ديسمبر 26, 2025

كيف تعرف أن حزام اعوجاج العمود الفقري يعمل؟ 5 علامات حقيقية للنجاح…

كيف تعرف أن حزام اعوجاج العمود الفقري يعمل؟ 5 علامات حقيقية للنجاح يشعر كثير من المرضى والأهل بالقلق بعد بدء استخدام حزام اعوجاج العمود الفقري، ويتكرر سؤال مهم: هل الحزام يعمل فعلًا؟ وهل يحقق
نوفمبر 16, 2025

متى نحكم على نجاح حزام اعوجاج العمود الفقري؟ علامات وطرق متابعة تقدم طفلك…

متى نحكم على نجاح حزام اعوجاج العمود الفقري؟ علامات وطرق متابعة تقدم طفلك حزام اعوجاج العمود الفقري يُعدّ أحد أهم الوسائل غير الجراحية لعلاج الأطفال والمراهقين الذين يعانون من انحناء العمود الفقري خلال سنوات
نوفمبر 2, 2025

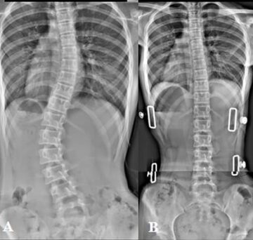
تأثير اختيار أماكن الضغط داخل حزام اعوجاج العمود الفقري على تصحيح الانحناء…

تأثير اختيار أماكن الضغط داخل حزام اعوجاج العمود الفقري على تصحيح الانحناء يُعد حزام اعوجاج العمود الفقري من أهم الأدوات العلاجية غير الجراحية التي تُستخدم لتصحيح الانحناءات في العمود الفقري عند الأطفال والمراهقين. ومع
مايو 23, 2025

كيف أتأكد أن حزام اعوجاج العمود الفقري يعمل بشكل صحيح؟ علامات نجاح الحزام…

كيف أتأكد أن حزام اعوجاج العمود الفقري يعمل بشكل صحيح؟ علامات نجاح الحزام يُعد الحزام الطبي لعلاج اعوجاج العمود الفقري (الجنف) من الوسائل الأكثر شيوعًا ونجاحًا في العلاج غير الجراحي للأطفال والمراهقين. ورغم أهميته