
أفضل خيارات العلاج لمرضى اعوجاج العمود الفقري: تعرف على الحلول الفعالة
أفضل خيارات العلاج لمرضى اعوجاج العمود الفقري: تعرف على الحلول الفعالة
يعاني العديد من الأطفال والمراهقين من اعوجاج العمود الفقري، وبالتالي يبحث الأهل دائمًا عن أفضل الخيارات العلاجية. فهل يمكن التحكم في الحالة دون جراحة؟ وما الفرق بين كل خيار؟ في هذا الدليل المبسط، سنتعرف أولًا على جميع خيارات العلاج، ثم نشرح متى يُستخدم كل منها بطريقة سهلة للأهل والمريض.
ما هو اعوجاج العمود الفقري ولماذا يحتاج علاج؟
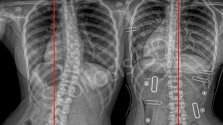
اعوجاج العمود الفقري هو انحناء غير طبيعي قد يكون على شكل حرف “C” أو “S”. غالبًا ما يظهر أثناء مرحلة النمو عند الأطفال والمراهقين.
مضاعفات الاعوجاج:
تغييرات واضحة في شكل الجسم
آلام في الظهر والرقبة
صعوبة في الحركة في الحالات الشديدة
لذلك، العلاج المبكر يمكن أن يمنع تفاقم الانحناء وبالتالي يحسن جودة الحياة ويقلل الألم.
ما هي خيارات العلاج المتاحة لاعوجاج العمود الفقري
يعتمد اختيار العلاج على:
شدة الانحناء (زاوية كوب)
عمر المريض ومرحلة النمو
الحالة الصحية العامة
ويمكن تقسيم العلاج إلى ثلاث فئات رئيسية:

1. المراقبة والمتابعة الدورية
في الحالات البسيطة (زاوية أقل من 20 درجة):
إجراء أشعة دورية كل 4–6 أشهر
تقييم نمو الطفل وتطور الانحناء
تقديم نصائح حول الوضعيات الصحيحة والنشاط البدني
المراقبة تساعد على اتخاذ القرار بالعلاج المناسب إذا بدأ الانحناء في التزايد.
2. العلاج غير الجراحي لاعوجاج العمود الفقري
أ. العلاج الطبيعي وتمارين تصحيح الانحناء
العلاج الطبيعي هو الخيار الأكثر شيوعًا للحالات الخفيفة والمتوسطة، ويشمل:
تمارين تصحيح العمود الفقري
تقوية العضلات الضعيفة وإطالة المشدودة
تحسين التوازن العضلي
تعليم المريض عادات صحيحة في الجلوس والوقوف والمشي
طريقة شروث (Schroth Method) هي أشهر البرامج، وقد أثبتت فعاليتها في تحسين الانحناء وتقليل الألم.
ب. حزام اعوجاج العمود الفقري (Bracing)
يستخدم للأطفال والمراهقين الذين لا يزال لديهم نمو عظمي مستمر، لتقويم العمود الفقري ومنع زيادة الانحناء، وتحسين المظهر العام للظهر.
الالتزام بالارتداء حسب توصية الطبيب ضروري وبالتالي ضمان نجاح العلاج.

إذا لاحظتِ علامات انحناء في ظهر طفلك، أو لاحظتِ عدم تماثل بين الجانبين، فلا تتردد الأن في استشارة مجانيه من طبيب متخصص.
ج. تعديل نمط الحياة والنشاط البدني
يشمل:
تجنب حمل الأوزان الثقيلة بطريقة خاطئة
ممارسة الرياضة المناسبة مثل السباحة وتمارين تقوية الظهر
تصحيح وضعية النوم والجلوس
هذه الخطوات تكمل العلاج الطبيعي والحزام وتعزز النتائج.
3. العلاج الجراحي
عادة ما يُلجأ للجراحة في الحالات الشديدة:
تقدم الاعوجاج سريعًا رغم العلاج غير الجراحي
ظهور ألم شديد أو صعوبة في الحركة
أنواع الجراحة:
تثبيت الفقرات بالمسامير والقضبان المعدنية لإعادة استقامة العمود الفقري
أحيانًا دمج الفقرات للحفاظ على الثبات واستقرار العمود الفقري
بعد الجراحة، يحتاج المريض إلى علاج طبيعي تأهيلي لاستعادة الحركة والقوة العضلية.
أسئلة شائعة للأهل والمريض حول علاج اعوجاج العمود الفقري
هل يمكن للعلاج الطبيعي وحده أن يعالج الاعوجاج؟
نعم، في حالات الانحناء الخفيف إلى المتوسط، خاصة مع الالتزام الكامل بالبرنامج العلاجي.
هل يمكن ممارسة الرياضة أثناء العلاج؟
نعم، بشرط اختيار الأنشطة المناسبة وتجنب الحركات العنيفة أو الحمل الثقيل على الظهر.
متى يكون التدخل الجراحي ضروريًا؟
عندما يصبح الانحناء شديدًا أو متزايدًا بسرعة، أو إذا ظهر ألم أو مشاكل في الحركة لا تتحسن بالعلاج الطبيعي والحزام.
هل حزام اعوجاج العمود الفقري مؤلم أو مزعج؟
قد يشعر الطفل بالضغط أو الحرارة في البداية، لكنه يتكيف تدريجيًا.

إذا لاحظتِ علامات انحناء في ظهر طفلك، أو لاحظتِ عدم تماثل بين الجانبين، فلا تتردد الأن في استشارة مجانيه من طبيب متخصص.
نصائح مهمة لنجاح علاج اعوجاج العمود الفقري
الالتزام بخطة العلاج والمتابعة الدورية مع الطبيب
تشجيع الطفل على ممارسة التمارين المنزلية بانتظام
مراقبة النمو والتغيرات في وضعية الجسم
التواصل المستمر مع فريق العلاج الطبيعي لتعديل البرنامج عند الحاجة
الخلاصة
خيارات علاج اعوجاج العمود الفقري متعددة، وتشمل:
المراقبة الدورية
العلاج الطبيعي والتمارين التصحيحية
الحزام للأطفال والمراهقين
الجراحة للحالات الشديدة
الاختيار الأمثل يعتمد على شدة الانحناء، مرحلة النمو، والتزام المريض والأهل.
مع العلاج المبكر والمناسب، يمكن تحسين الوضعية، تقليل الانحناء، وتحسين جودة الحياة بشكل كبير.
لذلك، من الضروري استشارة متخصص واختيار خطة علاجية فردية لضمان أفضل النتائج لكل مريض.
إذا لاحظتِ علامات انحناء في ظهر طفلك، أو لاحظتِ عدم تماثل بين الجانبين، فلا تتردد الأن في استشارة مجانيه من طبيب متخصص.
الاعوجاج حالة مستمرة ولهذا السب قد تحتاج تدخلًا في مراحل مختلفة من العمر. وبفضل وجود تقنيات التصنيف المعتمدة ، يمكن للأطباء تصميم خطة علاجية مخصصة تضمن تدخلاً جراحيًا عند الضرورة أو العلاج غير الجراحي قبل ذلك، لتفادي الاضطراب في الوظائف التنفسية أو أي أعراض متأخرة. فريقنا المحترف يضم نخبة من الأطباء والمتخصصين الذين يجمعون بين الخبرة والاحترافية لتقديم خطة علاجية غيرر جراحيه شاملة ومخصصة لحالتك، تضمن السيطرة على الانحناء ومنع زيادته.

لا تسمح لاعوجاج العمود الفقري بأن يؤثر على صحتك أو يسبب مضاعفات مستقبلية خطيرة،. مع مركز الرواد، أنت في أيدٍ أمينة، نعتمد على أحدث الأساليب العالمية لتصنيف الحالة ووضع خطة علاج دقيقة تناسب كل مرحلة عمرية.
لماذا يجب عليكم اختيار مركز الرواد لتأهيل وعلاج اعوجاج العمود الفقري؟
خبرة متميزة وفريق متخصص: يضم المركز نخبة من الأخصائيين ذوي الخبرة في علاج حالات اعوجاج العمود الفقري لدى الأطفال والمراهقين.
خطط علاجية مخصصة: نوفر برامج علاجية مصممة خصيصًا لكل حالة لضمان أفضل النتائج دون الحاجة للجراحة.
أحدث التقنيات العالمية: نعتمد على تقنيات حديثة مثل أجهزة التقييم الدقيقة وأحزمة التقويم المتقدمة مثل PioBrace.

رعاية شاملة ودعم أسري: نحرص على توفير بيئة علاجية آمنة، مع تقديم الإرشادات اللازمة للأهل لدعم رحلة الطفل العلاجية بكل ثقة واطمئنان.
إن تأخير العلاج قد يؤدي إلى مضاعفات كبيرة، لذا لا تتردد في اتخاذ القرار الصحيح الآن!

احجز استشارتك المجانيه الآن، ودعنا نساعدك لتحقيق أفضل نتيجة ممكنة، بأقل ألم وأعلى راحة
لا تدع الفرصة تفوتك للحصول على رعاية طبية متميزة، وابدأ الان رحلتك نحو التعافي الكامل مع مركز الرواد.

احجز تقييمك المجاني اليوم
اتصل بنا مباشرة على الرقم: 01044299365
أو احجز الان عبر موقعنا الإلكتروني
مواعيد مرنة – فريق طبي متخصص – استشارة مجانية تمامًا
قرارك اليوم… راحة وأمان غدًا
لا تترك الشكوك تؤخرك، اتخذ الخطوة الصحيحة الآن. ابدأ رحلة التعافي المبكر، وامنح فرصة للحياه بثقة .
تستحق الأفضل… فابدأ من اليوم!
احجز الآن ….




