
ما هو الجنف؟ الأسباب، الأعراض، وطرق العلاج بدون جراحة للأطفال والمراهقين
ما هو الجنف؟ الأسباب، الأعراض، وطرق العلاج بدون جراحة للأطفال والمراهقين
الجنف هو انحناء غير طبيعي في العمود الفقري يحدث عادة على شكل حرف “C” أو “S”، ويُعد من الحالات الشائعة لدى الأطفال والمراهقين، خاصة في فترة النمو السريع بين عمر 10 و15 عامًا. ورغم أنه قد يصيب أي فئة عمرية، إلا أن اكتشافه المبكر يلعب دورًا مهمًا في العلاج والوقاية من المضاعفات.
ما الفرق بين الجنف وسوء وضعية الجسم؟
قد يظن البعض أن الجنف يشبه الجلوس أو الوقوف بوضعية غير صحيحة، لكن الحقيقة مختلفة. الجنف هو تشوه هيكلي دائم في شكل العمود الفقري، ولا يمكن تصحيحه بمجرد الوقوف مستقيمًا، على عكس مشاكل الوضعية الناتجة عن عادات خاطئة.

ما الأسباب الشائعة للجنف؟
أغلب حالات الجنف تكون من النوع مجهول السبب، أي أن السبب غير معروف، ولكنه غالبًا مرتبط بعوامل وراثية. أما الأنواع الأخرى فلها أسباب معروفة، منها:
الجنف الخلقي: ينتج عن تشوه في الفقرات منذ الولادة.
الجنف العصبي العضلي: يحدث بسبب أمراض مثل الشلل الدماغي أو ضمور العضلات.
الجنف التنكسي: يظهر في كبار السن بسبب تآكل الغضاريف أو الفقرات.
كيف أعرف إذا كان طفلي مصابًا بالجنف؟
هناك علامات واضحة يجب الانتباه لها، من أهمها:
عدم تساوي الكتفين أو الوركين
بروز أحد لوحي الكتف أكثر من الآخر
ميلان الرأس أو الجسم إلى أحد الجانبين
انحناء واضح في الظهر عند الانحناء للأمام

إذا لاحظتِ أي انحراف واضح في استقامه الظهر، فمن الأفضل استشارة طبيب مجانا لتقييم الحالة.
ما هي الفحوصات المستخدمة لتشخيص الجنف؟
يعتمد التشخيص بشكل أساسي على:
الفحص السريري: لملاحظة أي انحناء أو اختلال في توازن الجسم.
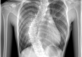
الأشعة السينية (X-ray): تُستخدم لقياس زاوية الانحناء بدقة (زاوية كوب).
الرنين المغناطيسي أو الأشعة المقطعية: تُستخدم إذا كان هناك شك في وجود مشاكل بالأعصاب أو الحبل الشوكي.

إذا لاحظتِ أي انحراف واضح في استقامه الظهر، فمن الأفضل استشارة طبيب مجانا لتقييم الحالة.
هل يمكن علاج الجنف بدون جراحة؟
نعم، العلاج غير الجراحي فعال جدًا في كثير من الحالات، خاصة إذا كان الانحناء خفيفًا أو متوسطًا. الخيارات تشمل:
العلاج الطبيعي: تمارين لتقوية عضلات الظهر وتحسين التوازن.
الدعامات (الأحزمة الطبية): تُستخدم عند الأطفال في مرحلة النمو.

متى نلجأ إلى الجراحة؟
الجراحة تكون ضرورية في الحالات التالية:
إذا تجاوزت زاوية الانحناء 45–50 درجة
إذا سبّب الانحناء مشاكل تنفسية أو عصبية
إذا لم تُجدي العلاجات غير الجراحية نفعًا

العملية تُجرى غالبًا باستخدام تقنيات حديثة لدمج الفقرات وتثبيت العمود الفقري بأدوات معدنية للحفاظ على استقامته.
هل يمكن للطفل ممارسة الرياضة إذا كان لديه جنف؟
نعم، لكن يجب اختيار التمارين المناسبة. السباحة، اليوغا، وتمارين التوازن مفيدة جدًا، بينما يجب تجنّب الرياضات التي تتطلب التواء مفرط أو رفع أوزان ثقيلة دون إشراف مختص.
هل يؤثر الجنف على الحياة اليومية؟
في معظم الحالات، يمكن للمريض التعايش مع الجنف بشكل طبيعي إذا التزم بالعلاج المناسب. الحفاظ على النشاط البدني، المتابعة مع الطبيب، والدعم النفسي من الأسرة أمور تساعد كثيرًا في تحسين جودة الحياة.
كيف يمكن الوقاية من مضاعفات الجنف؟
الفحص المبكر للأطفال في المدارس
مراقبة أي تغيّر في وضعية الجسم
الحفاظ على نمط حياة صحي ونشيط
الالتزام بتعليمات الأطباء

إذا لاحظتِ أي انحراف واضح في استقامه الظهر، فمن الأفضل استشارة طبيب مجانا لتقييم الحالة.
خلاصة المقال
الجنف ليس مجرد مشكلة شكلية، بل هو حالة طبية قد تؤثر على الصحة العامة إذا لم تُعالج بشكل صحيح. لكن الخبر الجيد أن معظم الحالات تُعالج بنجاح دون الحاجة إلى جراحة، خاصة إذا تم اكتشافها مبكرًا واتباع خطة علاج مناسبة.
الاعوجاج حالة مستمرة قد تحتاج تدخلًا في مراحل مختلفة من العمر. وبفضل وجود تقنيات التصنيف المعتمدة ، يمكن للأطباء تصميم خطة علاجية مخصصة تضمن تدخلاً جراحيًا عند الضرورة أو العلاج غير الجراحي قبل ذلك، لتفادي الاضطراب في الوظائف التنفسية أو أي أعراض متأخرة. فريقنا المحترف يضم نخبة من الأطباء والمتخصصين الذين يجمعون بين الخبرة والاحترافية لتقديم خطة علاجية شاملة ومخصصة لحالتك، تضمن السيطرة على الانحناء ومنع زيادته.

لا تسمح لاعوجاج العمود الفقري بأن يؤثر على صحتك أو يسبب مضاعفات مستقبلية خطيرة،. مع مركز الرواد، أنت في أيدٍ أمينة، نعتمد على أحدث الأساليب العالمية لتصنيف الحالة ووضع خطة علاج دقيقة تناسب كل مرحلة عمرية.
لماذا يجب عليكم اختيار مركز الرواد لتأهيل وعلاج اعوجاج العمود الفقري؟
خبرة متميزة وفريق متخصص: يضم المركز نخبة من الأخصائيين ذوي الخبرة في علاج حالات اعوجاج العمود الفقري لدى الأطفال والمراهقين.
خطط علاجية مخصصة: نوفر برامج علاجية مصممة خصيصًا لكل حالة لضمان أفضل النتائج دون الحاجة للجراحة.
أحدث التقنيات العالمية: نعتمد على تقنيات حديثة مثل أجهزة التقييم الدقيقة وأحزمة التقويم المتقدمة مثل PioBrace.

رعاية شاملة ودعم أسري: نحرص على توفير بيئة علاجية آمنة، مع تقديم الإرشادات اللازمة للأهل لدعم رحلة الطفل العلاجية بكل ثقة واطمئنان.
إن تأخير العلاج قد يؤدي إلى مضاعفات كبيرة، لذا لا تتردد في اتخاذ القرار الصحيح الآن!

احجز استشارتك الآن، ودعنا نساعدك لتحقيق أفضل نتيجة ممكنة، بأقل ألم وأعلى راحة
لا تدع الفرصة تفوتك للحصول على رعاية طبية متميزة، وابدأ رحلتك نحو التعافي الكامل مع مركز الرواد.

احجز تقييمك المجاني اليوم
اتصل بنا مباشرة على الرقم: 01044299365
أو احجز عبر موقعنا الإلكتروني
مواعيد مرنة – فريق طبي متخصص – استشارة مجانية تمامًا
قرارك اليوم… راحة وأمان غدًا
لا تترك الشكوك تؤخرك، اتخذ الخطوة الصحيحة الآن. ابدأ رحلة التعافي المبكر، وامنح فرصة للحياه بثقة .
تستحق الأفضل… فابدأ من اليوم!
احجز الآن ….



