
أهمية العلاج بالخوذة لتصحيح تسطّح الرأس وعدم التماثل في الوجه عند الرضع
أهمية العلاج بالخوذة لتصحيح تسطّح الرأس وعدم التماثل في الوجه عند الرضع
يُعاني كثير من الأطفال الرضع من مشكلة تسطّح الرأس الموضعي أو ما يُعرف طبيًا بـ تشوّه الجمجمة الموضعي. تحدث هذه المشكلة غالبًا بسبب النوم لفترات طويلة على جانب واحد من الرأس، مما يؤدي إلى ظهور جانب مسطّح أكثر من الآخر، وقد يظهر معه بعض التغيرات مثل بروز الجبهة أو الأذن أو الخد. ورغم أن الأمر قد يبدو بسيطًا في البداية، إلا أنّ القلق على مظهر الطفل وتناسق وجهه أمر طبيعي عند كل الأهل.
من أكثر الطرق الطبية شيوعًا وفعالية لعلاج هذه المشكلة: العلاج بالخوذة الطبية، الذي أثبت نجاحه في إعادة تشكيل الجمجمة وتحسين تناسق الوجه. في هذا المقال، سنجيب عن الأسئلة التي تدور في ذهن الأهل حول فعالية العلاج، أفضل وقت للبدء به، مدته، أمانه، وتجربته العملية.
كيف يساعد العلاج بالخوذة في تصحيح تسطّح الرأس وعدم تماثل الوجه؟
الخوذة الطبية تُصمَّم خصيصًا لرأس كل طفل. تعمل من خلال ضغط لطيف ومتوازن على مناطق محددة من الجمجمة، مع ترك مساحات فارغة في المناطق المسطّحة لتسمح بنمو طبيعي. بهذه الطريقة، يُعاد توزيع نمو الرأس تدريجيًا ليصبح أكثر تناسبًا وتناظرًا.
ولا يقتصر دور الخوذة على شكل الرأس فقط، بل يساعد العلاج أيضًا في تحسين ملامح الوجه مثل توازن الجبهة والخد والأذن، مما يُعطي مظهرًا أكثر تناسقًا للطفل.
متى يجب البدء بالعلاج بخوذة الرأس المسطح؟
السؤال الأكثر شيوعًا بين الأهل: متى أبدأ العلاج لطفلي؟
الدراسات تؤكد أنّ العمر المبكر هو العامل الأهم في نجاح العلاج.
قبل 6 أشهر: أفضل وقت، حيث تكون الجمجمة ما زالت في مرحلة نمو سريع، وبالتالي تكون النتائج ممتازة.
من 6 أشهر إلى سنة: ما زال العلاج فعالًا جدًا، لكن سرعة الاستجابة قد تقل قليلًا مقارنة بالأطفال الأصغر سنًا.
بعد السنة: تقل مرونة الجمجمة وتصبح النتائج أبطأ، لكن العلاج ما زال يُحدث تحسنًا ملحوظًا.

إذن، كلما كان التدخل مبكرًا، زادت فرص التصحيح الكامل.
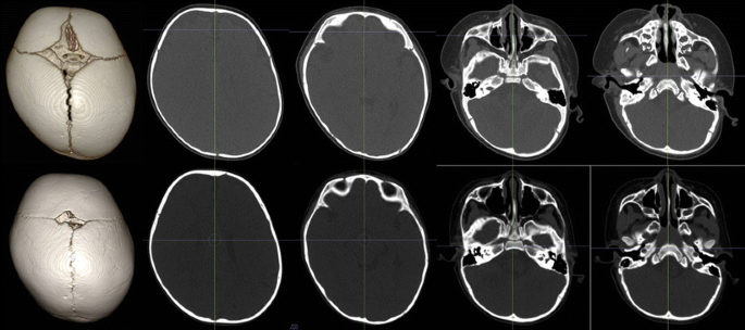
كيف يقيس الأطباء فعالية العلاج بخوذة الرأس المسطح؟
يعتمد الأطباء على فحوصات دقيقة لتقييم حالة الطفل قبل وأثناء العلاج، من أهمها:
مؤشر عدم التماثل عند مستوى الحافة السفلية للحجاج (CVAIIOR-MF).
مؤشر عدم التماثل عند الحافة العلوية للحجاج (CVAISOR-LC).
مؤشر عدم التماثل في الجزء العلوي من الرأس (CVAIMID-UC).
قياسات الأذن (D EAR) لتحديد تموضع الأذن بدقة.

هذه المؤشرات تسمح للأطباء بمتابعة تحسن شكل الجمجمة والوجه بشكل موضوعي، وتؤكد أن العلاج يُحقق نتائج واضحة، خاصة عند البدء قبل عمر السنة.
إذا لاحظتِ أي علامات تسطح واضح أو عدم تناظرفي شكل الرأس، فمن الأفضل استشارة طبيب الأطفال مجانا لتقييم طفلك.
هل يمكن علاج الرأس المسطح بالخوذه بعد سنة؟
نعم، يظل العلاج فعالًا حتى بعد عمر السنة. صحيح أنّ أفضل النتائج تُلاحظ عند الأطفال الأصغر سنًا، لكن الأطفال الأكبر من سنة استفادوا أيضًا من العلاج بدرجات جيدة. لذلك، إذا لاحظ الأهل وجود تسطّح أو عدم تماثل في رأس الطفل، من الأفضل استشارة الطبيب وعدم تأجيل التدخل.
كم تستغرق فترة علاج الرأس المسطح؟
تختلف مدة العلاج حسب عمر الطفل ودرجة التسطّح:
في الحالات الخفيفة: قد تستغرق حوالي 3 أشهر.
في الحالات المتوسطة إلى الشديدة: قد تمتد المدة إلى 6 أشهر أو أكثر.

خلال هذه الفترة، تتم متابعة الطفل دوريًا لضبط الخوذة حسب نمو الرأس وضمان أفضل النتائج.
إذا لاحظتِ أي علامات تسطح واضح أو عدم تناظرفي شكل الرأس، فمن الأفضل استشارة طبيب الأطفال مجانا لتقييم طفلك.
هل العلاج بخوذة الرأس المسطح آمن للأطفال؟
الإجابة: نعم.
العلاج آمن تمامًا إذا كان تحت إشراف طبي متخصص. فالخوذة لا تمنع نمو الرأس الطبيعي، بل تُعيد توجيه هذا النمو ليصبح أكثر تناسقًا.
في مراكز متخصصة مثل مركز الرواد للتأهيل، يتم استخدام أجهزة متطورة لتصميم خوذة مخصصة لكل طفل، مع متابعة دقيقة لمراحل العلاج. هذا يضمن أمان الطفل وراحة الأهل ونتائج مضمونة.
أسئلة شائعة عن علاج الرأس المسطح
🔹 هل يمكن أن يختفي التسطّح تمامًا؟
في معظم الحالات، خاصة عند البدء المبكر، يعود الرأس إلى شكل طبيعي أو قريب جدًا من الطبيعي.
🔹 هل يجب أن يرتدي الطفل الخوذة طوال اليوم؟
عادةً يُوصى باستخدامها من 20 إلى 23 ساعة يوميًا للحصول على أفضل النتائج.
🔹 هل يمكن دمج العلاج بالخوذة مع طرق أخرى؟
نعم، يُنصح بإجراء تمارين علاج طبيعي وتغيير وضعية نوم الطفل بانتظام.
🔹 متى تظهر النتائج الأولى؟
غالبًا تبدأ التحسينات بالظهور خلال 4 إلى 6 أسابيع من الاستخدام المنتظم.
🔹 هل هناك بدائل للخوذة؟
في الحالات الخفيفة جدًا، قد يكون تغيير أوضاع النوم كافيًا. لكن عند وجود تشوه متوسط أو شديد، تظل الخوذة هي الخيار الأفضل.

إذا لاحظتِ أي علامات تسطح واضح أو عدم تناظرفي شكل الرأس، فمن الأفضل استشارة طبيب الأطفال مجانا لتقييم طفلك.
نصائح مهمة للأهل لنجاح علاج تسطح الرأس
ابدأوا العلاج مبكرًا ولا تؤجلوا التدخل.
التزموا بمدة الاستخدام اليومية التي يوصي بها الطبيب.
تابعوا بانتظام مع الفريق الطبي لضبط الخوذة.
احرصوا على النظافة اليومية للخوذة وبشرة الطفل لتجنب التهيجات.
لا تهملوا العلاج الطبيعي، فهو يساعد في تقوية عضلات الرقبة والوقاية من عودة المشكلة.
تحلّوا بالصبر، فالتحسن تدريجي ويحتاج وقتًا.

إذا لاحظتِ أي علامات تسطح واضح أو عدم تناظرفي شكل الرأس، فمن الأفضل استشارة طبيب الأطفال مجانا لتقييم طفلك.
الخلاصة
إن العلاج بالخوذة لتصحيح تسطّح الرأس عند الرضع خيار طبي آمن وفعّال. النجاح يعتمد أساسًا على العمر الذي يبدأ فيه العلاج ودرجة التشوه الأولية.
كلما كان التدخل مبكرًا، زادت فرص استعادة الشكل الطبيعي للرأس.
حتى بعد عمر السنة، يظل العلاج مفيدًا ويُحدث تحسنًا ملحوظًا.
الأمان مضمون عند التنفيذ في مراكز متخصصة وتحت إشراف طبي.
يساعد العلاج بالخوذة في تصحيح تسطح الرأس الموضعي وعدم التماثل في الوجه لدى الأطفال الرضع بشكل فعّال في مركز الرواد، نحرص على تقديم الرعاية الطبية المثلى لكم ولطفلكم من خلال خبرة طبية متميزة وتقنيات متطورة لضمان نتائج آمنة وفعّالة.

لا تنتظر حتى تزداد المشكلة، فكل يوم يمر في الأشهر الأولى من حياة الطفل مهم جدًا.
كلما بادرت في اكتشاف المشكلة واستخدام الوسيلة العلاجية المناسبة، خاصة خوذة التشكيل، زادت فرص التصحيح الكامل دون الحاجة لأي تدخل جراحي.
ابدأ الآن بخطوة بسيطة: استشر طبيبًا مختصًا فور ملاحظة أي انحراف بسيط في شكل رأس طفلك، فالوقاية دائمًا خير من العلاج.

غالبية حالات تشوه مؤخرة الرأس قابلة للعلاج بطرق بسيطة وفعالة دون الحاجة للجراحة، خاصة عند البدء المبكر في العلاج.
التدخل المبكر هو العامل الحاسم لتفادي التشوهات الدائمة التي قد تؤثر على نموه وثقته بنفسه مستقبلاً.تصحيح شكل الرأس، يعتمد على أحدث الطرق الطبية الآمنة والفعالة، لضمان نتائج ملموسة بدون أي مخاطر صحية. لنضمن لطفلكم أفضل فرصة لتحقيق نمو طبيعي وشكل متناسق للرأس، وحياة صحية ومستقرة. لأن صحة طفلكم وجماله أولوية قصوى، ونحن شركاؤكم في هذه الرحلة.

لماذا يختار الآباء خوذة PioHelmet لأطفالهم؟

تصميم مخصص لكل طفل لضمان نتائج دقيقة وآمنة
فعالية مثبتة في تصحيح تسطح الرأس خلال أشهر قليلة
خامات مريحة وملائمه تُناسب بشرة الرضع الحساسة
دعم طبي مستمر من أخصائيين في تعديل شكل الجمجمة
نتائج جمالية ووظيفية تدوم مدى الحياة دون الحاجة لتدخلات لاحقة

لا تؤجّل القرار… كل يوم يمر يصنع فرقًا
فعالية العلاج تكون أعلى في الأشهر الأولى من عمر الطفل. بعد الشهر الرابع عشر، تبدأ الجمجمة في التصلّب ويصعب تصحيح الشكل.
العلاج المبكر قد يعيد لطفلك شكل رأسه الطبيعي ويجنّبه صعوبات مستقبلية

لا تدع الفرصة تفوتك للحصول على رعاية طبية متميزة، وابدأ رحلتك نحو التعافي الكامل مع مركز الرواد.
اتصل بنا مباشرة على الرقم: 01044299365
أو احجز عبر موقعنا الإلكتروني
مواعيد مرنة – فريق طبي متخصص – استشارة مجانية تمامًا
قرارك اليوم… راحة وأمان لطفلك غدًا

لا تترك الشكوك تؤخرك، اتخذ الخطوة الصحيحة الآن. ابدأ رحلة العلاج المبكر، وامنح طفلك فرصة للنمو بثقة وشكل طبيعي.
طفلك يستحق الأفضل… فابدأ معه من اليوم!
احجز الآن ….




