
هل ينتقل اعوجاج العمود الفقري وراثيًا؟ دراسة تكشف دور الأب والأم في إصابة الأبناء
هل ينتقل اعوجاج العمود الفقري وراثيًا؟ دراسة تكشف دور الأب والأم في إصابة الأبناء
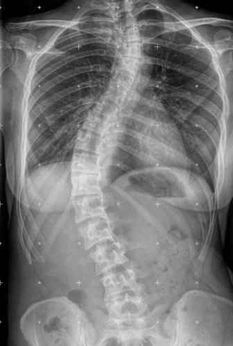
يُعتبر اعوجاج العمود الفقري مجهول السبب عند المراهقين (Adolescent Idiopathic Scoliosis – AIS) من أكثر المشكلات شيوعًا في مرحلة المراهقة، وتلعب الوراثة والعوامل العائلية دورًا مهمًا في ظهوره وتطوره. أظهرت الأبحاث أن ليس فقط شكل العمود الفقري الجانبي (الانحناء) هو المهم، بل أيضًا شكل العمود الفقري من الجانب وتوازن الحوض والعمود الفقري قد يكون لهما دور في انتقال المرض داخل العائلة.
في هذه المقالة سنبسط نتائج دراسة علمية أجريت على آباء وأمهات أطفال مصابين بالاعوجاج، وسنجيب عن الأسئلة التي قد تخطر في بال الأهل حول علاقة شكل العمود الفقري السهمي عند الوالدين بظهور المرض عند الأبناء.
ما علاقة الوراثة باعوجاج العمود الفقري؟
من المعروف أن اعوجاج العمود الفقري مجهول السبب له مكوّن وراثي قوي، لكن كيف ينتقل؟
تشير الدراسات إلى أن بعض الأشخاص يولدون ب(انحناء أمامي وخلفي) يجعل العمود الفقري أقل مقاومة للالتواء والدوران، وهذا قد يسهل ظهور الاعوجاج عند المراهقين.

ما الهدف من الدراسة لأكتشاف العلاقه بين اعوجاج العمود الفقري و الوراثه؟
أراد الباحثون معرفة ما إذا كان شكل العمود الفقري السهمي عند الأهل يختلف بين:
آباء وأمهات أطفال لديهم اعوجاج متقدم (أكثر من 30 درجة).
آباء وأمهات أطفال طبيعيين بدون اعوجاج.
تمت مقارنة أكثر من 200 والد ووالدة، مع استبعاد أي شخص لديه تشوهات واضحة في العمود الفقري.
كيف تمت الفحوصات؟
خضع الأهل إلى:
أشعة جانبية (Lateral radiographs) لقياس انحناءات العمود الفقري.
تقييم لزوايا الحداب الصدري و القطني (Lumbar lordosis).
قياس توازن العمود الفقري بالنسبة للحوض (مثل الميل الحوضي وزاوية العجز).
تحليل ميل كل فقرة بشكل منفصل.

إذا لاحظتِ علامات انحناء في ظهر طفلك، أو لاحظتِ عدم تماثل بين الجانبين، فلا تترددي مجانا في استشارة طبيب متخصص.
ما النتائج التي وُجدت عند الآباء لزياده اصابه اعوجاج العمود الفقري عند الأبناء؟
تبين أن آباء الأطفال المصابين بالاعوجاج لديهم عمود فقري أكثر استقامة (Flatter spine) مقارنة بآباء الأطفال الأصحاء.
كانت زوايا الانحناء القطني أقل، أي أن التقوس القطني لديهم كان أضعف.
بعض الفقرات، خاصة من T11 إلى L2، كانت أقل ميلاً للخلف.
هذا النمط يشير إلى أن العمود الفقري عندهم أقل قدرة على مقاومة الدوران، مما قد يفسر انتقال الميل للاعوجاج عند الأبناء.

العلاقه بين اعوجاج العمود الفقري عند الأمهات و الأبناء؟
المفاجأة أن الدراسة لم تجد فروقًا كبيرة بين أمهات الأطفال المصابين وأمهات الأطفال الأصحاء من حيث:
شكل العمود الفقري السهمي.
توازن العمود الفقري والحوض.
زاوية الانحناءات الطبيعية.
وهذا يوضح أن دور الآباء قد يكون أهم في هذه الجزئية، رغم أن وجود الأم مصابة بالاعوجاج يزيد احتمالية إصابة الأبناء.
هل اعوجاج العمود الفقري ينتقل من الأب للأبناء؟
ليس فقط الأم، بل أيضًا الأب قد ينقل عوامل الخطورة من خلال شكل العمود الفقري.
شكل العمود الفقري الجانبي المسطح قد يكون عامل وراثي خفي يسهل ظهور الاعوجاج عند الأبناء.
متابعة الأطفال الذين لديهم أب أو أم مصابين بالاعوجاج أو لديهم عمود فقري غير طبيعي أمر في غاية الأهمية للكشف المبكر.

إذا لاحظتِ علامات انحناء في ظهر طفلك، أو لاحظتِ عدم تماثل بين الجانبين، فلا تترددي مجانا في استشارة طبيب متخصص.
كيف يساعد التشخيص المبكر على الوقايه من اعوجاج العمود الفقري؟
إذا كان أحد الوالدين لديه اعوجاج ينصح بـ:
إجراء فحص دوري للأطفال خلال سن النمو (10–16 سنة).
عمل أشعة عند الحاجة للتأكد من عدم بدء الاعوجاج.
التدخل المبكر بالعلاج الطبيعي أو الحزام الطبي إذا لزم الأمر.

هل يمكن الوقاية من اعوجاج العمود الفقري؟
لا يمكن منع العامل الوراثي، لكن يمكن تقليل سرعة تطور الاعوجاج عبر:
التشخيص المبكر.
الحزام الطبي للحالات التي تتطور بسرعة.
الجراحة في الحالات الشديدة.

الخلاصة
أظهرت الدراسة أن آباء الأطفال المصابين بالاعوجاج لديهم عمود فقري أكثر استقامة وأقل تقوسًا مقارنة بالآباء الآخرين، مما قد يفسر دورهم في انتقال المرض وراثيًا. بينما لم يظهر فرق واضح عند الأمهات من ناحية شكل العمود الفقري السهمي.
هذا يعني أن العامل الوراثي ليس محصورًا بالأم فقط، بل للأب دور مهم أيضًا. لذا، يجب على الأهل الانتباه لأي علامات مبكرة عند أبنائهم، فالاكتشاف المبكر والتدخل العلاجي يقللان من الألم والتشوه ويحافظان على جودة حياة الطفل.

إذا لاحظتِ علامات انحناء في ظهر طفلك، أو لاحظتِ عدم تماثل بين الجانبين، فلا تترددي مجانا في استشارة طبيب متخصص.
الاعوجاج حالة مستمرة ولهذا السب قد تحتاج تدخلًا في مراحل مختلفة من العمر. وبفضل وجود تقنيات التصنيف المعتمدة ، يمكن للأطباء تصميم خطة علاجية مخصصة تضمن تدخلاً جراحيًا عند الضرورة أو العلاج غير الجراحي قبل ذلك، لتفادي الاضطراب في الوظائف التنفسية أو أي أعراض متأخرة. فريقنا المحترف يضم نخبة من الأطباء والمتخصصين الذين يجمعون بين الخبرة والاحترافية لتقديم خطة علاجية شاملة ومخصصة لحالتك، تضمن السيطرة على الانحناء ومنع زيادته.

لا تسمح لاعوجاج العمود الفقري بأن يؤثر على صحتك أو يسبب مضاعفات مستقبلية خطيرة،. مع مركز الرواد، أنت في أيدٍ أمينة، نعتمد على أحدث الأساليب العالمية لتصنيف الحالة ووضع خطة علاج دقيقة تناسب كل مرحلة عمرية.
لماذا يجب عليكم اختيار مركز الرواد لتأهيل وعلاج اعوجاج العمود الفقري؟
خبرة متميزة وفريق متخصص: يضم المركز نخبة من الأخصائيين ذوي الخبرة في علاج حالات اعوجاج العمود الفقري لدى الأطفال والمراهقين.
خطط علاجية مخصصة: نوفر برامج علاجية مصممة خصيصًا لكل حالة لضمان أفضل النتائج دون الحاجة للجراحة.
أحدث التقنيات العالمية: نعتمد على تقنيات حديثة مثل أجهزة التقييم الدقيقة وأحزمة التقويم المتقدمة مثل PioBrace.

رعاية شاملة ودعم أسري: نحرص على توفير بيئة علاجية آمنة، مع تقديم الإرشادات اللازمة للأهل لدعم رحلة الطفل العلاجية بكل ثقة واطمئنان.
إن تأخير العلاج قد يؤدي إلى مضاعفات كبيرة، لذا لا تتردد في اتخاذ القرار الصحيح الآن!

احجز استشارتك الآن، ودعنا نساعدك لتحقيق أفضل نتيجة ممكنة، بأقل ألم وأعلى راحة
لا تدع الفرصة تفوتك للحصول على رعاية طبية متميزة، وابدأ رحلتك نحو التعافي الكامل مع مركز الرواد.

احجز تقييمك المجاني اليوم
اتصل بنا مباشرة على الرقم: 01044299365
أو احجز عبر موقعنا الإلكتروني
مواعيد مرنة – فريق طبي متخصص – استشارة مجانية تمامًا
قرارك اليوم… راحة وأمان غدًا
لا تترك الشكوك تؤخرك، اتخذ الخطوة الصحيحة الآن. ابدأ رحلة التعافي المبكر، وامنح فرصة للحياه بثقة .
تستحق الأفضل… فابدأ من اليوم!
احجز الآن ….




