
تأثير اعوجاج العمود الفقري عند المراهقين على الغضاريف بين الفقرات: دليل شامل للأهل
تأثير اعوجاج العمود الفقري عند المراهقين على الغضاريف بين الفقرات: دليل شامل للأهل
يعُد اعوجاج العمود الفقري عند المراهقين من المشكلات الشائعة التي قد تؤثر على صحة الظهر وجودة حياة المراهق إذا لم يتم اكتشافها ومعالجتها مبكرًا. العمود الفقري ليس مجرد مجموعة فقرات متراصة، بل هو هيكل معقد يضم فقرات وغضاريف بين الفقرات (الأقراص الفقرية) تعمل كوسادة ماصة للصدمات وتمكّن الجسم من الحركة والانحناء بشكل طبيعي. أي تغير في شكل هذه الغضاريف أو حجمها يمكن أن يزيد من شدة الانحناء ويؤثر على تطور الحالة.
في هذا المقال، سنشرح للأهل بشكل مبسط كيف يؤثر اعوجاج العمود الفقري على الغضاريف بين الفقرات، ونتائج الدراسات الحديثة، وأفضل طرق الوقاية والمتابعة للحفاظ على صحة العمود الفقري عند المراهقين.
ما هو اعوجاج العمود الفقري عند المراهقين؟
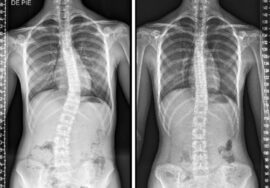
اعوجاج العمود الفقري المراهقي (Adolescent Idiopathic Scoliosis – AIS) هو انحناء جانبي للعمود الفقري غالبًا مع دوران الفقرات. كلمة “مجهول السبب” تعني أن السبب الدقيق غير معروف، ولكن العوامل الوراثية، الهرمونية، والميكانيكية قد تلعب دورًا في حدوث الانحناء.
يمكن أن يكون الاعوجاج بسيطًا ولا يسبب مشاكل كبيرة، أو متوسطًا إلى شديدًا يحتاج إلى متابعة دقيقة وعلاج متخصص لمنع تطوره وزيادة شدة الانحناء مع مرور الوقت.
كيف يؤثر اعوجاج العمود الفقري عند المراهقين على الغضاريف بين الفقرات؟
الأقراص الفقرية بين الفقرات تتكون من:

الغضاريف بين الفقرات (Annulus Fibrosus): تعمل كوسادة ماصة للصدمات وتمنع احتكاك الفقرات ببعضها.
النواة اللبية (Nucleus Pulposus): الجزء المركزي من القرص الفقري الذي يمنح القرص مرونته وقدرته على امتصاص الضغط.
دراسة حديثة استخدمت الرنين المغناطيسي (MRI) لتقييم شكل وحجم الغضاريف بين الفقرات لدى فتيات مصابات بانحناء صدري أيمن، مقارنة بفتيات أصحاء. النتائج أبرزت عدة نقاط مهمة:
تغير شكل الغضاريف والفقرات
في الفتيات المصابات بانحناءات شديدة، لوحظ اختلاف في زاوية الغضروف وارتفاعه مقارنة بالفتيات الأصحاء، مما يشير إلى تأثير ميكانيكي مباشر للانحناء على شكل الأقراص.تحرك النواة اللبية باتجاه الجهة المحدبة
في الحالات الشديدة، تميل النواة اللبية إلى الانتقال باتجاه الجهة المحدبة للانحناء، ما يزيد الضغط على الأقراص ويعزز تفاقم الانحناء.انخفاض حجم الغضروف والنواة اللبية
كلما زادت شدة الانحناء، لوحظ انخفاض في حجم الأقراص والفقرات المركزية، ما قد يزيد من خطر تآكل الأقراص أو الانزلاق الغضروفي مستقبلًا.ارتباط مباشر بشدة الانحناء
زاوية كوب (Cobb Angle) كانت مرتبطة بشكل مباشر بتغيرات الغضروف والنواة اللبية، مما يؤكد أن الضغط الميكانيكي الناتج عن الانحناء يساهم في تطور الحالة.

لماذا يعتبر تأثير اعوجاج العمود الفقري على الغضاريف بين الفقرات مهم؟
الكشف المبكر: التغيرات في الغضاريف قد تحدث قبل ظهور أعراض واضحة، لذا الملاحظة الدورية لوضعية الطفل مهمة جدًا.
التدخل المبكر: الفحص المبكر باستخدام الرنين المغناطيسي أو تقييم الطبيب يمكن أن يساعد على التدخل قبل تفاقم الانحناء.
الوقاية من المضاعفات: الضغط المستمر على الأقراص في الحالات الشديدة قد يؤدي إلى تآكل الغضاريف أو الانزلاق الغضروفي، والتدخل المبكر يقلل من هذه المخاطر.
علامات اعوجاج العمود الفقري التي يجب مراقبتها عند المراهقين
يمكن للأهل الانتباه إلى هذه العلامات لاكتشاف الانحناءات مبكرًا:
اختلاف مستوى الكتفين أو الوركين عند الوقوف.
بروز أحد جانبي الظهر عند الانحناء للأمام.
ميل الرأس أو الرقبة للأمام أو الجانب.
آلام متكررة في الظهر أو تعب سريع عند المشي أو الوقوف لفترات طويلة.
صعوبة في الحفاظ على وضعية مستقيمة عند الجلوس أو الوقوف.

ملاحظة أي من هذه العلامات تتطلب مراجعة الطبيب لتقييم الحالة ووضع خطة متابعة.
إذا لاحظتِ علامات انحناء في ظهر طفلك، أو لاحظتِ عدم تماثل بين الجانبين، فلا تتردد الأن في استشارة مجانيه من طبيب متخصص.
نصائح عملية للوقاية من اعوجاج العمود الفقري
زيارة طبيب مختص عند ملاحظة أي انحناء في الظهر.
متابعة الانحناءات البسيطة بانتظام لمنع زيادة الشدة.
العلاج المبكر
تمارين علاجية مخصصة لتقوية عضلات الظهر والبطن.
استخدام حزام اعوجاج العمود الفقري لتقليل تطور الانحناء.
التدخل الجراحي في الحالات الشديدة فقط وبإشراف طبي متخصص.
التوعية بأهمية الوضعية الصحيحة
تعليم المراهق الجلوس والوقوف بشكل صحيح.
تجنب حمل أوزان ثقيلة على كتف واحد لفترات طويلة.
النشاط البدني المنتظم
ممارسة الرياضة اليومية لمدة 30–60 دقيقة، مثل السباحة، المشي، تمارين التمدد، لدعم العضلات وتحسين مرونة الأقراص الفقرية.
التغذية السليمة
تناول أطعمة غنية بالكالسيوم، البروتين، وفيتامين د لدعم صحة العظام والغضاريف.
التعرض لأشعة الشمس بانتظام لتعزيز إنتاج فيتامين د الطبيعي في الجسم.
إذا لاحظتِ علامات انحناء في ظهر طفلك، أو لاحظتِ عدم تماثل بين الجانبين، فلا تتردد الأن في استشارة مجانيه من طبيب متخصص.
أسئلة شائعة من الأهل حول تأثير اعوجاج العمود الفقري عند المراهقين على الغضاريف بين الفقرات
هل يمكن أن يتحسن اعوجاج العمود الفقري مع النمو؟
في الحالات البسيطة، يمكن أن تتحسن أو تستقر الحالة مع التمارين والعلاج الطبيعي. الحالات المتوسطة والشديدة قد تحتاج إلى حزام اعوجاج العمود الفقري أو تدخل علاجي متخصص.هل نقص فيتامين د سبب مباشر للاعوجاج؟
ليس سببًا مباشرًا، لكنه قد يضعف العظام ويزيد من تأثير العوامل الأخرى على العمود الفقري.هل التمارين وحدها كافية لعلاج اعوجاج العمود الفقري؟
التمارين مهمة لتقوية العضلات وتحسين الوضعية، لكنها قد تحتاج إلى استخدام حزام اعوجاج العمود الفقري لتحقيق أفضل النتائج في الحالات المتوسطة أو الشديدة.

الخلاصة
اعوجاج العمود الفقري عند المراهقين يمكن أن يؤثر بشكل كبير على الغضاريف بين الفقرات والنواة اللبية، خاصة في الانحناءات الشديدة. التدخل المبكر، الفحص الدوري، ممارسة التمارين العلاجية، والتعليم على الوضعية الصحيحة، كلها خطوات أساسية للحفاظ على صحة العمود الفقري وتقليل المضاعفات المستقبلية.
إذا لاحظتِ علامات انحناء في ظهر طفلك، أو لاحظتِ عدم تماثل بين الجانبين، فلا تتردد الأن في استشارة مجانيه من طبيب متخصص.
الوعي المبكر ومتابعة علامات الانحناء الصغيرة يمكن أن يضمن نموًا صحيًا للعمود الفقري، ويمنح المراهق القدرة على الحركة بحرية والاستمتاع بحياة نشطة وطبيعية.
الاعوجاج حالة مستمرة ولهذا السب قد تحتاج تدخلًا في مراحل مختلفة من العمر. وبفضل وجود تقنيات التصنيف المعتمدة ، يمكن للأطباء تصميم خطة علاجية مخصصة تضمن تدخلاً جراحيًا عند الضرورة أو العلاج غير الجراحي قبل ذلك، لتفادي الاضطراب في الوظائف التنفسية أو أي أعراض متأخرة. فريقنا المحترف يضم نخبة من الأطباء والمتخصصين الذين يجمعون بين الخبرة والاحترافية لتقديم خطة علاجية غيرر جراحيه شاملة ومخصصة لحالتك، تضمن السيطرة على الانحناء ومنع زيادته.

لا تسمح لاعوجاج العمود الفقري بأن يؤثر على صحتك أو يسبب مضاعفات مستقبلية خطيرة،. مع مركز الرواد، أنت في أيدٍ أمينة، نعتمد على أحدث الأساليب العالمية لتصنيف الحالة ووضع خطة علاج دقيقة تناسب كل مرحلة عمرية.
لماذا يجب عليكم اختيار مركز الرواد لتأهيل وعلاج اعوجاج العمود الفقري؟
خبرة متميزة وفريق متخصص: يضم المركز نخبة من الأخصائيين ذوي الخبرة في علاج حالات اعوجاج العمود الفقري لدى الأطفال والمراهقين.
خطط علاجية مخصصة: نوفر برامج علاجية مصممة خصيصًا لكل حالة لضمان أفضل النتائج دون الحاجة للجراحة.
أحدث التقنيات العالمية: نعتمد على تقنيات حديثة مثل أجهزة التقييم الدقيقة وأحزمة التقويم المتقدمة مثل PioBrace.

رعاية شاملة ودعم أسري: نحرص على توفير بيئة علاجية آمنة، مع تقديم الإرشادات اللازمة للأهل لدعم رحلة الطفل العلاجية بكل ثقة واطمئنان.
إن تأخير العلاج قد يؤدي إلى مضاعفات كبيرة، لذا لا تتردد في اتخاذ القرار الصحيح الآن!

احجز استشارتك المجانيه الآن، ودعنا نساعدك لتحقيق أفضل نتيجة ممكنة، بأقل ألم وأعلى راحة
لا تدع الفرصة تفوتك للحصول على رعاية طبية متميزة، وابدأ الان رحلتك نحو التعافي الكامل مع مركز الرواد.

احجز تقييمك المجاني اليوم
اتصل بنا مباشرة على الرقم: 01044299365
أو احجز الان عبر موقعنا الإلكتروني
مواعيد مرنة – فريق طبي متخصص – استشارة مجانية تمامًا
قرارك اليوم… راحة وأمان غدًا
لا تترك الشكوك تؤخرك، اتخذ الخطوة الصحيحة الآن. ابدأ رحلة التعافي المبكر، وامنح فرصة للحياه بثقة .
تستحق الأفضل… فابدأ من اليوم!
احجز الآن ….




