نوفمبر 11, 2025

تقوس الجزء العلوي من منتصف الظهر : كيف يؤثر على الرقبة والعمود الفقري عند المراهقين؟…

تقوس الجزء العلوي من منتصف الظهر : كيف يؤثر على الرقبة والعمود الفقري عند المراهقين؟ يعاني بعض المراهقين من اعوجاج العمود الفقري المراهقي مجهول السبب (AIS)، وهو أحد أكثر اضطرابات العمود الفقري شيوعًا أثناء
أكتوبر 6, 2025

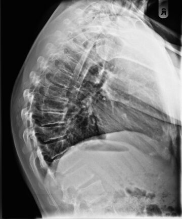
تقوس منتصف الظهر واعوجاج العمود الفقري: كيف يؤثر على شكل الجسم وحركة الفقرات؟…

تقوس منتصف الظهر واعوجاج العمود الفقري: كيف يؤثر على شكل الجسم وحركة الفقرات؟ يُعد اعوجاج العمود الفقري عند المراهقين (الجنف) من أكثر مشكلات النمو شيوعًا خلال فترة المراهقة. وغالبًا ما يلاحظ الأهل أن أحد