فبراير 8, 2026

ما هي زاوية كوب التي يُشخَّص عندها اعوجاج العمود الفقري؟…

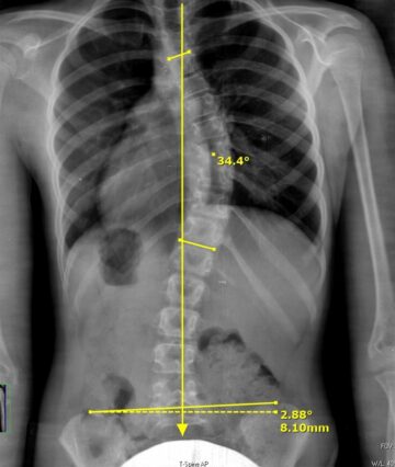
ما هي زاوية كوب التي يُشخَّص عندها اعوجاج العمود الفقري؟ عند تشخيص اعوجاج العمود الفقري، غالبًا ما يسمع الأهل والمرضى مصطلحًا طبيًا يتكرر كثيرًا وهو زاوية كوب. في هذه المرحلة، يبدأ القلق وتكثر الأسئلة،
يوليو 8, 2025

كيف يساعد الذكاء الاصطناعي في قياس زاوية كوب بدقة لتشخيص اعوجاج العمود الفقري؟…

كيف يساعد الذكاء الاصطناعي في قياس زاوية كوب بدقة لتشخيص اعوجاج العمود الفقري؟ يُعد تشخيص اعوجاج العمود الفقري بدقة من أهم الخطوات لضمان علاج فعال وتقليل المضاعفات المستقبلية، ويُعتبر قياس زاوية كوب (Cobb Angle)
أبريل 20, 2025

زاوية كوب لتشخيص اعوجاج العمود الفقري عند الأطفال والمراهقين | الدليل الطبي الشامل…

زاوية كوب لتشخيص اعوجاج العمود الفقري عند الأطفال والمراهقين | الدليل الطبي الشامل تحليل زاوية كوب (Cobb Angle) يُعد أداة أساسية في تشخيص مشكلات العظام، وخاصةً اعوجاج العمود الفقري (scoliosis). فمن خلال هذه الزاوية
أبريل 16, 2025

كيف تساعد زاوية كوب في تشخيص اعوجاج العمود الفقري بدقة…

كيف تساعد زاوية كوب في تشخيص اعوجاج العمود الفقري بدقة؟ تُعد زاوية كوب (Cobb Angle) المعيار الذهبي لقياس درجة انحناء العمود الفقري وتشخيص اعوجاج العمود الفقري المعروف باسم الجنف. كثير من المرضى أو أولياء