
الشلل الدماغي واعوجاج العمود الفقري: الأسباب والأعراض وخيارات العلاج
الشلل الدماغي واعوجاج العمود الفقري: الأسباب والأعراض وخيارات العلاج
يُعدّ الشلل الدماغي (Cerebral Palsy) من الاضطرابات العصبية المزمنة التي تؤثر على الحركة والتوازن ووضعية الجسم، ويحدث نتيجة لتلف في الدماغ خلال مرحلة النمو، سواء قبل أو أثناء الولادة أو بعدها بفترة قصيرة. ومن أبرز المضاعفات المصاحبة لهذه الحالة هو اعوجاج العمود الفقري، وهو انحراف جانبي غير طبيعي في العمود الفقري.
في هذا المقال، نستعرض العلاقة بين الشلل الدماغي واعوجاج العمود الفقري، أسباب تطور الانحناءات، وأبرز طرق التشخيص والعلاج، مع التركيز على أهمية الكشف المبكر.
ما هو الشلل الدماغي؟
الشلل الدماغي هو مجموعة من الاضطرابات العصبية تؤثر على القدرة على الحركة والتناسق العضلي. يحدث نتيجة تلف في الدماغ غير المتطور، ويصيب نحو طفل من كل 323 ولادة حية، ويُعدّ السبب الأكثر شيوعًا للإعاقة الحركية في مرحلة الطفولة.

أسباب الشلل الدماغي:
إصابة الدماغ أثناء الحمل (عدوى داخل الرحم أو نقص الأوكسجين).
سكتة دماغية جنينية.
إصابات في الرأس خلال السنوات الأولى من الطفولة.
الولادة المبكرة أو مضاعفات الولادة.
ما هو اعوجاج العمود الفقري؟
اعوجاج العمود الفقري (Scoliosis) هو انحناء جانبي غير طبيعي في العمود الفقري، وقد يأخذ شكل حرف “S” أو “C”. يمكن أن يصيب أي جزء من العمود الفقري، إلا أن المنطقة الصدرية العلوية هي الأكثر تأثرًا عند مرضى الشلل الدماغي.
لماذا يصاب مرضى الشلل الدماغي باعوجاج العمود الفقري؟
يُعتبر مرضى الشلل الدماغي من الفئات الأكثر عرضة للإصابة باعوجاج العمود الفقري بسبب الخلل في التوازن العضلي، وضعف العضلات، والميل غير الطبيعي لوضعيات الجلوس أو الوقوف.

أبرز عوامل الخطر:
مستوى الأداء الحركي الإجمالي (GMFCS): كلما ارتفع مستوى الإعاقة (المستوى III إلى V)، زادت احتمالية الإصابة باعوجاج العمود الفقري.
ضعف التناسق العضلي والاختلال في وضعية الحوض.
العمر: تظهر الانحناءات غالبًا بين سن 10-12 عامًا.
نمو غير متناظر في العظام أو وجود تشوهات خلقية في العمود الفقري.
أعراض اعوجاج العمود الفقري عند مرضى الشلل الدماغي

قد تظهر أعراض اعوجاج العمود الفقري تدريجيًا، ويجب الانتباه لها خاصةً عند الأطفال:
انحناء واضح في الظهر أو الكتف.
عدم تساوي الكتفين أو الحوض.
نتوء أحد الأضلاع عند الانحناء للأمام (Rib Hump).
صعوبة في الجلوس أو الاتزان.
مشاكل في التنفس أو آلام في الظهر في الحالات المتقدمة.
كيف يتم تشخيص اعوجاج العمود الفقري لدى المصابين بالشلل الدماغي؟
الفحص السريري:
ملاحظة وضعية الجسم والجلوس.
اختبار الانحناء للأمام (Adam’s Forward Bend Test).

الفحوصات التصويرية:
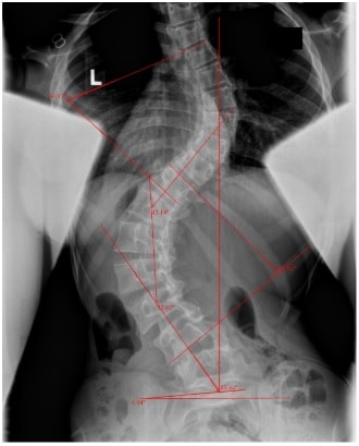
الأشعة السينية (X-Ray): لقياس زاوية انحناء العمود الفقري (زاوية كوب – Cobb Angle).
الأشعة ثلاثية الأبعاد أو التصوير EOS في الحالات المعقدة.
نسبة انتشار اعوجاج العمود الفقري عند مرضى الشلل الدماغي
تشير الدراسات إلى أن ما بين 50% إلى 75% من الأطفال المصابين بالشلل الدماغي سيصابون بانحناء في العمود الفقري بحلول سن 18 عامًا، مقارنةً بنسبة 2-3% في عموم السكان. وكلما زادت شدة الإصابة الحركية، زاد خطر تطور اعوجاج العمود الفقري بشكل سريع ومبكر.
خيارات العلاج
1. العلاج غير الجراحي:
العلاج الطبيعي: لوقف تطور الأعوجاج و لتحسين التوازن وتقوية العضلات الداعمة للعمود الفقري.
الأجهزة المساعدة في الجلوس والوقوف.
الأحزمه فعاله في وقف تطور الأنحناء

2. التدخل الجراحي:
يُوصى بالجراحة في الحالات المتقدمة، أو عند فشل الطرق غير الجراحية. تشمل:
دمج الفقرات (Spinal Fusion) لمنع تطور الانحناء.
إجراءات مخصصة لتحسين الجلوس والوظيفة التنفسية.

معلومة مهمة: كل حالة تختلف عن الأخرى، لذلك يُفضل تقييم كل مريض بشكل فردي من قبل فريق طبي متعدد التخصصات.
كيف يؤثر اعوجاج العمود الفقري على مرضى الشلل الدماغي؟
قد يسبب صعوبة في الجلوس والتنفس، خاصةً في الحالات الشديدة.
يؤثر على جودة الحياة والنشاط اليومي.
في بعض الحالات، قد يؤدي إلى مضاعفات خطيرة مثل انخلاع الورك أو مشاكل في الهضم.
أهمية الكشف المبكر
كلما تم رصد اعوجاج العمود الفقري في مرحلة مبكرة، كانت فرص السيطرة عليه أكبر. لذلك يُوصى بالفحص الدوري للأطفال المصابين بالشلل الدماغي، خاصةً الذين لديهم ضعف حركي شديد.
خاتمة
اعوجاج العمود الفقري هو من المضاعفات الشائعة والخطيرة لدى الأطفال المصابين بالشلل الدماغي. ومع ذلك، فإن التشخيص المبكر والمتابعة الدقيقة والعلاج المناسب يمكن أن يُحسن بشكل كبير من جودة الحياة ويُقلل من المضاعفات. إذا كان لديك طفل مصاب بالشلل الدماغي، لا تتردد في استشارة الطبيب المختص إذا لاحظت أي تغيّرات في وضعية العمود الفقري.
. بالاهتمام المتكامل، تستطيع التعايش بشكل أفضل، مع حياة مليئة بالأمل والراحة.
لا تنتظر حتى تتفاقم مشكلة اعوجاج العمود الفقري وتأثر حياتك اليومية! في مركز الرواد، نؤمن أن العلاج المبكر هو أفضل طريقة للحفاظ على صحتك وتحسين راحتك.

لماذا يجب عليكم اختيار مركز الرواد لتأهيل وعلاج اعوجاج العمود الفقري؟
خبرة متميزة وفريق متخصص: يضم المركز نخبة من الأخصائيين ذوي الخبرة في علاج حالات اعوجاج العمود الفقري لدى الأطفال والمراهقين.
خطط علاجية مخصصة: نوفر برامج علاجية مصممة خصيصًا لكل حالة لضمان أفضل النتائج دون الحاجة للجراحة.
أحدث التقنيات العالمية: نعتمد على تقنيات حديثة مثل أجهزة التقييم الدقيقة وأحزمة التقويم المتقدمة مثل PioBrace-Nu.

احجز تقييمك المجاني اليوم
اتصل بنا مباشرة على الرقم: 01044299365
أو احجز عبر موقعنا الإلكتروني
مواعيد مرنة – فريق طبي متخصص – استشارة مجانية تمامًا
قرارك اليوم… راحة وأمان غدًا
لا تترك الشكوك تؤخرك، اتخذ الخطوة الصحيحة الآن. ابدأ رحلة التعافي المبكر، وامنح فرصة للحياه بثقة .
تستحق الأفضل… فابدأ من اليوم!
احجز الآن ….






