
تشوهات العمود الفقري: تعرف على الأسباب والأعراض وطرق العلاج الفعّالة للأطفال والبالغين
تشوهات العمود الفقري: تعرف على الأسباب والأعراض وطرق العلاج الفعّالة للأطفال والبالغين
تشوهات العمود الفقري هي حالات تؤدي إلى تغيّر في شكل أو محاذاة العمود الفقري، مما قد يسبب مشكلات في الحركة أو الألم أو يؤثر على شكل الجسم. قد تظهر هذه التشوهات منذ الولادة أو تتطور لاحقًا خلال الطفولة أو البلوغ أو حتى في سن متقدمة. فهم أسبابها وأعراضها وخيارات العلاج يساعد الأهل على اكتشاف المشكلة مبكرًا وحماية صحة الطفل أو البالغ.
ما هي أنواع تشوهات العمود الفقري؟
الجنف (Scoliosis)
انحناء جانبي غير طبيعي للعمود الفقري، قد يظهر عند الأطفال أو المراهقين، وأحيانًا عند البالغين نتيجة عوامل تنكسية.

التحدب (Kyphosis)
انحناء زائد للأمام في الجزء العلوي من الظهر، ويجعل الشخص يبدو منحنياً للأمام.التقعر (Lordosis)
انحناء زائد للداخل في الجزء السفلي من الظهر، مما قد يسبب ضغطًا على العمود الفقري والعضلات.تشوهات خلقية
تظهر منذ الولادة بسبب نمو غير طبيعي للفقرات أثناء الحمل.

ما أسباب تشوهات العمود الفقري؟
عوامل وراثية: وجود تاريخ عائلي يزيد من خطر الإصابة.
عيوب خلقية: مشكلات في تكوين الفقرات داخل الرحم.
مشكلات عضلية أو عصبية: مثل الشلل الدماغي أو ضمور العضلات.
إصابات العمود الفقري: الحوادث أو الكسور قد تسبب تغيرات في شكل الفقرات.
أمراض تنكسية: مثل هشاشة العظام أو التهاب المفاصل مع التقدم في العمر.
وضعيات جلوس أو وقوف خاطئة لفترات طويلة.
أعراض تشوهات العمود الفقري؟
عند الأطفال:
اختلاف في مستوى الكتفين أو الوركين.
بروز أحد جانبي الظهر أو الأضلاع.
ميلان واضح في الجسم عند الوقوف.
تغير في طريقة المشي أو فقدان التوازن.

- إذا لاحظتِ أي انحراف واضح في استقامه الظهر، فمن الأفضل استشارة طبيب مجانا لتقييم الحالة.
عند البالغين:
ألم مزمن في الظهر أو الرقبة.
تيبّس وصعوبة في الحركة.
تنميل أو ضعف في الأطراف.
صعوبة في التنفس في الحالات الشديدة بسبب ضغط القفص الصدري.
متى يجب مراجعة الطبيب؟
ينصح بزيارة الطبيب إذا لاحظت أي تغير في شكل ظهر الطفل، أو إذا كان هناك ألم مستمر، أو صعوبة في الحركة، أو أي أعراض تؤثر على النشاط اليومي. التشخيص المبكر يمنع تطور الحالة ويزيد فرص العلاج الفعّال.

كيف يتم تشخيص تشوهات العمود الفقري؟
الفحص السريري: لملاحظة شكل العمود الفقري والوضعية.
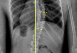
الأشعة السينية (X-ray): لتحديد درجة الانحناء أو التشوه.
التصوير بالرنين المغناطيسي (MRI): للكشف عن أي مشكلات في الأعصاب أو الأنسجة المحيطة.
الأشعة المقطعية (CT): في الحالات التي تحتاج إلى تفاصيل أدق.
- أختبار الفحص للأمام

ما هي خيارات العلاج؟
1. العلاج غير الجراحي:
العلاج الطبيعي: تمارين لتحسين قوة العضلات ودعم العمود الفقري.
الأحزمة الطبية: خاصة للأطفال أثناء فترة النمو لتصحيح أعوجاج العمود الفقري.

- إذا لاحظتِ أي انحراف واضح في استقامه الظهر، فمن الأفضل استشارة طبيب مجانا لتقييم الحالة.
الأدوية: لتخفيف الألم أو الالتهابات.
تعديل نمط الحياة: تحسين وضعية الجلوس والنوم وممارسة الرياضة بانتظام.
2. العلاج الجراحي:
يُستخدم للحالات الشديدة أو التي لا تستجيب للعلاج المحافظ.
يشمل عمليات دمج الفقرات أو تصحيح الانحناء باستخدام أدوات خاصة.
هل يمكن الوقاية من تشوهات العمود الفقري؟
تشجيع الأطفال على ممارسة الرياضة بانتظام.
مراقبة وضعية الجلوس في المدرسة والمنزل.
استخدام حقائب مدرسية خفيفة وموزعة الوزن.
اتباع غذاء غني بالكالسيوم وفيتامين د للحفاظ على قوة العظام.

خلاصة
تشوهات العمود الفقري ليست دائمًا خطيرة، لكنها قد تؤثر على شكل الجسم وصحة المريض إذا لم تُكتشف مبكرًا. المتابعة الدورية للأطفال، والانتباه لأي تغير في شكل الظهر أو الحركة، واللجوء للفحص الطبي السريع، كلها خطوات أساسية للحفاظ على صحة العمود الفقري.
الاعوجاج حالة مستمرة قد تحتاج تدخلًا في مراحل مختلفة من العمر. وبفضل وجود تقنيات التصنيف المعتمدة ، يمكن للأطباء تصميم خطة علاجية مخصصة تضمن تدخلاً جراحيًا عند الضرورة أو العلاج غير الجراحي قبل ذلك، لتفادي الاضطراب في الوظائف التنفسية أو أي أعراض متأخرة. فريقنا المحترف يضم نخبة من الأطباء والمتخصصين الذين يجمعون بين الخبرة والاحترافية لتقديم خطة علاجية شاملة ومخصصة لحالتك، تضمن السيطرة على الانحناء ومنع زيادته.

لا تسمح لاعوجاج العمود الفقري بأن يؤثر على صحتك أو يسبب مضاعفات مستقبلية خطيرة،. مع مركز الرواد، أنت في أيدٍ أمينة، نعتمد على أحدث الأساليب العالمية لتصنيف الحالة ووضع خطة علاج دقيقة تناسب كل مرحلة عمرية.
لماذا يجب عليكم اختيار مركز الرواد لتأهيل وعلاج اعوجاج العمود الفقري؟
خبرة متميزة وفريق متخصص: يضم المركز نخبة من الأخصائيين ذوي الخبرة في علاج حالات اعوجاج العمود الفقري لدى الأطفال والمراهقين.
خطط علاجية مخصصة: نوفر برامج علاجية مصممة خصيصًا لكل حالة لضمان أفضل النتائج دون الحاجة للجراحة.
أحدث التقنيات العالمية: نعتمد على تقنيات حديثة مثل أجهزة التقييم الدقيقة وأحزمة التقويم المتقدمة مثل PioBrace.

رعاية شاملة ودعم أسري: نحرص على توفير بيئة علاجية آمنة، مع تقديم الإرشادات اللازمة للأهل لدعم رحلة الطفل العلاجية بكل ثقة واطمئنان.
إن تأخير العلاج قد يؤدي إلى مضاعفات كبيرة، لذا لا تتردد في اتخاذ القرار الصحيح الآن!

احجز استشارتك الآن، ودعنا نساعدك لتحقيق أفضل نتيجة ممكنة، بأقل ألم وأعلى راحة
لا تدع الفرصة تفوتك للحصول على رعاية طبية متميزة، وابدأ رحلتك نحو التعافي الكامل مع مركز الرواد.

احجز تقييمك المجاني اليوم
اتصل بنا مباشرة على الرقم: 01044299365
أو احجز عبر موقعنا الإلكتروني
مواعيد مرنة – فريق طبي متخصص – استشارة مجانية تمامًا
قرارك اليوم… راحة وأمان غدًا
لا تترك الشكوك تؤخرك، اتخذ الخطوة الصحيحة الآن. ابدأ رحلة التعافي المبكر، وامنح فرصة للحياه بثقة .
تستحق الأفضل… فابدأ من اليوم!
احجز الآن ….




