
اعوجاج العمود الفقري وحداب شويرمان عند الأطفال: اكتشف الأعراض وأفضل طرق العلاج
اعوجاج العمود الفقري وحداب شويرمان عند الأطفال: اكتشف الأعراض وأفضل طرق العلاج
يعاني العديد من الأطفال والمراهقين من اضطرابات العمود الفقري التي قد تتزامن في بعض الأحيان، ما يثير قلق الأهل بشأن صحة ظهر أبنائهم. من أبرز هذه الحالات هو الجمع بين حداب شويرمان، المعروف بالانحناء الأمامي للظهر، واعوجاج العمود الفقري، أي الانحناء الجانبي للعمود الفقري. هذا الجمع بين الانحناءين ليس نادرًا كما يظن البعض، وقد يؤدي إلى مشكلات كبيرة إذا لم يتم اكتشافه ومعالجته مبكرًا.
ما هو حداب شويرمان وكيف يظهر؟
حداب شويرمان هو حالة تتسم بانحناء العمود الفقري إلى الأمام بشكل غير طبيعي نتيجة ضغط الفقرات من الجهة الأمامية. هذا الانحناء يغير شكل ظهر الطفل ويجعله يميل إلى الانحناء للأمام. في بعض الحالات، يمكن أن يكون هذا الانحناء مصحوبًا بآلام متفرقة في الظهر أو إجهاد سريع عند ممارسة النشاط البدني.
الحداب عادة يظهر في منتصف الظهر ويؤثر على الانحناء الصدري الطبيعي (Kyphosis)، حيث تصبح الفقرات على شكل وتدي بدلاً من الشكل الطبيعي المستوي أو المنحني برفق. إذا لم يتم التعامل معه مبكرًا، قد يتفاقم الانحناء ويؤثر على التوازن العضلي والمظهر العام للظهر.

كيف يرتبط اعوجاج العمود الفقري وحداب شويرمان؟
دراسات حديثة أظهرت أن نحو 70% من المراهقين المصابين بحداب شويرمان لديهم أيضًا انحناء جانبي في العمود الفقري. وهذا يعني أن وجود كلا الانحناءين معًا ليس مصادفة، بل هناك علاقة بين التغيرات في شكل الفقرات وانحناءاتها الأمامية والجانبية.
يمكن تصنيف الانحناء الجانبي المصاحب لحداب شويرمان إلى نوعين:
النوع الأول:
يظهر في نفس منطقة الحداب.
متوسط زاوية الانحناء حوالي 15 درجة.
يظهر بنفس النسبة لدى الذكور والإناث.
نصف الحالات يكون الانحناء نحو اليمين والنصف الآخر نحو اليسار.
النوع الثاني:
يظهر أسفل الحداب، في المناطق التي يحاول الجسم تعويض الانحناء الأمامي.
متوسط زاوية الانحناء حوالي 16 درجة.
أكثر شيوعًا لدى الإناث.
غالبًا يكون الانحناء نحو اليمين.
لماذا يعتبر تزامن اعوجاج العمود الفقري وحداب شويرمان معا مهمًا؟
وجود حداب واعوجاج معًا يشير إلى خلل شامل في استقامة العمود الفقري وتوزيع الأحمال عليه. هذا يعني أن كلا الانحناءين قد يكونان ناتجين عن نفس المشكلة الأساسية في نمو الفقرات أو ضعف العضلات الداعمة للظهر. إذا تُركت دون علاج، يمكن أن تتفاقم الانحناءات، مما يزيد من احتمالية ظهور الألم المزمن أو الحاجة للتدخل الجراحي في المستقبل.

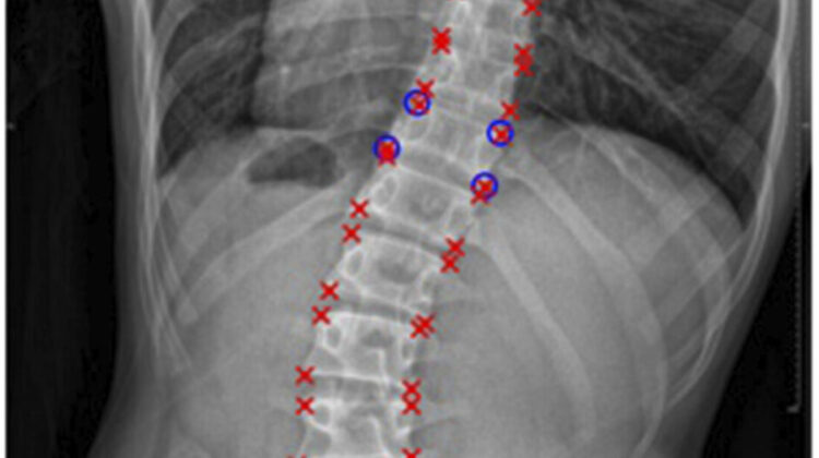
أهمية التشخيص المبكر لاعوجاج العمود الفقري وحداب شويرمان
التشخيص المبكر يلعب دورًا حيويًا في حماية الطفل من تفاقم الانحناءات. عند ملاحظة أي تغير في استقامة ظهر الطفل، أو شك الطبيب بوجود حداب شويرمان، يُنصح بإجراء فحص إشعاعي دقيق يشمل:
تحديد نوع الانحناء وموقعه.
قياس شدة الانحناء بدقة.
وضع خطة علاجية مناسبة قبل تفاقم الحالة.
هذا الفحص يساعد الطبيب على معرفة إذا كان هناك اعوجاج جانبي مصاحب للحداب، وهو أمر أساسي لتحديد العلاج الأمثل.
خيارات علاج اعوجاج العمود الفقري وحداب شويرمان معًا
علاج الحداب المصحوب بالاعوجاج الجانبي يحتاج إلى خطة شاملة تركز على تعديل شكل العمود الفقري وتقوية العضلات الداعمة له. عادةً تبدأ الخطط العلاجية بطرق غير جراحية، مثل:
العلاج الطبيعي المتخصص:
تمارين شروث (Schroth) تعمل على تحسين استقامة العمود الفقري من جميع الاتجاهات.
تقوية عضلات الظهر والبطن لدعم العمود الفقري.
تحسين التوازن الحركي لتوزيع الوزن بشكل صحيح أثناء الحركة اليومية.
يُستخدم لدعم الانحناء ومنع تفاقمه أثناء النمو السريع.
يساهم في تصحيح الانحناء تدريجيًا عند ارتدائه بانتظام وفق تعليمات الطبيب.
إذا لاحظتِ علامات انحناء في ظهر طفلك، أو لاحظتِ عدم تماثل بين الجانبين، فلا تتردد الأن في استشارة مجانيه من طبيب متخصص.
تعديل الأنشطة البدنية:
تجنب الأنشطة التي تزيد الضغط على العمود الفقري في فترة النمو السريع.
تشجيع الرياضة المناسبة التي تقوي العضلات وتحافظ على مرونة العمود الفقري.
إذا زادت درجة الانحناء بسرعة أو ظهرت أعراض مثل الألم الشديد أو صعوبة التنفس، قد يقترح الطبيب تدخلًا جراحيًا لتصحيح الانحناء وحماية صحة الطفل.
دور الأهل في متابعة اعوجاج العمود الفقري وحداب شويرمان
الأهل لهم دور أساسي في نجاح العلاج ومراقبة تطور الحالة:
تشجيع الطفل على الجلوس والوقوف بوضعية صحية.
متابعة شكل الظهر بانتظام وإبلاغ الطبيب عند أي تغير.
الالتزام بجدول المتابعة الطبية والتمارين المنزلية.
طرح أسئلة على الطبيب حول درجة الانحناء وتطور الحالة بين الزيارات.
تعزيز النشاط البدني المعتدل والمناسب لعمر الطفل.
إذا لاحظتِ علامات انحناء في ظهر طفلك، أو لاحظتِ عدم تماثل بين الجانبين، فلا تتردد الأن في استشارة مجانيه من طبيب متخصص.
نصائح عملية للحماية من تفاقم اعوجاج العمود الفقري وحداب شويرمان
متابعة جلسات العلاج الطبيعي أو حزام اعوجاج العمود الفقري.
تشجيع الطفل على ممارسة تمارين تقوية الظهر والبطن يوميًا.
مراقبة استخدام الأجهزة الإلكترونية لفترات طويلة مع الاهتمام بوضعية الجلوس.
توفير بيئة مدرسية ومنزلية تدعم القوام الصحي للطفل.
- التأكد من ارتداء حزام اعوجاج العمود الفقري بالطريقة الصحيحة.

إذا لاحظتِ علامات انحناء في ظهر طفلك، أو لاحظتِ عدم تماثل بين الجانبين، فلا تتردد الأن في استشارة مجانيه من طبيب متخصص.
الخلاصة
تزامن اعوجاج العمود الفقري وحداب شويرمان ليس حالة نادرة، بل يشير إلى خلل في نمو العمود الفقري أو توزيع الأحمال عليه. التشخيص المبكر، العلاج غير الجراحي مثل التمارين وحزام اعوجاج العمود الفقري، والمتابعة الدقيقة من الأهل والطبيب، هي المفتاح للحد من تطور الانحناءات، حماية صحة الطفل، وتحسين مظهر ظهره وثقته بنفسه.
الاعوجاج حالة مستمرة ولهذا السب قد تحتاج تدخلًا في مراحل مختلفة من العمر. وبفضل وجود تقنيات التصنيف المعتمدة ، يمكن للأطباء تصميم خطة علاجية مخصصة تضمن تدخلاً جراحيًا عند الضرورة أو العلاج غير الجراحي قبل ذلك، لتفادي الاضطراب في الوظائف التنفسية أو أي أعراض متأخرة. فريقنا المحترف يضم نخبة من الأطباء والمتخصصين الذين يجمعون بين الخبرة والاحترافية لتقديم خطة علاجية غيرر جراحيه شاملة ومخصصة لحالتك، تضمن السيطرة على الانحناء ومنع زيادته.

لا تسمح لاعوجاج العمود الفقري بأن يؤثر على صحتك أو يسبب مضاعفات مستقبلية خطيرة،. مع مركز الرواد، أنت في أيدٍ أمينة، نعتمد على أحدث الأساليب العالمية لتصنيف الحالة ووضع خطة علاج دقيقة تناسب كل مرحلة عمرية.
لماذا يجب عليكم اختيار مركز الرواد لتأهيل وعلاج اعوجاج العمود الفقري؟
خبرة متميزة وفريق متخصص: يضم المركز نخبة من الأخصائيين ذوي الخبرة في علاج حالات اعوجاج العمود الفقري لدى الأطفال والمراهقين.
خطط علاجية مخصصة: نوفر برامج علاجية مصممة خصيصًا لكل حالة لضمان أفضل النتائج دون الحاجة للجراحة.
أحدث التقنيات العالمية: نعتمد على تقنيات حديثة مثل أجهزة التقييم الدقيقة وأحزمة التقويم المتقدمة مثل PioBrace.

رعاية شاملة ودعم أسري: نحرص على توفير بيئة علاجية آمنة، مع تقديم الإرشادات اللازمة للأهل لدعم رحلة الطفل العلاجية بكل ثقة واطمئنان.
إن تأخير العلاج قد يؤدي إلى مضاعفات كبيرة، لذا لا تتردد في اتخاذ القرار الصحيح الآن!

احجز استشارتك المجانيه الآن، ودعنا نساعدك لتحقيق أفضل نتيجة ممكنة، بأقل ألم وأعلى راحة
لا تدع الفرصة تفوتك للحصول على رعاية طبية متميزة، وابدأ الان رحلتك نحو التعافي الكامل مع مركز الرواد.

احجز تقييمك المجاني اليوم
اتصل بنا مباشرة على الرقم: 01044299365
أو احجز الان عبر موقعنا الإلكتروني
مواعيد مرنة – فريق طبي متخصص – استشارة مجانية تمامًا
قرارك اليوم… راحة وأمان غدًا
لا تترك الشكوك تؤخرك، اتخذ الخطوة الصحيحة الآن. ابدأ رحلة التعافي المبكر، وامنح فرصة للحياه بثقة .
تستحق الأفضل… فابدأ من اليوم!
احجز الآن ….




