
هل شد الأعصاب هو سبب اعوجاج العمود الفقري؟
هل شد الأعصاب هو سبب اعوجاج العمود الفقري؟
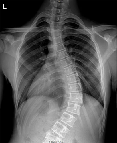
يبحث الكثير من الأهل والمرضى عن الأسباب الحقيقية وراء اعوجاج العمود الفقري، خاصة عندما لا يكون السبب واضحًا. ومن بين النظريات العلمية المهمة التي تساعد على فهم هذه الحالة، تأتي نظرية شد الأعصاب (Nerve Tension)، والتي تفسر كيف يمكن أن يؤثر الجهاز العصبي على شكل العمود الفقري.
في هذا الدليل المبسط، سنشرح لك ما هو شد الأعصاب، وكيف يؤثر على العمود الفقري، وهل يمكن أن يكون سببًا في اعوجاج العمود الفقري، بالإضافة إلى ما يعنيه ذلك للعلاج.
ما المقصود بشد الأعصاب؟
في البداية، يشير مصطلح شد الأعصاب إلى وجود توتر أو ضغط زائد في الأعصاب، خاصة الحبل الشوكي، نتيجة عدم توافق النمو بين الأعصاب والعمود الفقري.
وبمعنى أبسط:
👉 إذا كان العمود الفقري ينمو بشكل أسرع من الحبل الشوكي
👉 فقد يحدث “شد” في الأعصاب لأنها لا تواكب نفس معدل النمو
وبالتالي، يبدأ الجسم في التكيف مع هذا الشد بطرق مختلفة.

ما هي نظرية شد الأعصاب وعلاقتها باعوجاج العمود الفقري؟
اقترح أحد العلماء أن هناك احتمالًا لحدوث “عدم توازن” بين طول العمود الفقري وطول الحبل الشوكي.
حيث أنه:
- إذا أصبح العمود الفقري أطول نسبيًا
- بينما الحبل الشوكي أقصر أو أقل مرونة
👉 فإن الأعصاب والحبل الشوكي يتعرضان للشد لمحاولة التكيف مع هذا الطول
ومع زيادة هذا الشد، قد يلجأ الجسم إلى تغيير شكل العمود الفقري لتقليل الضغط.
كيف يؤثر شد الأعصاب على شكل العمود الفقري؟
لفهم ذلك بشكل بسيط، تخيل أن هناك حبلًا مشدودًا داخل أنبوب طويل.
👉 إذا كان الحبل أقصر من الأنبوب، سيبدأ في شد الأنبوب أو تغيير شكله
وبنفس الفكرة:
- الحبل الشوكي يمثل “الحبل”
- العمود الفقري يمثل “الأنبوب”
👉 لذلك، عندما يحدث شد في الأعصاب، قد يتغير شكل العمود الفقري لتقليل هذا الشد

إذا لاحظتِ علامات انحناء في ظهر طفلك، أو لاحظتِ عدم تماثل بين الجانبين، فلا تتردد الأن في استشارة مجانيه من طبيب متخصص.
لماذا قد ينحني العمود الفقري بدلًا من البقاء مستقيمًا؟
هنا يأتي السؤال المهم: لماذا لا يبقى العمود الفقري مستقيمًا؟
في الحقيقة، الجسم يحاول دائمًا الوصول إلى وضع يقلل من التوتر الداخلي.
👉 لذلك، قد يحدث:
- انحناء في العمود الفقري
- أو دوران في الفقرات
- أو تغير في القوام العام للجسم
وذلك لأن هذه التغييرات قد تساعد على تقليل شد الأعصاب والحبل الشوكي.
ما علاقة شد الأعصاب بوضعية الجسم اليومية؟
من ناحية أخرى، لا يمكن للجسم أن يبقى في وضع غير طبيعي لفترة طويلة.
فعلى سبيل المثال:
👉 قد يؤدي شد الأعصاب إلى ميل الجسم للخلف بشكل كبير (مثل تقوس شديد)
ولكن، في نفس الوقت:
👉 يعمل الجسم من خلال ما يُعرف بـ “رد الفعل التوازني” على إعادة الرأس والعينين إلى الوضع الطبيعي
وبالتالي، يحدث توازن بين:
- تقليل شد الأعصاب
- والحفاظ على القدرة على المشي والرؤية بشكل طبيعي
هل شد الأعصاب هو السبب الوحيد لاعوجاج العمود الفقري؟
الإجابة ببساطة: لا.
رغم أهمية هذه النظرية، إلا أن اعوجاج العمود الفقري غالبًا يكون نتيجة عدة عوامل، مثل:
- العوامل الوراثية
- النمو السريع
- ضعف العضلات
- العوامل العصبية
👉 لذلك، شد الأعصاب يُعتبر عاملًا محتملًا وليس السبب الوحيد.

إذا لاحظتِ علامات انحناء في ظهر طفلك، أو لاحظتِ عدم تماثل بين الجانبين، فلا تتردد الأن في استشارة مجانيه من طبيب متخصص.
هل يمكن ملاحظة أعراض شد الأعصاب؟
في بعض الحالات، قد تظهر علامات تدل على وجود توتر في الجهاز العصبي، مثل:
- تيبس في الظهر أو الرقبة
- صعوبة في بعض الحركات
- إحساس بشد أو عدم راحة في الجسم
- تغير في وضع الجسم
ومع ذلك، هذه الأعراض ليست دائمًا واضحة أو محددة.
كيف يتم تشخيص شد الأعصاب؟
في الواقع، لا يوجد اختبار واحد مباشر لتشخيص شد الأعصاب كسبب للاعوجاج.
ولكن يعتمد الأطباء على:
- الفحص السريري
- تقييم حركة الجسم
- الأشعة
- متابعة تطور الحالة
👉 وذلك للحصول على صورة شاملة عن الحالة.
ماذا يعني هذا عند علاج اعوجاج العمود الفقري؟
فهم دور شد الأعصاب يساعد في تحسين خطة العلاج بشكل كبير.
حيث يمكن أن يشمل العلاج:
1. العلاج الطبيعي
يساعد على:
- تحسين مرونة الجسم
- تقليل التوتر العضلي
- دعم التوازن
👉 وبالتالي، يقل الضغط على الأعصاب بشكل غير مباشر.
2. تمارين الإطالة
تلعب دورًا مهمًا في:
- تحسين مرونة العمود الفقري
- تقليل الشد في الأنسجة
👉 لذلك، تُعتبر جزءًا أساسيًا من العلاج.

3. تمارين التحكم في القوام
تساعد هذه التمارين على:
- تحسين وضع الجسم
- تقليل تأثير العوامل التي تزيد من الشد
4. المتابعة المستمرة
من المهم متابعة الحالة بانتظام، خاصة خلال فترة النمو.
👉 لأن التغيرات قد تحدث بسرعة في هذه المرحلة.
هل يمكن منع تأثير شد الأعصاب على اعوجاج العمود الفقري؟
في بعض الحالات، لا يمكن منع السبب بشكل كامل.
ولكن يمكن تقليل تأثيره من خلال:
- الاكتشاف المبكر
- الالتزام بالعلاج
- تحسين نمط الحياة
- ممارسة التمارين بانتظام
👉 وبالتالي، يمكن التحكم في تطور الحالة بشكل كبير.

إذا لاحظتِ علامات انحناء في ظهر طفلك، أو لاحظتِ عدم تماثل بين الجانبين، فلا تتردد الأن في استشارة مجانيه من طبيب متخصص.
أسئلة شائعة حول شد الأعصاب واعوجاج العمود الفقري
هل شد الأعصاب يسبب الجنف بشكل مباشر؟
ليس دائمًا، ولكنه قد يكون عاملًا مساعدًا.
هل يمكن علاج شد الأعصاب؟
لا يتم علاجه بشكل مباشر، ولكن يمكن تقليل تأثيره من خلال التمارين والعلاج الطبيعي.
هل كل حالات الجنف مرتبطة بالأعصاب؟
لا، فهناك أسباب متعددة للحالة.
الخلاصة
في النهاية، تُعد نظرية شد الأعصاب من النظريات المهمة التي تساعد على فهم كيفية تأثير الجهاز العصبي على شكل العمود الفقري.
👉 فعندما يحدث عدم توازن بين نمو العمود الفقري والحبل الشوكي، قد يؤدي ذلك إلى شد في الأعصاب، مما يدفع الجسم إلى تغيير شكل العمود الفقري لتقليل هذا التوتر.
ومع ذلك، يجب التأكيد على أن هذه النظرية تمثل جزءًا من الصورة الكاملة، وليست السبب الوحيد لاعوجاج العمود الفقري.
💡 الرسالة الأهم للأهل:
فهم سبب المشكلة هو أول خطوة للعلاج الصحيح. ومع التشخيص المبكر والالتزام بالعلاج الطبيعي، يمكن التحكم في الحالة بشكل فعال، ومساعدة الطفل على النمو بشكل صحي ومتوازن.
إذا لاحظتِ علامات انحناء في ظهر طفلك، أو لاحظتِ عدم تماثل بين الجانبين، فلا تتردد الأن في استشارة مجانيه من طبيب متخصص.
الاعوجاج حالة مستمرة ولهذا السب قد تحتاج تدخلًا في مراحل مختلفة من العمر. وبفضل وجود تقنيات التصنيف المعتمدة ، يمكن للأطباء تصميم خطة علاجية مخصصة تضمن تدخلاً جراحيًا عند الضرورة أو العلاج غير الجراحي قبل ذلك، لتفادي الاضطراب في الوظائف التنفسية أو أي أعراض متأخرة. فريقنا المحترف يضم نخبة من الأطباء والمتخصصين الذين يجمعون بين الخبرة والاحترافية لتقديم خطة علاجية غيرر جراحيه شاملة ومخصصة لحالتك، تضمن السيطرة على الانحناء ومنع زيادته.

لا تسمح لاعوجاج العمود الفقري بأن يؤثر على صحتك أو يسبب مضاعفات مستقبلية خطيرة،. مع مركز الرواد، أنت في أيدٍ أمينة، نعتمد على أحدث الأساليب العالمية لتصنيف الحالة ووضع خطة علاج دقيقة تناسب كل مرحلة عمرية.
لماذا يجب عليكم اختيار مركز الرواد لتأهيل وعلاج اعوجاج العمود الفقري؟
خبرة متميزة وفريق متخصص: يضم المركز نخبة من الأخصائيين ذوي الخبرة في علاج حالات اعوجاج العمود الفقري لدى الأطفال والمراهقين.
خطط علاجية مخصصة: نوفر برامج علاجية مصممة خصيصًا لكل حالة لضمان أفضل النتائج دون الحاجة للجراحة.
أحدث التقنيات العالمية: نعتمد على تقنيات حديثة مثل أجهزة التقييم الدقيقة وأحزمة التقويم المتقدمة مثل PioBrace.

رعاية شاملة ودعم أسري: نحرص على توفير بيئة علاجية آمنة، مع تقديم الإرشادات اللازمة للأهل لدعم رحلة الطفل العلاجية بكل ثقة واطمئنان.
إن تأخير العلاج قد يؤدي إلى مضاعفات كبيرة، لذا لا تتردد في اتخاذ القرار الصحيح الآن!

احجز استشارتك المجانيه الآن، ودعنا نساعدك لتحقيق أفضل نتيجة ممكنة، بأقل ألم وأعلى راحة
لا تدع الفرصة تفوتك للحصول على رعاية طبية متميزة، وابدأ الان رحلتك نحو التعافي الكامل مع مركز الرواد.

احجز تقييمك المجاني اليوم
اتصل بنا مباشرة على الرقم: 01044299365
أو احجز الان عبر موقعنا الإلكتروني
مواعيد مرنة – فريق طبي متخصص – استشارة مجانية تمامًا
قرارك اليوم… راحة وأمان غدًا
لا تترك الشكوك تؤخرك، اتخذ الخطوة الصحيحة الآن. ابدأ رحلة التعافي المبكر، وامنح فرصة للحياه بثقة .
تستحق الأفضل… فابدأ من اليوم!
احجز الآن ….




