
أهمية الأشعة قبل خوذة علاج الرأس المسطح: لماذا تعتبر خطوة أساسية قبل العلاج؟
أهمية الأشعة قبل خوذة علاج الرأس المسطّح: لماذا تعتبر خطوة أساسية قبل العلاج؟
يعاني بعض الأطفال حديثي الولادة من تسطّح الرأس أو ما يُعرف بـمتلازمة الرأس المفلطح، وهي حالة شائعة تصيب العديد من الرضع خلال الأشهر الأولى من العمر. ولتحقيق أفضل نتائج في العلاج باستخدام خوذة الرأس الطبية، تُعد الأشعة والفحوص التشخيصية الدقيقة خطوة أساسية قبل البدء في العلاج. في هذا المقال المبسّط، سنشرح لك كل ما يهمك حول أهمية الأشعة، كيفية الاستعداد لها، وأنواعها، وما هي الأسئلة التي تدور في ذهن الأهل.
ما هي أهمية الأشعة قبل استخدام خوذة علاج الرأس المسطح؟
الأشعة والفحوص قبل العلاج تساعد الطبيب على:
تحديد شدة تسطح الرأس: ليست كل حالات الرأس المفلطح تحتاج إلى خوذة، فهناك درجات خفيفة يمكن علاجها بتغيير وضعية النوم واللعب. الأشعة تساعد على تقييم حجم الانحراف بدقة.
استبعاد الأسباب الأخرى: بعض التشوهات الرأسية قد تكون نتيجة مشاكل خلقية في الجمجمة، أو حالات مرضية نادرة مثل التحام عظام الجمجمة المبكر. الكشف المبكر يمنع البدء بعلاج غير مناسب.
تخطيط العلاج بدقة: يعتمد تصميم خوذة الرأس على شكل الجمجمة الحالي للطفل. الأشعة تساعد على وضع خطة دقيقة لتوجيه النمو بشكل صحيح وتحقيق نتائج أفضل.
تقييم تطور العلاج: بعد بدء ارتداء الخوذة، تُستخدم الأشعة أحيانًا لمقارنة شكل الرأس قبل وبعد العلاج ومتابعة النتائج.
ما هي أنواع الأشعة المستخدمة قبل خوذة علاج الرأس المسطح؟

1. الأشعة السينية (X-ray)
نادرة الاستخدام للأسباب الأولية، لكنها مفيدة في حالات التشوهات المعقدة.
تعطي صورة واضحة للعظام والجمجمة.
يجب استخدام أقل جرعة ممكنة لتجنب التعرض للإشعاع عند الأطفال.
2. الموجات فوق الصوتية (Ultrasound)
الأكثر شيوعًا للأطفال الرضع.
آمنة تمامًا ولا تستخدم الإشعاع.
تساعد على تقييم شكل الجمجمة وقياس الانحراف.
3. التصوير ثلاثي الأبعاد (3D Imaging)
يعطي رؤية دقيقة جدًا لشكل الرأس.
يستخدم لتصميم خوذة مخصصة تناسب قياسات رأس الطفل بالملمتر.
يمكن متابعة نمو الرأس بدقة خلال فترة العلاج.
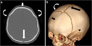
4. الأشعة المقطعية ثلاثية الأبعاد
الأشعة المقطعية ثلاثية الأبعاد (3D CT Reconstruction) تُعد أداة حيوية لتشخيص حالات التحام عظام الجمجمة المبكر (Craniosynostosis). فهي توفر رؤية دقيقة للجمجمة وبنية العظام، مما يسمح للطبيب بتقييم أي التصاقات غير طبيعية بين الصفائح العظمية، وتحديد نوع التحام العظام وشدته بدقة متناهية. تساعد هذه التقنية أيضًا في تخطيط العلاج أو الجراحة بشكل آمن، حيث يمكن تصميم التدخل الجراحي أو خوذة تصحيحية وفق شكل الجمجمة الفعلي، مما يزيد من فعالية العلاج ويقلل المخاطر المحتملة، ويضمن متابعة نمو الرأس بطريقة دقيقة خلال الأشهر الأولى من عمر الطفل.
متى يجب إجراء الأشعة؟
عادة، يُوصى بإجراء الفحص قبل بدء العلاج، أي بين عمر 3–6 أشهر، وهي الفترة التي يكون فيها الرأس أكثر قابلية للتعديل.
في بعض الحالات، يمكن تكرار الفحص بعد عدة أسابيع من ارتداء الخوذة لتقييم التقدم والتأكد من فعالية العلاج.
إذا كان الطفل يعاني من تشوه شديد أو غير معتاد في الجمجمة، قد ينصح الطبيب بإجراء الفحوص في وقت مبكر أكثر لضمان التشخيص السليم.
إذا لاحظتِ أي علامات تسطح واضحه أو عدم تناظرفي شكل الرأس،فلا تتردد الأن في استشارة طبيب الأطفال مجانا لتقييم طفلك.
أسئلة شائعة للأهل حول الأشعة وخوذة علاج الرأس المسطح
هل الأشعة آمنة لطفلي؟
نعم، إذا تم اختيار النوع المناسب. الموجات فوق الصوتية آمنة تمامًا، بينما الأشعة السينية تُستخدم بحذر شديد وتحت إشراف طبي.
هل يحتاج كل الأطفال إلى أشعة قبل الخوذة؟
ليست كل الحالات تحتاج لأشعة. غالبًا، يُستخدم الفحص في الحالات المتوسطة والشديدة، أو عند وجود شك في تشوهات أخرى.
هل تؤثر الأشعة على نمو الدماغ؟
لا، لأن الأشعة المستخدمة للأطفال حديثي الولادة تكون منخفضة الجرعة، والفحوص الأكثر أمانًا مثل الموجات فوق الصوتية لا تستخدم إشعاعًا على الإطلاق.
كم من الوقت تستغرق الأشعة؟
الموجات فوق الصوتية: حوالي 10–15 دقيقة.
الأشعة السينية: دقائق قليلة فقط.
التصوير ثلاثي الأبعاد: من 5 إلى 10 دقيقة حسب التقنية.
هل تحتاج الخوذة لقياسات؟
نعم، تصميم الخوذة يعتمد على نتائج الفحص، وقد يحتاج الطبيب لتعديلها بعد فترة قصيرة لضمان أفضل النتائج.
إذا لاحظتِ أي علامات تسطح واضحه أو عدم تناظرفي شكل الرأس،فلا تتردد الأن في استشارة طبيب الأطفال مجانا لتقييم طفلك.

نصائح عملية قبل إجراء الأشعة لخوذة علاج الرأس المسطح
احرصي على راحة الطفل: استخدمي وقت الرضاعة أو النوم أثناء الفحص لتسهيل العملية.
تجنبي الأدوية المهدئة إلا إذا نصح الطبيب بها: معظم الفحوص لا تحتاج إلى تهدئة.
ارتدي ملابس مريحة للطفل: لتسهيل تحريكه عند الحاجة.
احرصي على متابعة مواعيد الفحص بدقة: لضمان البدء بالعلاج في الوقت الأمثل.
الخلاصة
الأشعة قبل خوذة علاج الرأس المسطح خطوة حاسمة لضمان العلاج الصحيح والآمن. تساعد في:
تحديد شدة تسطح الرأس بدقة.
تصميم خوذة مخصصة تناسب شكل الجمجمة.
متابعة تطور العلاج وتحقيق نتائج أسرع.
استبعاد أي أسباب مرضية أخرى لتسطيح الرأس.
مع هذه الفحوص، يصبح ارتداء خوذة الرأس أكثر أمانًا وفعالية، ويضمن للأهل راحة البال ونجاح العلاج خلال أسابيع قليلة.

تذكري: التعاون مع الطبيب الالتزام بالمواعيد، وفهم خطوات العلاج، هي المفاتيح الأساسية للحصول على رأس متناسق وصحي لطفلك.
إذا لاحظتِ أي علامات تسطح واضحه أو عدم تناظرفي شكل الرأس،فلا تتردد الأن في استشارة طبيب الأطفال مجانا لتقييم طفلك.
يساعد العلاج بالخوذة في تصحيح تسطح الرأس وعدم التماثل في الوجه لدى الأطفال الرضع بشكل فعّال. ويُعد بدء العلاج مبكرًا من أهم عوامل النجاح، حيث يساهم في استعادة التماثل وتحسين مظهر الرأس والوجه. في مركز الرواد، نحرص على تقديم الرعاية الطبية المثلى لكم ولطفلكم من خلال خبرة طبية متميزة وتقنيات متطورة لضمان نتائج آمنة وفعّالة.

لا تنتظر حتى تزداد المشكلة، فكل يوم يمر في الأشهر الأولى من حياة الطفل مهم جدًا.
كلما بادرت في اكتشاف المشكلة واستخدام الوسيلة العلاجية المناسبة، خاصة خوذة التشكيل، زادت فرص التصحيح الكامل دون الحاجة لأي تدخل جراحي.
ابدأ الآن بخطوة بسيطة: استشر طبيبًا مختصًا فور ملاحظة أي انحراف بسيط في شكل رأس طفلك، فالوقاية دائمًا خير من العلاج.

غالبية حالات تشوه مؤخرة الرأس قابلة للعلاج بطرق بسيطة وفعالة دون الحاجة للجراحة، خاصة عند البدء المبكر في العلاج.
التدخل المبكر هو العامل الحاسم لتفادي التشوهات الدائمة التي قد تؤثر على نموه وثقته بنفسه مستقبلاً.تصحيح شكل الرأس، يعتمد على أحدث الطرق الطبية الآمنة والفعالة، لضمان نتائج ملموسة بدون أي مخاطر صحية. لنضمن لطفلكم أفضل فرصة لتحقيق نمو طبيعي وشكل متناسق للرأس، وحياة صحية ومستقرة. لأن صحة طفلكم وجماله أولوية قصوى، ونحن شركاؤكم في هذه الرحلة.

لماذا يختار الآباء خوذة PioHelmet لأطفالهم؟

تصميم مخصص لكل طفل لضمان نتائج دقيقة وآمنة
فعالية مثبتة في تصحيح تسطح الرأس خلال أشهر قليلة
خامات مريحة وملائمه تُناسب بشرة الرضع الحساسة
دعم طبي مستمر من أخصائيين في تعديل شكل الجمجمة
نتائج جمالية ووظيفية تدوم مدى الحياة دون الحاجة لتدخلات لاحقة

لا تؤجّل القرار… كل يوم يمر يصنع فرقًا
فعالية العلاج تكون أعلى في الأشهر الأولى من عمر الطفل. بعد الشهر الرابع عشر، تبدأ الجمجمة في التصلّب ويصعب تصحيح الشكل.
العلاج المبكر قد يعيد لطفلك شكل رأسه الطبيعي ويجنّبه صعوبات مستقبلية

لا تدع الفرصة تفوتك للحصول على رعاية طبية متميزة، وابدأ الان رحلتك نحو التعافي الكامل مع مركز الرواد.
اتصل بنا مباشرة على الرقم: 01044299365
أو احجز الان عبر موقعنا الإلكتروني
مواعيد مرنة – فريق طبي متخصص – استشارة مجانية تمامًا
قرارك اليوم… راحة وأمان لطفلك غدًا

لا تترك الشكوك تؤخرك، اتخذ الخطوة الصحيحة الآن. ابدأ رحلة العلاج المبكر، وامنح طفلك فرصة للنمو بثقة وشكل طبيعي.
طفلك يستحق الأفضل… فابدأ معه من اليوم!
احجز الآن ….




