
أفضل العلاجات غير الجراحية لاعوجاج العمود الفقري: دليلك لتقويم الظهر بدون جراحة
أفضل العلاجات غير الجراحية لاعوجاج العمود الفقري
يُعد اعوجاج العمود الفقري، أو ما يُعرف طبيًا بـ”الجنف”، من الحالات الشائعة التي تصيب الأطفال والمراهقين، وقد تستمر أحيانًا حتى سن البلوغ. ورغم أن بعض الحالات الشديدة قد تحتاج إلى تدخل جراحي، فإن الغالبية يمكن علاجها أو السيطرة عليها بطرق غير جراحية فعالة وآمنة.
في هذا المقال، نُقدم للأهل والمرضى دليلاً شاملاً لأفضل العلاجات البديلة والغير جراحية للجنف، مع إجابة على أكثر الأسئلة شيوعًا، وبأسلوب مبسط يناسب جميع الأعمار.
ما هو الجنف؟
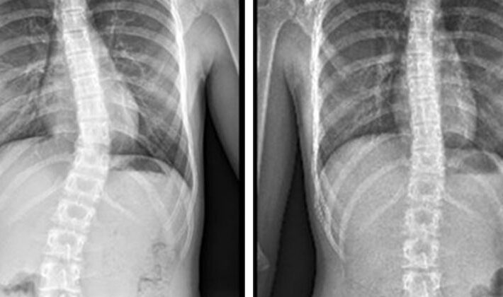
الجنف هو انحناء غير طبيعي في العمود الفقري نحو الجانبين، وقد يأخذ شكل “S” أو “C”. يظهر عادةً في سن المراهقة، وقد يكون السبب غير معروف (مجهول السبب)، أو ناتج عن أمراض عصبية أو عضلية أو تشوهات خلقية.

هل يحتاج أعوجاج العمود الفقري دائمًا إلى جراحة؟
لا. معظم حالات الجنف تكون خفيفة إلى متوسطة، ويمكن علاجها بدون جراحة، خصوصًا عند اكتشافها في مراحل مبكرة. الهدف من العلاجات غير الجراحية هو:
منع تفاقم الانحناء
- تحسين استقامه العمود الفقري
تخفيف الأعراض والألم
تحسين وضعية الجسم والتنفس والحركة

- إذا لاحظتِ أي انحراف واضح في استقامه الظهر، فمن الأفضل استشارة طبيب مجانا لتقييم الحالة.
ما هي أفضل العلاجات غير الجراحية لاعوجاج العمود الفقري؟
1. العلاج الطبيعي
العلاج الطبيعي يُعد من أبرز وأفضل الخيارات غير الجراحية لعلاج الجنف، ويشمل:
تمارين مخصصة لتقويم العمود الفقري
تقوية عضلات الظهر والبطن لدعم الفقرات
تحسين التوازن والمرونة والتنفس

برنامج “شروث” (Schroth Method) هو أحد أكثر أنواع العلاج الطبيعي فعالية لعلاج الجنف، ويُستخدم عالميًا لعلاج حالات الجنف عند الأطفال والبالغين.
2. التمارين العلاجية المنزلية
بجانب العلاج الطبيعي، هناك تمارين بسيطة يمكن ممارستها في المنزل تحت إشراف مختص، مثل:
تمارين التمدد الجانبي
تمارين التنفس العميق
تمارين التصحيح الذاتي للانحناء
تكرار هذه التمارين بانتظام يُساعد على تقليل درجة الانحناء وتحسين التحكم بالجسم.
3. استخدام الحزام الطبي
الحزام الطبي (مثل حزام بايوبريس) يُستخدم عادة للأطفال والمراهقين الذين لا تزال عظامهم في طور النمو.
يُرتدى لساعات محددة يوميًا بناءً على توصية الطبيب

مهم جدًا ارتداء الحزام بطريقة صحيحة ومتابعة الحالة بانتظام.
- إذا لاحظتِ أي انحراف واضح في استقامه الظهر، فمن الأفضل استشارة طبيب مجانا لتقييم الحالة.
6. العلاج الوظيفي التنفسي
مهم جدًا في حالات الجنف الصدري، حيث يؤثر الانحناء على الرئتين. يشمل:
تمارين تقوية الحجاب الحاجز
تمارين تحسين التنفس والتوسيع الصدري
يساعد ذلك على تقليل ضيق التنفس وتحسين الأداء البدني.
متى يكون العلاج غير الجراحي كافيًا؟
إذا كانت زاوية الانحناء أقل من 45 درجة
إذا كان النمو لا يزال مستمرًا
إذا لم تكن هناك أعراض عصبية أو ألم شديد
إذا كانت استجابة الجسم للعلاج إيجابية

متى يجب استشارة الطبيب؟
إذا لاحظت الأهل أن الانحناء يزداد بسرعة
إذا بدأ الطفل يشتكي من آلام متكررة أو صعوبة في التنفس
إذا ظهرت مشاكل في التوازن أو الحركة

- إذا لاحظتِ أي انحراف واضح في استقامه الظهر، فمن الأفضل استشارة طبيب مجانا لتقييم الحالة.
خلاصة المقال
العلاج غير الجراحي للجنف يُعتبر خطوة فعالة وآمنة خاصة في المراحل المبكرة. يشمل خيارات متعددة مثل العلاج الطبيعي، التمارين العلاجية، الحزام الطبي، . المفتاح هو التشخيص المبكر واتباع خطة علاجية منتظمة بإشراف مختصين.
الاعوجاج حالة مستمرة قد تحتاج تدخلًا في مراحل مختلفة من العمر. وبفضل وجود تقنيات التصنيف المعتمدة ، يمكن للأطباء تصميم خطة علاجية مخصصة تضمن تدخلاً جراحيًا عند الضرورة أو العلاج غير الجراحي قبل ذلك، لتفادي الاضطراب في الوظائف التنفسية أو أي أعراض متأخرة. فريقنا المحترف يضم نخبة من الأطباء والمتخصصين الذين يجمعون بين الخبرة والاحترافية لتقديم خطة علاجية شاملة ومخصصة لحالتك، تضمن السيطرة على الانحناء ومنع زيادته.

لا تسمح لاعوجاج العمود الفقري بأن يؤثر على صحتك أو يسبب مضاعفات مستقبلية خطيرة،. مع مركز الرواد، أنت في أيدٍ أمينة، نعتمد على أحدث الأساليب العالمية لتصنيف الحالة ووضع خطة علاج دقيقة تناسب كل مرحلة عمرية.
لماذا يجب عليكم اختيار مركز الرواد لتأهيل وعلاج اعوجاج العمود الفقري؟
خبرة متميزة وفريق متخصص: يضم المركز نخبة من الأخصائيين ذوي الخبرة في علاج حالات اعوجاج العمود الفقري لدى الأطفال والمراهقين.
خطط علاجية مخصصة: نوفر برامج علاجية مصممة خصيصًا لكل حالة لضمان أفضل النتائج دون الحاجة للجراحة.
أحدث التقنيات العالمية: نعتمد على تقنيات حديثة مثل أجهزة التقييم الدقيقة وأحزمة التقويم المتقدمة مثل PioBrace.

رعاية شاملة ودعم أسري: نحرص على توفير بيئة علاجية آمنة، مع تقديم الإرشادات اللازمة للأهل لدعم رحلة الطفل العلاجية بكل ثقة واطمئنان.
إن تأخير العلاج قد يؤدي إلى مضاعفات كبيرة، لذا لا تتردد في اتخاذ القرار الصحيح الآن!

احجز استشارتك الآن، ودعنا نساعدك لتحقيق أفضل نتيجة ممكنة، بأقل ألم وأعلى راحة
لا تدع الفرصة تفوتك للحصول على رعاية طبية متميزة، وابدأ رحلتك نحو التعافي الكامل مع مركز الرواد.

احجز تقييمك المجاني اليوم
اتصل بنا مباشرة على الرقم: 01044299365
أو احجز عبر موقعنا الإلكتروني
مواعيد مرنة – فريق طبي متخصص – استشارة مجانية تمامًا
قرارك اليوم… راحة وأمان غدًا
لا تترك الشكوك تؤخرك، اتخذ الخطوة الصحيحة الآن. ابدأ رحلة التعافي المبكر، وامنح فرصة للحياه بثقة .
تستحق الأفضل… فابدأ من اليوم!
احجز الآن ….



