
تصحيح وضعية الحوض عند المراهقين المصابين باعوجاج العمود الفقري وعلاجه بالتمارين
تصحيح وضعية الحوض عند المراهقين المصابين باعوجاج العمود الفقري وعلاجه بالتمارين
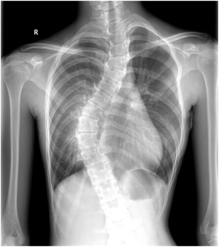
يُعد اعوجاج العمود الفقري من الحالات التي لا تقتصر آثارها على الظهر فقط، بل تمتد لتشمل مناطق أخرى من الجسم، وأهمها الحوض، الذي يُعتبر قاعدة العمود الفقري ونقطة توازن الجسم. كثير من المرضى أو الأهالي يلاحظون أن الحوض يبدو مائلًا أو غير متوازن عند المراهقين المصابين بانحناء في العمود الفقري، ما يثير تساؤلات حول سبب ذلك، وكيف يمكن تصحيحه.
في هذا المقال، نوضح العلاقة بين الحوض واعوجاج العمود الفقري، وطرق تصحيح ميل الحوض من خلال العلاج الطبيعي والتمارين العلاجية، بناءً على دراسات موثوقة
ما العلاقة بين الحوض واعوجاج العمود الفقري؟
الحوض هو الأساس الذي يستند عليه العمود الفقري. وعندما يحدث انحناء جانبي في العمود الفقري، تميل الفقرات إلى أحد الجانبين، فيؤثر ذلك مباشرة على توازن الحوض.
عادةً، يميل الحوض في اتجاه الانحناء، فيصبح أحد الجانبين أعلى من الآخر، فيما يُعرف بـ ميل الحوض (Pelvic Tilt) أو عدم اتزان الحوض. هذا الميل قد يسبب اختلافًا في طول الساقين الظاهري، وألمًا في أسفل الظهر أو الورك، ويؤثر على طريقة المشي والوقوف.
تشير دراسات منشورة في European Spine Journal إلى أن أكثر من 70٪ من المراهقين المصابين باعوجاج العمود الفقري لديهم درجة من ميل الحوض، وتزداد شدته بزيادة زاوية الانحناء (زاوية كوب).

لماذا يحدث ميل الحوض مع اعوجاج العمود الفقري؟
يرتبط ميل الحوض بعدة عوامل، منها:
عدم التوازن العضلي: عندما تضعف عضلات أحد جانبي الجسم، تنقبض العضلات المقابلة لتعويض ذلك، ما يؤدي إلى شدّ غير متساوٍ على الحوض.
الاختلاف في طول الساقين: في بعض الحالات، يكون أحد الطرفين السفليين أقصر قليلًا من الآخر، ما يجعل الحوض يميل لتعويض هذا الفارق.
العادات اليومية الخاطئة: مثل الجلوس لفترات طويلة بشكل مائل أو وضع حمل على جانب واحد من الجسم.
- دوران العمود الفقري: في حالات الاعوجاج، لا يميل العمود الفقري فقط، بل يدور أيضًا، مما يسبب التفافًا في قاعدة الحوض.

هل يمكن تصحيح ميل الحوض الناتج عن اعوجاج العمود الفقري؟
نعم، يمكن تصحيح ميل الحوض جزئيًا أو كليًا من خلال برامج العلاج الطبيعي المتخصصة، خصوصًا إذا كان المريض في مرحلة النمو ولم يكتمل تطور العظام بعد. الهدف من العلاج هو إعادة توازن العضلات، وتحسين استقامة العمود الفقري، وتصحيح الميل في قاعدة الحوض تدريجيًا.
بحسب توصيات Scoliosis Research Society (SRS) وAmerican Academy of Orthopaedic Surgeons (AAOS)، يبدأ التصحيح بالعلاج التحفظي قبل التفكير في أي تدخل جراحي.
ما هي أهم طرق تصحيح وضعية الحوض في حالات اعوجاج العمود الفقري؟
1. تمارين شروث (Schroth Exercises)
تُعد من أكثر الطرق فعالية لتصحيح الميل الجانبي والدوراني للحوض.
تعتمد على تمارين تنفس موجهة وتمدد عضلي تهدف إلى تقوية العضلات الضعيفة وإطالة العضلات المشدودة على الجانبين.
تُظهر الدراسات المنشورة في PubMed أن ممارسة تمارين شروث بانتظام يمكن أن تقلل من ميل الحوض وتحسن توازن الجسم بنسبة تصل إلى 30٪ خلال 6 أشهر.
إذا لاحظتِ علامات انحناء في ظهر طفلك، أو لاحظتِ عدم تماثل بين الجانبين، فلا تتردد الأن في استشارة مجانيه من طبيب متخصص.
2. تمارين التوازن والتقوية العضلية
تُستخدم لتحسين ثبات الحوض وزيادة قدرة المريض على الحفاظ على وضعية متوازنة أثناء الوقوف والمشي.
تشمل تمارين مثل تمارين الجسر (Bridge) ورفع الساق الجانبي والبلانك.
يساعد ذلك في إعادة توزيع الجهد العضلي على جانبي العمود الفقري بشكل متساوٍ.
3. استخدام الوسائل المساعدة أو حزام اعوجاج العمود الفقري
في بعض الحالات، قد يُوصي الطبيب باستخدام حزام اعوجاج العمود الفقري للمراهقين لتصحيح الانحناء ودعم منطقة الحوض.
يساعد الحزام في تقليل الضغط غير المتوازن على الفقرات والحوض، خاصة أثناء النمو السريع.
4. العلاج بالتحفيز العصبي العضلي (NMES)
تُستخدم أجهزة التحفيز الكهربائي لتحفيز العضلات الضعيفة حول الحوض لتعمل بكفاءة أكبر، ما يساعد على تحقيق توازن أفضل بين الجانبين.
كيف يعرف الأهل أن هناك ميلًا في الحوض؟
يمكن ملاحظته من خلال بعض العلامات البسيطة، مثل:
ملاحظة أن أحد الوركين أعلى من الآخر عند الوقوف.
ميل الكتفين أو الرأس إلى أحد الجانبين.
اختلاف بسيط في طول الساقين أو في توازن المشي.
شكوى المراهق من ألم في أسفل الظهر أو الورك.

في حال ظهور هذه العلامات، يُنصح بزيارة أخصائي علاج طبيعي أو طبيب عظام لإجراء تقييم سريري وتصوير بالأشعة السينية لتحديد درجة الاعوجاج وميل الحوض.
إذا لاحظتِ علامات انحناء في ظهر طفلك، أو لاحظتِ عدم تماثل بين الجانبين، فلا تتردد الأن في استشارة مجانيه من طبيب متخصص.
نصائح للأهل لدعم تصحيح وضعية الحوض لمرضى اعوجاج العمود الفقري
احرصوا على المتابعة المنتظمة مع الأخصائي لمراقبة التحسن في زاوية العمود الفقري ووضعية الحوض.
شجعوا المراهق على ممارسة التمارين يوميًا، لأن الاستمرارية هي مفتاح التحسن.
تجنبوا العادات الخاطئة مثل الجلوس المائل أو النوم على جهة واحدة لفترات طويلة.
احرصوا على استخدام الكرسي والطاولة المناسبين أثناء المذاكرة لتقليل الضغط على الظهر.
- اهتموا بتقوية عضلات البطن والظهر، فهي تدعم استقامة العمود الفقري وتوازن الحوض.
:max_bytes(150000):strip_icc()/woman-planking-b3731a5cfe7040f7a0a358c6cf7ef4ac.jpg)
إذا لاحظتِ علامات انحناء في ظهر طفلك، أو لاحظتِ عدم تماثل بين الجانبين، فلا تتردد الأن في استشارة مجانيه من طبيب متخصص.
الخلاصة
تصحيح وضعية الحوض في حالات اعوجاج العمود الفقري هو جزء أساسي من العلاج الطبيعي، لأنه يساعد على تحسين التوازن العضلي وتقليل الألم، ويدعم استقامة العمود الفقري بشكل أكثر فعالية.
الاعوجاج حالة مستمرة ولهذا السب قد تحتاج تدخلًا في مراحل مختلفة من العمر. وبفضل وجود تقنيات التصنيف المعتمدة ، يمكن للأطباء تصميم خطة علاجية مخصصة تضمن تدخلاً جراحيًا عند الضرورة أو العلاج غير الجراحي قبل ذلك، لتفادي الاضطراب في الوظائف التنفسية أو أي أعراض متأخرة. فريقنا المحترف يضم نخبة من الأطباء والمتخصصين الذين يجمعون بين الخبرة والاحترافية لتقديم خطة علاجية غيرر جراحيه شاملة ومخصصة لحالتك، تضمن السيطرة على الانحناء ومنع زيادته.

لا تسمح لاعوجاج العمود الفقري بأن يؤثر على صحتك أو يسبب مضاعفات مستقبلية خطيرة،. مع مركز الرواد، أنت في أيدٍ أمينة، نعتمد على أحدث الأساليب العالمية لتصنيف الحالة ووضع خطة علاج دقيقة تناسب كل مرحلة عمرية.
لماذا يجب عليكم اختيار مركز الرواد لتأهيل وعلاج اعوجاج العمود الفقري؟
خبرة متميزة وفريق متخصص: يضم المركز نخبة من الأخصائيين ذوي الخبرة في علاج حالات اعوجاج العمود الفقري لدى الأطفال والمراهقين.
خطط علاجية مخصصة: نوفر برامج علاجية مصممة خصيصًا لكل حالة لضمان أفضل النتائج دون الحاجة للجراحة.
أحدث التقنيات العالمية: نعتمد على تقنيات حديثة مثل أجهزة التقييم الدقيقة وأحزمة التقويم المتقدمة مثل PioBrace.

رعاية شاملة ودعم أسري: نحرص على توفير بيئة علاجية آمنة، مع تقديم الإرشادات اللازمة للأهل لدعم رحلة الطفل العلاجية بكل ثقة واطمئنان.
إن تأخير العلاج قد يؤدي إلى مضاعفات كبيرة، لذا لا تتردد في اتخاذ القرار الصحيح الآن!

احجز استشارتك المجانيه الآن، ودعنا نساعدك لتحقيق أفضل نتيجة ممكنة، بأقل ألم وأعلى راحة
لا تدع الفرصة تفوتك للحصول على رعاية طبية متميزة، وابدأ الان رحلتك نحو التعافي الكامل مع مركز الرواد.

احجز تقييمك المجاني اليوم
اتصل بنا مباشرة على الرقم: 01044299365
أو احجز الان عبر موقعنا الإلكتروني
مواعيد مرنة – فريق طبي متخصص – استشارة مجانية تمامًا
قرارك اليوم… راحة وأمان غدًا
لا تترك الشكوك تؤخرك، اتخذ الخطوة الصحيحة الآن. ابدأ رحلة التعافي المبكر، وامنح فرصة للحياه بثقة .
تستحق الأفضل… فابدأ من اليوم!
احجز الآن ….

تم إعداد هذا المقال استنادًا إلى دراسات وأبحاث من Scoliosis Research Society (SRS)، PubMed، The Journal of Bone and Joint Surgery (JBJS)، American Academy of Orthopaedic Surgeons (AAOS)، وEuropean Spine Journal.




