
المراحل الخمسة لحزام اعوجاج العمود الفقري: رحلة علاج طفلك خطوة بخطوة
المراحل الخمسة لحزام اعوجاج العمود الفقري: رحلة علاج طفلك خطوة بخطوة
يُعد حزام اعوجاج العمود الفقري من أكثر الأدوات العلاجية شيوعًا للأطفال والمراهقين الذين يعانون من اعوجاج العمود الفقري (الجنف)، خاصة في الحالات التي ما زال فيها النمو العظمي مستمرًا. لكن كثيرًا من الأهل يتساءلون: ما هي مراحل استخدام حزام اعوجاج العمود الفقري؟ وما الذي يحدث في كل مرحلة؟ وكيف أضمن أفضل النتائج لطفلي؟
في هذا المقال، نقدم شرحًا مفصّلًا للمراحل الخمسة لحزام اعوجاج العمود الفقري بطريقة مبسّطة وعلمية، مع نصائح عملية للأهل لمتابعة الطفل وضمان الالتزام.
أولًا: لماذا تُستخدم المراحل في علاج الجنف بالحزام؟
استخدام الحزام لا يقتصر على ارتداء الجهاز فقط، بل يُقسم العلاج عادةً إلى مراحل متتابعة لضمان:
تصحيح وضعية العمود الفقري تدريجيًا
تقليل الانزعاج والضغط على الجسم
متابعة نمو الطفل بشكل آمن
تحقيق أقصى استفادة من الحزام وتقليل مخاطر الانتكاس
فهم كل مرحلة يساعد الأهل على دعم الطفل نفسيًا وجسديًا وزيادة الالتزام بالحزام.
المرحلة الأولى مع حزام اعوجاج العمود الفقري: مرحلة التكيف
الهدف: مساعدة الطفل على الاعتياد على الحزام.
في هذه المرحلة:
يبدأ الطفل بارتداء الحزام لساعات محدودة يوميًا.
قد يشعر بالانزعاج أو الضغط على الظهر والجسم.
يتم ضبط الحزام بشكل دقيق على قياسات الطفل لضمان الراحة النسبية.
نصائح للأهل:
تشجيع الطفل بالصبر وعدم القلق من الانزعاج المؤقت.
مراقبة أي علامات احمرار الجلد أو الاحتكاك.
التواصل مع الطبيب عند أي مشكلة لضبط الحزام.

المرحلة الثانية لحزام اعوجاج العمود الفقري: مرحلة التحسن الأولي
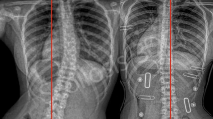
يختلف الهدف من التصحيح حسب العمر، نوع الانحناء، درجة الاعوجاج، ونوع الحزام المستخدم. ومع ذلك، هناك نسب تمثل “المعيار الذهبي” التي يسعى إليها الأطباء:
1. التصحيح المثالي: 50% أو أكثر
هذه النسبة تعتبر الأفضل، وتشير إلى أن الحزام يعمل بكفاءة عالية وأن تصميمه مناسب تمامًا لانحناء الطفل.
وتُلاحظ هذه النسبة عادة في:
الانحناءات المرنة
الأطفال الأصغر سنًا
عند استخدام أحزمة ثلاثية الأبعاد مصممة بشكل فردي (3D brace)
2. التصحيح الجيد: 30% – 50%
هذه النسبة مقبولة طبيًا وتُعد مؤشرًا جيدًا على فعالية الحزام، خصوصًا إذا كانت زاوية الاعوجاج متوسطة (من 20 إلى 40 درجة).
مع المتابعة الجيدة والالتزام بعدد ساعات الارتداء، بالتالي يمكن أن تمنع هذه النسبة تطور الانحناء.
3. التصحيح الضعيف: أقل من 30%
هذه النسبة تشير عادة إلى وجود مشكلة في:
مواضع وسادات الضغط
مقاسات الحزام
التزام الطفل بحسن الارتداء
وفي هذه الحالة يجب مراجعة الطبيب أو المركز المختص لإعادة ضبط الحزام.
مهم:
يتم تقييم الأشعة عادة كل 4 إلى 6 أشهر، وليس بشكل متكرر، لأن التغيّرات تحتاج وقتًا لتظهر.

المرحلة الثالثة لحزام اعوجاج العمود الفقري: مرحلة التعديل والمتابعة
الهدف: ضبط الحزام مع نمو الطفل وتحسين النتائج.
في هذه المرحلة:
يقوم الطبيب بإجراء تعديلات دورية على الحزام ليتناسب مع نمو الطفل.
يُتابع النمو العظمي والتغيرات في انحناء العمود الفقري.
قد يُطلب من الطفل أداء تمارين تقوية للظهر للمساعدة على دعم العمود الفقري خارج الحزام.
نصائح للأهل:
الالتزام بجلسات المتابعة مع الطبيب والفريق العلاجي.
التأكد من أن الحزام لا يسبب أي مشاكل جلدية أو انزعاج دائم.
تشجيع الطفل على التمارين المنزلية بطريقة ممتعة وآمنة.

إذا لاحظتِ علامات انحناء في ظهر طفلك، أو لاحظتِ عدم تماثل بين الجانبين، فلا تتردد الأن في استشارة مجانيه من طبيب متخصص.
المرحلة الرابعة لحزام اعوجاج العمود الفقري: مرحلة الاستقرار
الهدف: ضمان تثبيت النتائج.
في هذه المرحلة:
قد يقلّ الطبيب من عدد ساعات الارتداء تدريجيًا.
يبدأ الطفل بالاعتماد على الحزام أثناء أوقات محددة فقط، مثل الليل أو النوم الطويل.
يركز البرنامج على تمارين تقوية الظهر والمرونة لتدعيم العمود الفقري.
نصائح للأهل:
متابعة وضعية النوم وتغييرها لتقليل الضغط على أي جانب من العمود الفقري.
مراقبة الطفل للتأكد من استقرار شكل الظهر وعدم ظهور أي انحناء جديد.
تحفيز الطفل نفسيًا على الالتزام بالتمارين رغم تقليل ساعات ارتداء الحزام.
المرحلة الخامسة حزام اعوجاج العمود الفقري: مرحلة التوقف النهائي
الهدف: التوقف عن استخدام الحزام بعد التأكد من ثبات النتائج.
في هذه المرحلة:
يتم التوقف تدريجيًا عن ارتداء الحزام تمامًا.
يستمر الطفل في أداء برنامج تمارين داعم للعمود الفقري للحفاظ على النتائج.
يظل الطبيب في حالة متابعة دورية لتقييم أي تغييرات محتملة في العمود الفقري.
نصائح للأهل:
الالتزام بالتقييم الدوري للطبيب حتى بعد التوقف عن الحزام.
الحفاظ على تمارين الظهر والأنشطة البدنية المناسبة.
إذا لاحظتِ علامات انحناء في ظهر طفلك، أو لاحظتِ عدم تماثل بين الجانبين، فلا تتردد الأن في استشارة مجانيه من طبيب متخصص.
أسئلة شائعة حول مراحل حزام اعوجاج العمود الفقري
هل يقلق انزعاج الطفل في المراحل الأولى؟
نعم، لكنه مؤقت وطبيعي. مع الدعم النفسي والمتابعة الدورية، يعتاد الطفل على الحزام تدريجيًا.
هل الحزام يضعف عضلات الطفل؟
لا، إذا تم دمجه مع برنامج تمارين علاجية مخصصة لتقوية الظهر والعضلات المحيطة.
متى تبدأ نتائج الحزام بالظهور؟
عادةً بعد عدة أسابيع من الالتزام المنتظم، مع ملاحظة تحسن تدريجي في وضعية العمود الفقري.
هل يمكن التوقف عن حزام اعوجاج العمود الفقري قبل اكتمال المراحل؟
لا، فقد يؤدي التوقف المبكر إلى تفاقم الانحناء أو فقدان النتائج المحققة.

الخلاصة
المراحل الخمسة لحزام اعوجاج العمود الفقري تمثل خارطة طريق واضحة لتحقيق أفضل النتائج:
التكيف
التثبيت الأولي
التعديل والمتابعة
الاستقرار
التوقف النهائي
الالتزام بالمراحل، المتابعة الدورية، والدعم النفسي للطفل يضمنان نتائج فعّالة ومستقرة، ويجعل رحلة العلاج أكثر أمانًا وأقل قلقًا للأهل.
فهم هذه المراحل يساعد الأهل على اتخاذ قرار واعٍ ومطمئن ويجعل استخدام الحزام تجربة علاجية ناجحة للطفل والمراهق.
إذا لاحظتِ علامات انحناء في ظهر طفلك، أو لاحظتِ عدم تماثل بين الجانبين، فلا تتردد الأن في استشارة مجانيه من طبيب متخصص.
نجاح الحزام الطبي لعلاج اعوجاج العمود الفقري عند المراهقين لا يعتمد على ارتدائه فقط، بل على تفاصيل دقيقة مثل تصحيح دوران الفقرات الأولى وسرعة هذا التصحيح. متابعة الأهل مع الطبيب، الالتزام بعدد ساعات الارتداء، واستخدام الحزام المصمم خصيصًا لكل طفل، جميعها عوامل تزيد من فعالية العلاج وتمنح الطفل فرصة أفضل لنمو ظهر مستقيم وحياة طبيعية.
التطور الكبير في تصميم الأحزمة الطبية جعل علاج اعوجاج العمود الفقري عند المراهقين أكثر نجاحًا وأقل إزعاجًا. باستخدام تقنيات التصوير الثلاثي الأبعاد والمحاكاة الرقمية، أصبح الحزام أكثر خفة وراحة، ويعطي نتائج أفضل في تصحيح الانحناء والتواء العمود الفقري.

الرسالة للأهل: إذا كان طفلك بحاجة إلى حزام طبي، اسأل الطبيب دائمًا عن التصميم الحديث المصنوع بتقنية ثلاثية الأبعاد، لأنه قد يكون الفرق بين علاج ناجح وفعّال، وبين نتائج محدودة.
ابدئي مبكرًا، والتزمي بالخطة، وامنحي طفلك فرصة للعودة إلى النمو الطبيعي.
ارتداء الحزام العلاجي لعلاج اعوجاج العمود الفقري ليس مجرد إجراء بسيط، بل هو التزام يومي يؤثر على مسار العلاج بالكامل. ويجب الاهتمام بعدد ساعات الارتداء، ودرجة الإحكام، والمتابعة الدورية. تذكّر دائمًا أن الالتزام الحقيقي هو ما يصنع الفرق بين التقدم الملحوظ والثبات أو التراجع في الحالة.

نصائح للمرضى وأولياء الأمور
- المتابعة المنتظمة: من الضروري إجراء فحوصات دورية لتقييم تقدم العلاج وتعديل الحزام إذا لزم الأمر.
- الالتزام بارتداء الحزام: يجب ارتداء الحزام وفقًا لتعليمات الطبيب لتحقيق أفضل النتائج.
- التواصل مع الفريق الطبي: لا تتردد في طرح أي أسئلة أو مخاوف على الفريق الطبي المعالج.
من خلال فهم العوامل المؤثرة على فعالية العلاج بالحزام، يمكن للمرضى وأولياء الأمور اتخاذ قرارات مستنيرة بشأن إدارة اعوجاج العمود الفقري مجهول السبب وتحقيق أفضل النتائج الممكنة.

امنح طفلك فرصة أفضل لمستقبل صحي مع حزام PioBrace المتطور من مركز الرواد. يتميز هذا الحزام بتقنيات تقويم متقدمة تضمن نسبة تصحيح عالية لاعوجاج العمود الفقري، مع اعتماد فريق طبي متخصص يراقب التقدم بشكل مستمر لضمان عدم تفاقم الانحناء مستقبلاً. اختروا مركز الرواد، حيث تلتقي الخبرة الطبية بأحدث الابتكارات، لنوفر لطفلكم علاجًا مخصصًا وآمنًا يعيد التوازن لجسمه بثقة واحترافية. صحتهم أمانة ونحن هنا لنحافظ عليها.

لماذا يجب عليكم اختيار حزام PioBrace؟
- راحة استثنائية: يتميز حزام PioBrace بتصميمه الذي يوفر أقصى درجات الراحة للأطفال طوال فترة العلاج.
- فعالية مثبتة علميًا: يساعد الحزام في إيقاف تقدم الاعوجاج وتقليل الحاجة إلى التدخل الجراحي.
- سهولة الاستخدام: يمكن ارتداؤه لفترات طويلة دون التسبب في أي إزعاج للأطفال.
- موثوقية وجودة عالية: يُصنع بأحدث التقنيات لضمان أقصى درجات الراحة والكفاءة.
إن تأخير العلاج قد يؤدي إلى مضاعفات كبيرة، لذا لا تترددوا في اتخاذ القرار الصحيح الآن!

احجز استشارتك الآن، ودعنا نساعدك لتحقيق أفضل نتيجة ممكنة، بأقل ألم وأعلى راحة
لا تدع الفرصة تفوتك للحصول على رعاية طبية متميزة، وابدأ الان رحلتك نحو التعافي الكامل مع مركز الرواد.

احجز تقييمك المجاني اليوم
اتصل بنا مباشرة على الرقم: 01044299365
أو احجز الان عبر موقعنا الإلكتروني
مواعيد مرنة – فريق طبي متخصص – استشارة مجانية تمامًا
قرارك اليوم… راحة وأمان غدًا
لا تترك الشكوك تؤخرك، اتخذ الخطوة الصحيحة الآن. ابدأ رحلة التعافي المبكر، وامنح فرصة للحياه بثقة .
تستحق الأفضل… فابدأ من اليوم!
احجز الآن ….




