يناير 2, 2026

فعالية حزام اعوجاج العمود الفقري: كيف يقلل الأنحناء ويحقق نتائج ملموسة…

فعالية حزام اعوجاج العمود الفقري: كيف يقلل الأنحناء ويحقق نتائج ملموسة يعاني العديد من الأطفال والمراهقين من الجنف مجهول السبب (Adolescent Idiopathic Scoliosis)، وهي حالة يتميز فيها العمود الفقري بانحناء جانبي غير طبيعي. ويُعد
يناير 2, 2026

هل يحدد مقدار التصحيح داخل حزام اعوجاج العمود الفقري نجاح العلاج لطفلك؟…

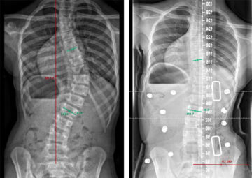
هل يحدد مقدار التصحيح داخل حزام اعوجاج العمود الفقري نجاح العلاج لطفلك؟ يعتمد نجاح علاج اعوجاج العمود الفقري مجهول السبب عند المراهقين بشكل كبير على العلاج بالحزام الطبي، لكن كثيرًا من الأهل يسألون: ما
أغسطس 9, 2025

تأثير معدل شدة الاعوجاج على نجاح حزام اعوجاج العمود الفقري؟…

تأثير معدل شدة الاعوجاج على نجاح حزام اعوجاج العمود الفقري؟ يعاني العديد من المراهقين من اعوجاج العمود الفقري (الجنف)، وهو انحناء جانبي للعمود الفقري يمكن أن يتفاقم مع النمو السريع خلال فترة المراهقة. من