
اختلال التوازن الجانبي للعمود الفقري: أسبابه، أعراضه، وطرق العلاج دليل مبسط للأهل
اختلال التوازن الجانبي للعمود الفقري: أسبابه، أعراضه، وطرق العلاج دليل مبسط للأهل
مقدمة
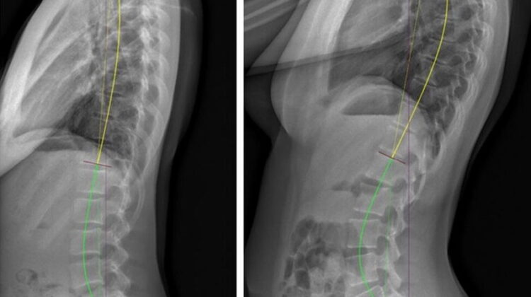
يعاني بعض البالغين من تشوهات العمود الفقري تؤدي إلى ميل جانبي للظهر، وهو ما يُعرف بـ اختلال التوازن الجانبي أو الانحراف الجانبي للعمود الفقري. على الرغم من أن الأطباء والباحثين يركزون عادة على الانحناء الأمامي والخلفي للظهر، فإن الميل الجانبي غالبًا ما يُهمل، رغم تأثيره الكبير على الحركة، الراحة، والمظهر العام للجسم.
اختلال التوازن الجانبي يمكن أن يسبب ألمًا شديدًا وصعوبة في أداء الأنشطة اليومية، خاصة عند المرضى الذين تتطور لديهم مشكلات العمود الفقري المستمرة أو الجنف عند البالغين. فهم نوع الانحراف الجانبي يساعد الطبيب على اختيار أفضل خطة علاجية أو جراحية لضمان استقامة أفضل للعمود الفقري وتحسين جودة الحياة.
لماذا يعتبر التوازن الجانبي للعمود الفقري مهمًا؟
عندما يكون العمود الفقري غير متوازن من الناحية الجانبية، يحدث ما يلي:

ضغط غير متساوٍ على الفقرات والمفاصل.
إجهاد العضلات على أحد جانبي الجسم أكثر من الآخر.
تغير وضعية الحوض والمشي بطريقة غير طبيعية.
زيادة احتمالية ظهور ألم الظهر المزمن.
لذلك، علاج هذا الاختلال يهدف إلى إعادة التوازن للعمود الفقري لتقليل الألم وتحسين الحركة والمظهر العام.
كيفيه تصنيف اختلال التوازن الجانبي للعمود الفقري؟
الأطباء حددوا نوعين رئيسيين من اختلال التوازن الجانبي:
الانحراف الجانبي للداخل (Concave CM): حيث يكون الجزء المائل من العمود الفقري موجهًا نحو الداخل بالنسبة للحوض.
الانحراف الجانبي للخارج (Convex CM): حيث يكون الجزء المائل من العمود الفقري موجهًا نحو الخارج بالنسبة للحوض.

كل نوع له طريقة علاج مختلفة، ويعتمد اختيار العلاج على شدة الانحراف وحالة المفاصل والعضلات المحيطة بالعمود الفقري.
إذا لاحظتِ علامات انحناء في ظهر طفلك، أو لاحظتِ عدم تماثل بين الجانبين، فلا تتردد الأن في استشارة مجانيه من طبيب متخصص.
ما هي العوامل المؤثرة في اختيار علاج الأختلال الجانبي للعمود الفقري؟
قبل تحديد خطة العلاج أو الجراحة، يدرس الطبيب بعض العوامل التي تؤثر على النتائج، مثل:
مرونة الانحناء الجانبي: هل يمكن تعديل الانحناء بسهولة أم أن العمود الفقري صار صلبًا؟
حركة مفصل الحوض والفقرات السفلية: هذه المنطقة تحدد مدى قدرة العمود الفقري على التوازن.
تلف المفاصل أو الغضاريف: وجود تآكل أو مشاكل في مفصل الحوض والفقرات السفلية قد يغير طريقة العلاج.
هذه العوامل تساعد الطبيب على اختيار أفضل نقطة لتصحيح الانحراف، سواء عند قمة الانحناء الرئيسي أو عند الحوض والفقرات السفلية.

كيف يتم علاج الانحراف الجانبي للعمود الفقري؟
في حالة الانحراف الجانبي للداخل (Concave CM)
العلاج يركز على تصحيح الانحراف عند قمة الانحناء.
الهدف هو إعادة العمود الفقري لوضع مستقيم نسبيًا لتخفيف الضغط على العضلات والمفاصل.
في حالة الانحراف الجانبي للخارج (Convex CM)
العلاج يركز على تصحيح الانحراف عند الحوض والفقرات السفلية.
الهدف هو تحسين توازن الجسم عند قاعدة العمود الفقري لتقليل الميل الجانبي.
ما هو دور التمارين والعلاج الطبيعي في تسحين الاختلال الجانبي للعمود الفقري؟
قبل اللجوء للجراحة، يمكن أن تساعد التمارين والعلاج الطبيعي في:
تقوية العضلات التي تدعم العمود الفقري.
تحسين مرونة الفقرات والحوض.
تقليل الألم وتحسين التوازن أثناء المشي والجلوس.

التمارين وحدها قد لا تصلح لجميع الحالات، خاصة إذا كان الانحراف شديدًا أو مرتبطًا بتلف المفاصل، لكنها جزء أساسي من خطة العلاج الشاملة.
إذا لاحظتِ علامات انحناء في ظهر طفلك، أو لاحظتِ عدم تماثل بين الجانبين، فلا تتردد الأن في استشارة مجانيه من طبيب متخصص.
متى يُنصح بالجراحة لعلاج الاختلال الجانبي للعمود الفقري؟
الجراحة تكون ضرورية عند:
فشل العلاج الطبيعي والتمارين في تحسين التوازن.
استمرار الألم أو زيادة الانحراف رغم العلاج.
وجود مشاكل في الحوض أو مفاصل العمود الفقري تمنع التصحيح غير الجراحي.

إذا لاحظتِ علامات انحناء في ظهر طفلك، أو لاحظتِ عدم تماثل بين الجانبين، فلا تتردد الأن في استشارة مجانيه من طبيب متخصص.
الخلاصة
اختلال التوازن الجانبي للعمود الفقري شائع عند البالغين المصابين بالجنف أو تشوهات العمود الفقري.
تصنيف الانحراف الجانبي إلى الداخل أو الخارج يساعد الأطباء على وضع خطة علاجية دقيقة.
العوامل مثل مرونة الانحناء وحالة مفصل الحوض تؤثر على نتائج العلاج.
التمارين والعلاج الطبيعي تحسن دعم العمود الفقري وتقلل الألم، بينما الجراحة تكون الخيار الأمثل عند الحالات المتقدمة.
الاعوجاج حالة مستمرة ولهذا السب قد تحتاج تدخلًا في مراحل مختلفة من العمر. وبفضل وجود تقنيات التصنيف المعتمدة ، يمكن للأطباء تصميم خطة علاجية مخصصة تضمن تدخلاً جراحيًا عند الضرورة أو العلاج غير الجراحي قبل ذلك، لتفادي الاضطراب في الوظائف التنفسية أو أي أعراض متأخرة. فريقنا المحترف يضم نخبة من الأطباء والمتخصصين الذين يجمعون بين الخبرة والاحترافية لتقديم خطة علاجية غيرر جراحيه شاملة ومخصصة لحالتك، تضمن السيطرة على الانحناء ومنع زيادته.

لا تسمح لاعوجاج العمود الفقري بأن يؤثر على صحتك أو يسبب مضاعفات مستقبلية خطيرة،. مع مركز الرواد، أنت في أيدٍ أمينة، نعتمد على أحدث الأساليب العالمية لتصنيف الحالة ووضع خطة علاج دقيقة تناسب كل مرحلة عمرية.
لماذا يجب عليكم اختيار مركز الرواد لتأهيل وعلاج اعوجاج العمود الفقري؟
خبرة متميزة وفريق متخصص: يضم المركز نخبة من الأخصائيين ذوي الخبرة في علاج حالات اعوجاج العمود الفقري لدى الأطفال والمراهقين.
خطط علاجية مخصصة: نوفر برامج علاجية مصممة خصيصًا لكل حالة لضمان أفضل النتائج دون الحاجة للجراحة.
أحدث التقنيات العالمية: نعتمد على تقنيات حديثة مثل أجهزة التقييم الدقيقة وأحزمة التقويم المتقدمة مثل PioBrace.

رعاية شاملة ودعم أسري: نحرص على توفير بيئة علاجية آمنة، مع تقديم الإرشادات اللازمة للأهل لدعم رحلة الطفل العلاجية بكل ثقة واطمئنان.
إن تأخير العلاج قد يؤدي إلى مضاعفات كبيرة، لذا لا تتردد في اتخاذ القرار الصحيح الآن!

احجز استشارتك الآن، ودعنا نساعدك لتحقيق أفضل نتيجة ممكنة، بأقل ألم وأعلى راحة
لا تدع الفرصة تفوتك للحصول على رعاية طبية متميزة، وابدأ رحلتك نحو التعافي الكامل مع مركز الرواد.

احجز تقييمك المجاني اليوم
اتصل بنا مباشرة على الرقم: 01044299365
أو احجز عبر موقعنا الإلكتروني
مواعيد مرنة – فريق طبي متخصص – استشارة مجانية تمامًا
قرارك اليوم… راحة وأمان غدًا
لا تترك الشكوك تؤخرك، اتخذ الخطوة الصحيحة الآن. ابدأ رحلة التعافي المبكر، وامنح فرصة للحياه بثقة .
تستحق الأفضل… فابدأ من اليوم!
احجز الآن ….




