
هل يؤثر تقوس الظهر من الجانب على ظهور اعوجاج العمود الفقري عند الأطفال؟
هل يؤثر تقوس الظهر من الجانب على ظهور اعوجاج العمود الفقري عند الأطفال؟
يُعد اعوجاج العمود الفقري لدى الأطفال والمراهقين، أو ما يعرف بـ اعوجاج العمود الفقري المراهقي مجهول السبب (AIS)، من أكثر اضطرابات النمو شيوعًا. ورغم التقدم الطبي، ما يزال السبب الحقيقي لظهور هذا الاعوجاج غير واضح بشكل تام. ولكن الدراسات الحديثة بدأت تكشف عن عامل مهم للغاية كان يتم تجاهله لفترة طويلة، وهو:
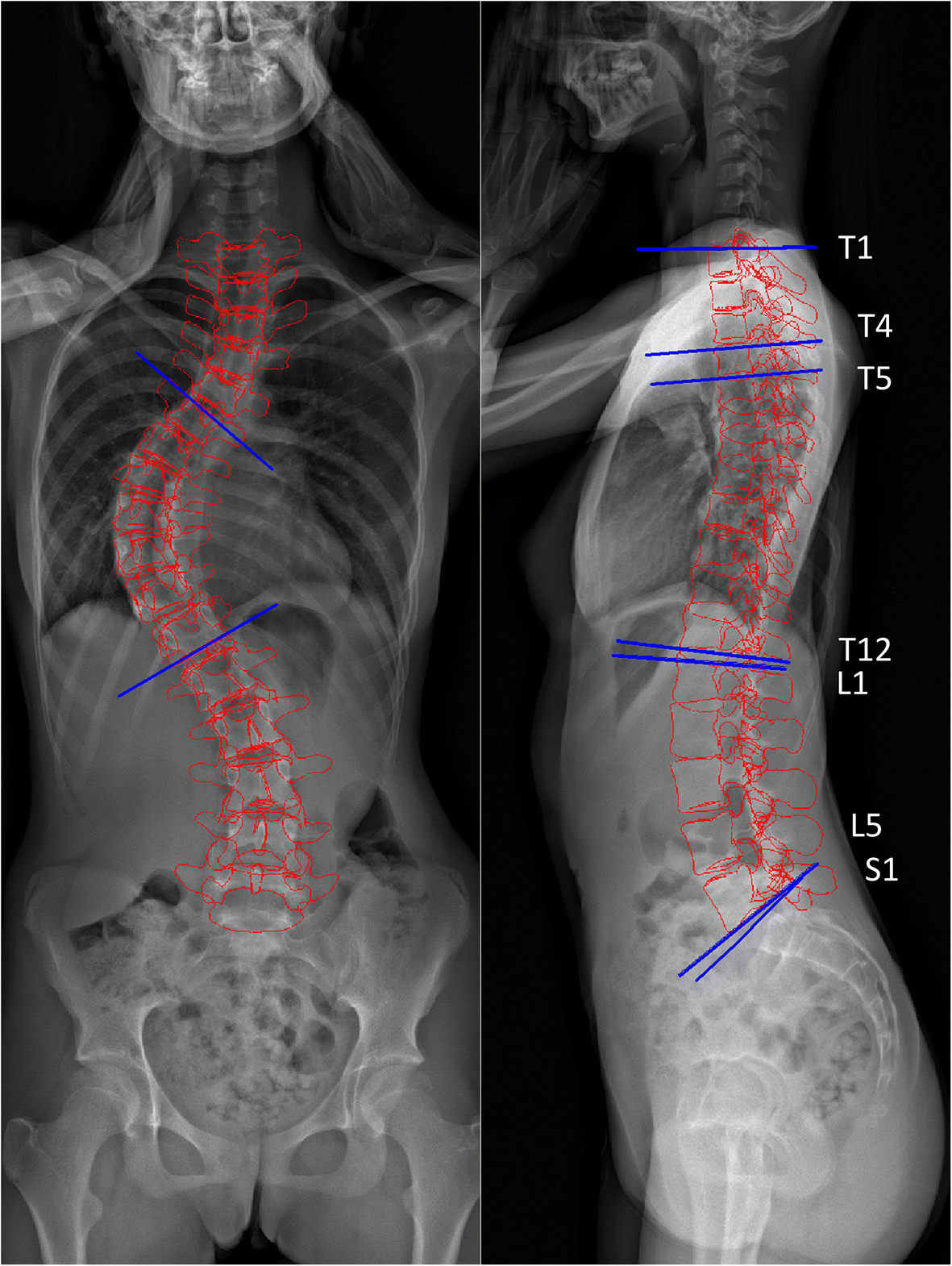
شكل العمود الفقري من الجانب (المنحنى السهمي – Sagittal Curvature).
تشير أبحاث جديدة إلى أن اختلاف شكل العمود الفقري من الجانب قد يكون أحد أهم الأسباب التي تهيّئ الطفل لتطور اعوجاج العمود الفقري مع مرور الوقت. وهذا الاكتشاف يغيّر طريقة فهمنا للمرض ويؤثر على طرق التشخيص والعلاج المبكر.
ما هو تقوس العمود الفقري من الجانب؟ ولماذا هو مهم؟
عندما ننظر إلى العمود الفقري من الجانب، نلاحظ أنه ليس مستقيمًا تمامًا بل يحتوي على ثلاث منحنيات طبيعية:
تقوس الرقبة: منحنى بسيط للداخل.
التقوس الصدري: منحنى للخارج.
التقوس القطني: منحنى للداخل مرة أخرى.
هذه المنحنيات مهمة لأنها:
تساعد على امتصاص الصدمات أثناء المشي والركض.
تحافظ على استقامة الجسم وتوازنه.
تمنع الضغط الزائد على الفقرات والأقراص والغضاريف.

لكن عندما يزداد هذا التقوس أو يقل عن الطبيعي—سواء في المنطقة الصدرية أو القطنية—يبدأ توازن العمود الفقري بالاختلال. وهنا تبدأ المشكلة.
كيف يمكن أن يؤدي التقوس الجانبي للظهر إلى ظهور اعوجاج العمود الفقري عند الأطفال؟
توضح الدراسات الحديثة أن أي خلل في تقوس العمود الفقري من الجانب يمكن أن يؤدي إلى تغيّر في طريقة توزيع الأحمال على الفقرات. وعندما تكون الأحمال غير متوازنة لفترات طويلة، تبدأ الفقرات بالميلان ثم الدوران، ومع مرور الوقت يظهر:
انحراف جانبي (Scoliosis)
التواء في العمود الفقري (3D Rotation)
وبذلك يتحول الخلل البسيط في شكل العمود الفقري من الجانب إلى تشوه ثلاثي الأبعاد قد يستمر في الازدياد خلال سنوات النمو.
ماذا تقول الدراسات الحديثة؟
في دراسة شملت 126 طفلًا ومراهقًا مصابين بانحناء صدري أيمن، قام الباحثون بتحليل:
شكل العمود الفقري من الجانب
نتائج محاكاة رقمية باستخدام نماذج العناصر المحدودة (Finite Element Models)
النتائج كانت واضحة:
كل نوع من أنواع التقوس الجانبي للظهر أنتج نوعًا محددًا من اعوجاج العمود الفقري.
وبمعنى آخر:
الأطفال الذين لديهم زيادة في التقوس الصدري لديهم نمط معين من الانحناء الجانبي.
الأطفال الذين لديهم نقص في التقوس الصدري لديهم نمط آخر مختلف.
التوازن بين الرأس والحوض له دور كبير في تحديد شكل التشوه.
وكانت العلاقة بين أشكال التقوس السهمي وأنواع الاعوجاج قوية جدًا (p<0.001).
هذه النتائج تقدم دليلًا مهمًا على أن شكل العمود الفقري من الجانب قد يكون العامل الأول الذي يحدد ظهور الاعوجاج وتطوره.

لماذا يهم مراقبه تقوس الظهر من الجانب؟
لأن معرفة السبب تساعد في:
اكتشاف المشكلة في سن مبكرة
منع زيادة الانحناء
فهم خطة العلاج التي يضعها الطبيب
كما أنها توضح لماذا قد يصاب طفلان من نفس العمر بانحناءات مختلفة رغم عدم وجود أسباب واضحة أو وراثية مباشرة.
إذا لاحظتِ علامات انحناء في ظهر طفلك، أو لاحظتِ عدم تماثل بين الجانبين، فلا تتردد الأن في استشارة مجانيه من طبيب متخصص.
علامات قد تشير إلى وجود خلل في التقوس الجانبي للعمود الفقري
من المهم للأهل مراقبة أطفالهم، خاصة في سن النمو (10–15 عامًا). ويمكن ملاحظة علامات بسيطة مثل:
انحناء الظهر للأمام بشكل زائد
ظهر مستقيم جدًا بدون أي تقوس طبيعي
بروز الكتفين أو أحدهما
اختلال في شكل القفص الصدري
بروز إحدى عظام لوح الكتف

وفي بعض الحالات لا يظهر أي عرض واضح، مما يجعل الفحص الدوري مهمًا جدًا.
كيف يشخص الطبيب خلل تقوس الظهر من الجانب؟
يعتمد الطبيب على:
الفحص السريري
اختبار الانحناء للأمام (Adams Test)
الأشعة الجانبية (Lateral X-ray)
تقييم توازن الرأس والحوض
تحليل زاوية كوب عند وجود اعوجاج
الأشعة الجانبية خصوصًا مهمة لأنها تكشف تفاصيل دقيقة عن شكل العمود الفقري من الجانب.
هل يمكن علاج خلل تقوس الظهر من الجانب قبل ظهور اعوجاج العمود الفقري؟
نعم، وهذا هو الجانب الإيجابي.
عندما يتم اكتشاف الخلل مبكرًا، يمكن تحسين شكل العمود الفقري من خلال:
1. العلاج الطبيعي (Physiotherapy)
باستخدام برامج مخصصة لتقويم وإعادة توازن العمود الفقري.
2. تمارين تحسين الوضعية
وهي تمارين بسيطة يمكن للطفل القيام بها في المنزل لتحسين استقامة الجسم.
3. التحكم في سلوكيات الجلوس والدراسة
مثل تجنب الانحناء الزائد أثناء استخدام الهاتف أو الجلوس لفترات طويلة.
4. حزام اعوجاج العمود الفقري
يستخدم في حالات معينة لدعم العمود الفقري ومنع تفاقم الانحناء.
إذا لاحظتِ علامات انحناء في ظهر طفلك، أو لاحظتِ عدم تماثل بين الجانبين، فلا تتردد الأن في استشارة مجانيه من طبيب متخصص.
هل يعني خلل تقوس الظهر من الجانب أن الطفل سيصاب باعوجاج العمود الفقري بالتأكيد؟
ليس بالضرورة.
ولكن وجود خلل واضح يزيد من احتمالية الإصابة، لذلك ينصح الأطباء بما يلي:
المتابعة كل 6 أشهر
مراقبة التغيرات في شكل الظهر
إجراء أشعة عند الاشتباه بوجود مشكلة
البدء ببرنامج علاجي بسيط إذا لزم الأمر
أسئلة شائعة يطرحها الأهل حول تقوس الظهر من الجانب وظهور اعوجاج العمود الفقري
هل يمكن أن يتحسن التقوس مع التمارين فقط؟
نعم في حالات كثيرة، خاصة إذا كان الطفل ما زال في مرحلة النمو.
هل الألم علامة على وجود اعوجاج؟
ليس دائمًا، فغالبية الأطفال المصابين بالاعوجاج لا يشعرون بأي ألم.
هل يمكن منع ظهور الاعوجاج؟
يمكن التقليل من احتمالية ظهوره عند اكتشاف الخلل في التقوس السهمي مبكرًا وتصحيحه.
هل يلزم إجراء أشعة؟
نعم، إذا كان الطبيب يشك في وجود خلل واضح في شكل العمود الفقري من الجانب أو إذا ظهرت علامات عدم التوازن في الظهر.

إذا لاحظتِ علامات انحناء في ظهر طفلك، أو لاحظتِ عدم تماثل بين الجانبين، فلا تتردد الأن في استشارة مجانيه من طبيب متخصص.
الخلاصة
تشير الأدلة العلمية الحديثة إلى أن تقوس العمود الفقري من الجانب قد يكون العامل الرئيسي في ظهور اعوجاج العمود الفقري لدى الأطفال. وكلما كان التقوس غير طبيعي، زادت احتمالية حدوث:
دوران الفقرات
انحراف جانبي
تشوه ثلاثي الأبعاد مع الزمن
ولذلك تعتبر المتابعة المبكرة، والفحص الدوري، وتصحيح وضعية الطفل خطوات أساسية للحفاظ على صحة العمود الفقري.
الاعوجاج حالة مستمرة ولهذا السب قد تحتاج تدخلًا في مراحل مختلفة من العمر. وبفضل وجود تقنيات التصنيف المعتمدة ، يمكن للأطباء تصميم خطة علاجية مخصصة تضمن تدخلاً جراحيًا عند الضرورة أو العلاج غير الجراحي قبل ذلك، لتفادي الاضطراب في الوظائف التنفسية أو أي أعراض متأخرة. فريقنا المحترف يضم نخبة من الأطباء والمتخصصين الذين يجمعون بين الخبرة والاحترافية لتقديم خطة علاجية غيرر جراحيه شاملة ومخصصة لحالتك، تضمن السيطرة على الانحناء ومنع زيادته.

لا تسمح لاعوجاج العمود الفقري بأن يؤثر على صحتك أو يسبب مضاعفات مستقبلية خطيرة،. مع مركز الرواد، أنت في أيدٍ أمينة، نعتمد على أحدث الأساليب العالمية لتصنيف الحالة ووضع خطة علاج دقيقة تناسب كل مرحلة عمرية.
لماذا يجب عليكم اختيار مركز الرواد لتأهيل وعلاج اعوجاج العمود الفقري؟
خبرة متميزة وفريق متخصص: يضم المركز نخبة من الأخصائيين ذوي الخبرة في علاج حالات اعوجاج العمود الفقري لدى الأطفال والمراهقين.
خطط علاجية مخصصة: نوفر برامج علاجية مصممة خصيصًا لكل حالة لضمان أفضل النتائج دون الحاجة للجراحة.
أحدث التقنيات العالمية: نعتمد على تقنيات حديثة مثل أجهزة التقييم الدقيقة وأحزمة التقويم المتقدمة مثل PioBrace.

رعاية شاملة ودعم أسري: نحرص على توفير بيئة علاجية آمنة، مع تقديم الإرشادات اللازمة للأهل لدعم رحلة الطفل العلاجية بكل ثقة واطمئنان.
إن تأخير العلاج قد يؤدي إلى مضاعفات كبيرة، لذا لا تتردد في اتخاذ القرار الصحيح الآن!

احجز استشارتك المجانيه الآن، ودعنا نساعدك لتحقيق أفضل نتيجة ممكنة، بأقل ألم وأعلى راحة
لا تدع الفرصة تفوتك للحصول على رعاية طبية متميزة، وابدأ الان رحلتك نحو التعافي الكامل مع مركز الرواد.

احجز تقييمك المجاني اليوم
اتصل بنا مباشرة على الرقم: 01044299365
أو احجز الان عبر موقعنا الإلكتروني
مواعيد مرنة – فريق طبي متخصص – استشارة مجانية تمامًا
قرارك اليوم… راحة وأمان غدًا
لا تترك الشكوك تؤخرك، اتخذ الخطوة الصحيحة الآن. ابدأ رحلة التعافي المبكر، وامنح فرصة للحياه بثقة .
تستحق الأفضل… فابدأ من اليوم!
احجز الآن ….




