل للأشعة؟
جهاز EOS يُعتبر البديل الأكثر أمانًا لأنه يُقلل الإشعاع بدرجة كبيرة، لكن تواجده محدود في بعض الدول.
هل يجب القلق من تكرار الأشعة؟
لا داعي للقلق إذا تم التصوير تحت إشراف طبي مختص، خاصة أن الجرعات منخفضة وموزونة حسب عمر المريض.

إذا لاحظتِ علامات انحناء في ظهر طفلك، أو لاحظتِ عدم تماثل بين الجانبين، فلا تترددي في استشارة مجانيه من طبيب متخصص.
الخلاصة للأشعه السينيه واعوجاج العمود الفقري
الأشعة السينية هي الخطوة الأولى والأهم لتشخيص ومتابعة اعوجاج العمود الفقري. فهي تساعد الطبيب على تحديد درجة الانحناء بدقة، ومراقبة التغيرات بمرور الوقت، واختيار العلاج الأنسب لكل حالة.
الاعوجاج حالة مستمرة ولهذا السب قد تحتاج تدخلًا في مراحل مختلفة من العمر. وبفضل وجود تقنيات التصنيف المعتمدة ، يمكن للأطباء تصميم خطة علاجية مخصصة تضمن تدخلاً جراحيًا عند الضرورة أو العلاج غير الجراحي قبل ذلك، لتفادي الاضطراب في الوظائف التنفسية أو أي أعراض متأخرة. فريقنا المحترف يضم نخبة من الأطباء والمتخصصين الذين يجمعون بين الخبرة والاحترافية لتقديم خطة علاجية شاملة ومخصصة لحالتك، تضمن السيطرة على الانحناء ومنع زيادته.

لا تسمح لاعوجاج العمود الفقري بأن يؤثر على صحتك أو يسبب مضاعفات مستقبلية خطيرة،. مع مركز الرواد، أنت في أيدٍ أمينة، نعتمد على أحدث الأساليب العالمية لتصنيف الحالة ووضع خطة علاج دقيقة تناسب كل مرحلة عمرية.
لماذا يجب عليكم اختيار مركز الرواد لتأهيل وعلاج اعوجاج العمود الفقري؟
خبرة متميزة وفريق متخصص: يضم المركز نخبة من الأخصائيين ذوي الخبرة في علاج حالات اعوجاج العمود الفقري لدى الأطفال والمراهقين.
خطط علاجية مخصصة: نوفر برامج علاجية مصممة خصيصًا لكل حالة لضمان أفضل النتائج دون الحاجة للجراحة.
أحدث التقنيات العالمية: نعتمد على تقنيات حديثة مثل أجهزة التقييم الدقيقة وأحزمة التقويم المتقدمة مثل PioBrace.

رعاية شاملة ودعم أسري: نحرص على توفير بيئة علاجية آمنة، مع تقديم الإرشادات اللازمة للأهل لدعم رحلة الطفل العلاجية بكل ثقة واطمئنان.
إن تأخير العلاج قد يؤدي إلى مضاعفات كبيرة، لذا لا تتردد في اتخاذ القرار الصحيح الآن!

احجز استشارتك الآن، ودعنا نساعدك لتحقيق أفضل نتيجة ممكنة، بأقل ألم وأعلى راحة
لا تدع الفرصة تفوتك للحصول على رعاية طبية متميزة، وابدأ رحلتك نحو التعافي الكامل مع مركز الرواد.

احجز تقييمك المجاني اليوم
اتصل بنا مباشرة على الرقم: 01044299365
أو احجز عبر موقعنا الإلكتروني
مواعيد مرنة – فريق طبي متخصص – استشارة مجانية تمامًا
قرارك اليوم… راحة وأمان غدًا
لا تترك الشكوك تؤخرك، اتخذ الخطوة الصحيحة الآن. ابدأ رحلة التعافي المبكر، وامنح فرصة للحياه بثقة .
تستحق الأفضل… فابدأ من اليوم!
احجز الآن ….




