يناير 26, 2026

كم يستغرق علاج اعوجاج العمود الفقري ومتى يصل طفلك للشفاء التام؟ دليل مبسط للأهالي…

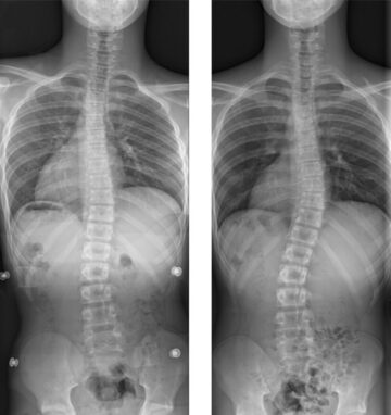
كم يستغرق علاج اعوجاج العمود الفقري ومتى يصل طفلك للشفاء التام؟ دليل مبسط للأهالي اعوجاج العمود الفقري، المعروف طبياً باسم Scoliosis، من أكثر الحالات التي تثير قلق الأهالي والمرضى، خاصة عند طرح السؤال الشائع:
ديسمبر 21, 2025

كم تستغرق مدة علاج اعوجاج العمود الفقري؟

كم تستغرق مدة علاج اعوجاج العمود الفقري؟ عند تشخيص الطفل أو المراهق بـ اعوجاج العمود الفقري (الجنف)، يتساءل كثير من الأهل:كم تستغرق مدة علاج اعوجاج العمود الفقري؟ وهل يمكن تحديد فترة معينة؟هذا السؤال شائع
ديسمبر 19, 2025

كم تستغرق مدة العلاج بحزام اعوجاج العمود الفقري؟…

كم تستغرق مدة العلاج بحزام اعوجاج العمود الفقري؟ عند تشخيص الطفل أو المراهق بـ اعوجاج العمود الفقري، يبدأ القلق فورًا، ويظهر سؤال أساسي ومهم: كم تستغرق مدة العلاج بحزام اعوجاج العمود الفقري؟ وهل يمكن