
درجة اعوجاج العمود الفقري الخطيرة: دليل الأهل لتقييم الخطر واتخاذ قرار العلاج
درجة اعوجاج العمود الفقري الخطيرة: دليل الأهل لتقييم الخطر واتخاذ قرار العلاج
عند تشخيص اعوجاج العمود الفقري، يكون أول سؤال يتبادر إلى ذهن الأهل والمريض هو:
هل الحالة خطيرة؟
وهل هذا الانحناء يحتاج إلى علاج فوري أم مجرد متابعة؟
في الحقيقة، خطورة اعوجاج العمود الفقري لا تُقاس بالشكل الظاهري فقط، بل تعتمد بشكل أساسي على درجة الانحناء، والتي يتم قياسها طبيًا باستخدام زاوية كوب. في هذا المقال، سنشرح بشكل مبسّط وواضح متى يُعتبر اعوجاج العمود الفقري خطيرًا، ومتى يحتاج إلى تدخل علاجي، مع الإجابة عن أهم الأسئلة التي تشغل بال الأهل.
ما المقصود بدرجة اعوجاج العمود الفقري؟
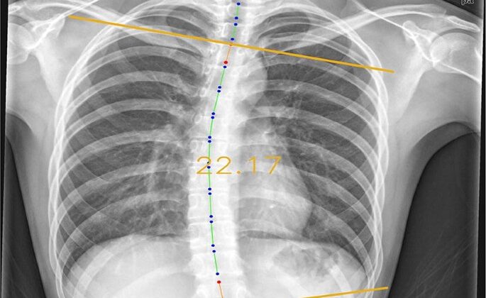
درجة اعوجاج العمود الفقري تُقاس باستخدام زاوية كوب (Cobb Angle)، وهي المعيار الطبي المعتمد عالميًا لتحديد شدة الانحناء من خلال الأشعة السينية.
كلما زادت زاوية كوب، زادت شدة الاعوجاج، وارتفعت احتمالية تطوره وتأثيره على صحة الطفل أو المريض.
متى يُعتبر اعوجاج العمود الفقري خطيرًا؟
ليس كل اعوجاج العمود الفقري خطيرًا، بل إن كثيرًا من الحالات تكون بسيطة ولا تسبب أي مشاكل.
لكن من الناحية الطبية، يمكن تقسيم درجات الخطورة بناءً على زاوية كوب كالتالي:

اعوجاج العمود الفقري البسيط (10–20 درجة)
في هذه المرحلة:
لا يُعتبر الاعوجاج خطيرًا
غالبًا لا يسبب ألمًا أو أعراضًا واضحة
لا يحتاج إلى علاج مباشر
عادةً يوصي الطبيب بـ:
إعادة الأشعة كل عدة أشهر
مراقبة الحالة خاصة أثناء فترات النمو السريع
مهم للأهل:
رغم أن هذه الدرجة غير خطيرة، إلا أن الإهمال قد يسمح بتطور الانحناء مع الوقت.
اعوجاج العمود الفقري المتوسط (20–40 درجة)
هنا تبدأ الحالة في أخذ طابعًا أكثر جدية.
في هذه المرحلة:
لا يُعتبر خطيرًا بشكل مباشر
لكنه معرّض للتفاقم
خاصة إذا كان الطفل لا يزال في مرحلة النمو
غالبًا ما يُوصى بـ:
علاج طبيعي مخصص
متابعة دقيقة ومنتظمة

إذا لاحظتِ علامات انحناء في ظهر طفلك، أو لاحظتِ عدم تماثل بين الجانبين، فلا تتردد الأن في استشارة مجانيه من طبيب متخصص.
اعوجاج العمود الفقري الشديد (أكثر من 40–45 درجة)
هنا يمكن القول طبيًا إن:
اعوجاج العمود الفقري يبدأ في أن يكون خطيرًا
في هذه الدرجة:
يزداد خطر تطور الانحناء
قد تظهر آلام الظهر
قد يتأثر توازن الجسم
وفي الحالات الشديدة جدًا قد تتأثر الرئتان أو القلب
إذا تجاوزت زاوية كوب:
45–50 درجة عند الأطفال
أو 50–60 درجة عند البالغين
فإن:
الحزام غالبًا لا يكون كافيًا
وقد يبدأ الطبيب في مناقشة خيار الجراحة
لماذا تُعتبر الدرجات العالية لاعوجاج العمود الفقري خطيرة؟
تكمن الخطورة في عدة نقاط:
استمرار زيادة الانحناء مع الوقت
تغير شكل القفص الصدري
الضغط على الرئتين وتقليل كفاءة التنفس
تأثير نفسي على الطفل بسبب تشوه الشكل الخارجي
صعوبة العلاج لاحقًا
ولهذا، فإن الاكتشاف المبكر والمتابعة الدقيقة هما العاملان الأهم لتجنب الوصول إلى هذه المرحلة.

هل كل حالة اعوجاج العمود الفقري بزاوية كبيرة تحتاج إلى جراحة؟
لا، ليس بالضرورة.
قرار الجراحة لا يعتمد فقط على زاوية كوب، بل أيضًا على:
عمر المريض
سرعة تطور الانحناء
وجود أعراض مثل الألم أو ضيق التنفس
تأثير الاعوجاج على الحياة اليومية
في بعض الحالات، حتى مع زوايا مرتفعة، يمكن تأخير الجراحة مع المراقبة الدقيقة إذا كانت الحالة مستقرة.
هل يمكن أن يتحول اعوجاج العمود الفقري البسيط إلى خطير؟
نعم، وهذا سؤال شائع جدًا بين الأهل.
في بعض الأطفال:
يبدأ الاعوجاج بسيطًا
ثم يزداد بسرعة أثناء البلوغ
خاصة بين سن 10 و14 سنة
لهذا السبب:
المتابعة المنتظمة ضرورية
وعدم الاعتماد فقط على الشكل الخارجي
إذا لاحظتِ علامات انحناء في ظهر طفلك، أو لاحظتِ عدم تماثل بين الجانبين، فلا تتردد الأن في استشارة مجانيه من طبيب متخصص.
هل يشعر الطفل دائمًا بالألم إذا كان اعوجاج العمود الفقري خطيرًا؟
ليس بالضرورة.
الكثير من الأطفال والمراهقين:
لديهم اعوجاج شديد
ولا يشعرون بألم واضح
غياب الألم لا يعني أن الحالة غير خطيرة، ولهذا لا يجب الاعتماد على الألم فقط كمؤشر.

متى يجب على الأهل القلق فعليًا من اعوجاج العمود الفقري؟
يُنصح بالقلق الإيجابي (وليس الخوف) في الحالات التالية:
زيادة زاوية كوب بسرعة
ملاحظة عدم تساوي الكتفين أو الخصر
وجود تاريخ عائلي لاعوجاج العمود الفقري
اقتراب الطفل من سن البلوغ
في هذه الحالات، المتابعة المبكرة تُحدث فرقًا كبيرًا.
كيف يساعد الفهم الصحيح لدرجة اعوجاج العمود الفقري في اتخاذ القرار؟
عندما يفهم الأهل:
معنى درجة الاعوجاج
ومتى تكون خطيرة
ومتى تحتاج فقط إلى متابعة
فإن ذلك:
يقلل القلق
يمنع القرارات المتسرعة
الخلاصة
اعوجاج العمود الفقري لا يُعتبر خطيرًا في كل الحالات.
لكن بشكل عام:
يبدأ القلق الطبي الحقيقي عند زوايا أكبر من 40–45 درجة
وتزداد الخطورة كلما زادت زاوية كوب، خاصة أثناء النمو
الفحص المبكر، والمتابعة المنتظمة، وفهم درجة الاعوجاج بشكل صحيح، هي مفاتيح حماية الطفل من المضاعفات، وضمان أفضل نتيجة علاجية ممكنة.
الفهم هو أول خطوة في العلاج، والاطمئنان المبني على معرفة صحيحة هو حق لكل أسرة.
إذا لاحظتِ علامات انحناء في ظهر طفلك، أو لاحظتِ عدم تماثل بين الجانبين، فلا تتردد الأن في استشارة مجانيه من طبيب متخصص.
الاعوجاج حالة مستمرة ولهذا السب قد تحتاج تدخلًا في مراحل مختلفة من العمر. وبفضل وجود تقنيات التصنيف المعتمدة ، يمكن للأطباء تصميم خطة علاجية مخصصة تضمن تدخلاً جراحيًا عند الضرورة أو العلاج غير الجراحي قبل ذلك، لتفادي الاضطراب في الوظائف التنفسية أو أي أعراض متأخرة. فريقنا المحترف يضم نخبة من الأطباء والمتخصصين الذين يجمعون بين الخبرة والاحترافية لتقديم خطة علاجية غيرر جراحيه شاملة ومخصصة لحالتك، تضمن السيطرة على الانحناء ومنع زيادته.

لا تسمح لاعوجاج العمود الفقري بأن يؤثر على صحتك أو يسبب مضاعفات مستقبلية خطيرة،. مع مركز الرواد، أنت في أيدٍ أمينة، نعتمد على أحدث الأساليب العالمية لتصنيف الحالة ووضع خطة علاج دقيقة تناسب كل مرحلة عمرية.
لماذا يجب عليكم اختيار مركز الرواد لتأهيل وعلاج اعوجاج العمود الفقري؟
خبرة متميزة وفريق متخصص: يضم المركز نخبة من الأخصائيين ذوي الخبرة في علاج حالات اعوجاج العمود الفقري لدى الأطفال والمراهقين.
خطط علاجية مخصصة: نوفر برامج علاجية مصممة خصيصًا لكل حالة لضمان أفضل النتائج دون الحاجة للجراحة.
أحدث التقنيات العالمية: نعتمد على تقنيات حديثة مثل أجهزة التقييم الدقيقة وأحزمة التقويم المتقدمة مثل PioBrace.

رعاية شاملة ودعم أسري: نحرص على توفير بيئة علاجية آمنة، مع تقديم الإرشادات اللازمة للأهل لدعم رحلة الطفل العلاجية بكل ثقة واطمئنان.
إن تأخير العلاج قد يؤدي إلى مضاعفات كبيرة، لذا لا تتردد في اتخاذ القرار الصحيح الآن!

احجز استشارتك المجانيه الآن، ودعنا نساعدك لتحقيق أفضل نتيجة ممكنة، بأقل ألم وأعلى راحة
لا تدع الفرصة تفوتك للحصول على رعاية طبية متميزة، وابدأ الان رحلتك نحو التعافي الكامل مع مركز الرواد.

احجز تقييمك المجاني اليوم
اتصل بنا مباشرة على الرقم: 01044299365
أو احجز الان عبر موقعنا الإلكتروني
مواعيد مرنة – فريق طبي متخصص – استشارة مجانية تمامًا
قرارك اليوم… راحة وأمان غدًا
لا تترك الشكوك تؤخرك، اتخذ الخطوة الصحيحة الآن. ابدأ رحلة التعافي المبكر، وامنح فرصة للحياه بثقة .
تستحق الأفضل… فابدأ من اليوم!
احجز الآن ….




