اعوجاج العمود الفقري العصبي العضلي عند الأطفال: الأسباب، الأعراض، وطرق العلاج الحديثة

اعوجاج العمود الفقري العصبي العضلي عند الأطفال: الأسباب، الأعراض، وطرق العلاج الحديثة

يُعد اعوجاج العمود الفقري العصبي العضلي من أكثر أنواع الجنف (انحناء العمود الفقري) تعقيدًا، ويأتي في المرتبة الثانية من حيث الشيوع بعد الاعوجاج مجهول السبب. هذا النوع يرتبط غالبًا بوجود أمراض تؤثر على الأعصاب أو العضلات مثل الشلل الدماغي، ضمور العضلات الشوكي، الحثل العضلي (دوشين)، السنسنة المشقوقة أو إصابات الحبل الشوكي.

في هذا المقال ستجد إجابة واضحة عن أهم الأسئلة التي قد تدور في ذهنك: ما هو هذا النوع من الاعوجاج؟ ما أسبابه وأعراضه؟ كيف يتم تشخيصه؟ وما هي أبرز الحلول الحديثة لعلاجه؟


ما هو اعوجاج العمود الفقري العصبي العضلي؟

يحدث هذا النوع من الاعوجاج عندما تفقد العضلات والأعصاب وظيفتها في دعم العمود الفقري والحفاظ على استقامته. فعندما تضعف العضلات أو تفقد التنسيق بسبب مرض عصبي أو عضلي، يبدأ العمود الفقري في الميل تدريجيًا، وقد يتطور بسرعة خاصة أثناء مرحلة النمو.


ما الأمراض التي تسبب اعوجاج العمود الفقري العصبي العضلي؟

من أبرز الأمراض التي ترتبط بظهور الاعوجاج العصبي العضلي:

  • الشلل الدماغي: يؤدي إلى تيبس أو ضعف العضلات مما يسبب عدم توازن العمود الفقري.

  • ضمور العضلات الشوكي: يضعف الأعصاب ويقلل قدرة العضلات على دعم الجذع.

  • الحثل العضلي (مثل دوشين): يسبب تدهورًا تدريجيًا في قوة العضلات.

  • السنسنة المشقوقة: خلل في تكوين الحبل الشوكي يؤثر على استقرار العمود الفقري.

  • إصابات الحبل الشوكي: قد تسبب شللًا أو ضعفًا يؤثر مباشرة على وضعية الظهر.

إذا لاحظتِ علامات انحناء في ظهر طفلك، أو لاحظتِ عدم تماثل بين الجانبين، فلا تترددي في استشارة مجانيه من طبيب متخصص.


ما الفرق بين الأنواع الرئيسية لاعوجاج العمود الفقري؟

  • اعوجاج مجهول السبب: يظهر غالبًا في المراهقة ولا يكون له سبب واضح.

  • اعوجاج خلقي: ينتج عن تشوهات في الفقرات منذ الولادة.

  • اعوجاج عصبي عضلي: يحدث بسبب أمراض الأعصاب أو العضلات، ويتميز بكونه أكثر حدة وسرعة في التطور.


ما هي أعراض اعوجاج العمود الفقري العصبي العضلي؟

من العلامات التي يجب أن ينتبه لها الأهل:

  • انحناء واضح في الظهر أو الجذع عند الجلوس أو الوقوف.

  • عدم تساوي الكتفين أو ميل الحوض.

  • بروز أحد لوحي الكتف بشكل ملحوظ.

  • اعتماد الطفل على ذراعيه للتوازن أثناء الجلوس.

  • صعوبة الجلوس لفترة طويلة بدون دعم خارجي.

  • ميل الرأس بشكل غير طبيعي عن مركز الجسم.

إذا لاحظتِ علامات انحناء في ظهر طفلك، أو لاحظتِ عدم تماثل بين الجانبين، فلا تترددي في استشارة مجانيه من طبيب متخصص.


كيف يتم تشخيص اعوجاج العمود الفقري العصبي العضلي؟

  1. الفحص السريري: الطبيب يقيم توازن الجذع، قوة العضلات، ووضعية العمود الفقري.

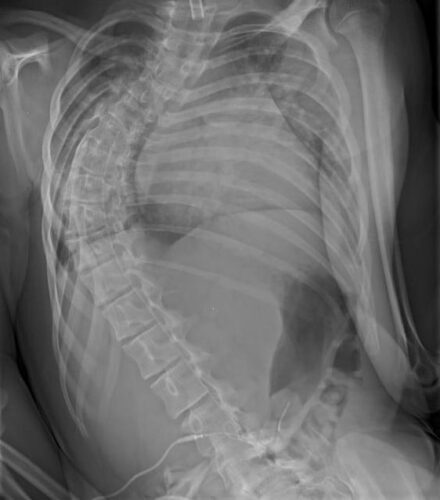
  2. الأشعة السينية (X-ray): لقياس درجة الانحناء بدقة باستخدام زاوية كوب.

  3. الرنين المغناطيسي (MRI): يكشف تفاصيل الحبل الشوكي والأعصاب.

  4. التصوير ثلاثي الأبعاد (3D CT): يُستخدم في التخطيط للجراحات المعقدة.


ما هي طرق العلاج الحديثة لأعوجاج العمود الفقري العصبي العضلي؟

أولًا: العلاجات غير الجراحية

  • العلاج الطبيعي: يهدف لتقوية عضلات الجذع وتحسين التوازن.

  • الداعمة: تساعد الطفل على الجلوس بشكل أفضل وتخفف الضغط على العمود الفقري.

إذا لاحظتِ علامات انحناء في ظهر طفلك، أو لاحظتِ عدم تماثل بين الجانبين، فلا تترددي في استشارة مجانيه من طبيب متخصص.

ثانيًا: العلاجات الجراحية

  • تثبيت الفقرات (Spinal Fusion): يُستخدم لتثبيت العمود الفقري ومنع زيادة الانحناء.

  • التقنيات الحديثة: مثل الجراحة طفيفة التوغل والتوجيه ثلاثي الأبعاد، والتي تقلل من الألم وتسرّع التعافي.


لماذا يُعد التدخل المبكر مهمًا؟

  • يساعد على تحسين توازن الجلوس وقدرة الطفل على ممارسة حياته اليومية.

  • يقلل من تطور التشوهات الجسدية.

  • يزيد من فرص الاستقلالية والحركة دون مساعدة.

  • يقلل من احتمالية الحاجة إلى جراحات معقدة مستقبلًا.

إذا لاحظتِ علامات انحناء في ظهر طفلك، أو لاحظتِ عدم تماثل بين الجانبين، فلا تترددي في استشارة مجانيه من طبيب متخصص.


الخلاصة

اعوجاج العمود الفقري العصبي العضلي حالة طبية معقدة لكنها قابلة للسيطرة عند التشخيص المبكر واتباع خطة علاج مناسبة. الجمع بين العلاج الطبيعي والدعامات وبين التقنيات الجراحية الحديثة يساهم في تحسين حياة الطفل بشكل ملحوظ.

لا تنتظر حتى يتفاقم اعوجاج العمود الفقري ويصبح من الصعب علاجه!
في مركز الرواد للعلاج الطبيعي، نقدم لك فرصة حقيقية للسيطرة على الحالة قبل أن تتدهور. فريقنا المتخصص يستخدم أحدث الأساليب غير الجراحية لتخفيف الألم، تحسين شكل العمود الفقري، واستعادة الثقة بالنفس. كل يوم تأخير قد يعني زيادة الانحراف وظهور أعراض جديدة مثل صعوبة التنفس أو آلام مزمنة في الظهر. ابدأ الآن، وامنح نفسك أفضل فرصة للشفاء السريع والفعال.

لماذا يجب عليكم اختيار مركز الرواد لتأهيل وعلاج اعوجاج العمود الفقري؟

خبرة متميزة وفريق متخصص: يضم المركز نخبة من الأخصائيين ذوي الخبرة في علاج حالات اعوجاج العمود الفقري لدى الأطفال والمراهقين.
خطط علاجية مخصصة: نوفر برامج علاجية مصممة خصيصًا لكل حالة لضمان أفضل النتائج دون الحاجة للجراحة.

أحدث التقنيات العالمية: نعتمد على تقنيات حديثة مثل أجهزة التقييم الدقيقة وأحزمة التقويم المتقدمة مثل PioBrace-Nu .


رعاية شاملة ودعم أسري: نحرص على توفير بيئة علاجية آمنة، مع تقديم الإرشادات اللازمة للأهل لدعم رحلة الطفل العلاجية بكل ثقة واطمئنان.

احجز استشارتك اليوم، لأن التدخل المبكر هو مفتاح العلاج الناجح.

📲 اتصل بنا مباشرة على الرقم01044299365
🌐 أو احجز عبر موقعنا الإلكتروني
🕒 مواعيد مرنة – فريق طبي متخصص – استشارة مجانية تمامًا

 قرارك اليوم… راحة وأمان غدًا

لا تترك الشكوك تؤخرك، اتخذ الخطوة الصحيحة الآن. ابدأ رحلة التعافي المبكر، وامنح فرصة للحياه بثقة .

✨  تستحق الأفضل… فابدأ من اليوم!

احجز الآن ….

اترك تعليقا

لن يتم نشر عنوان بريدك الإلكتروني. الحقول الإلزامية مشار إليها بـ *

*
*