أغسطس 26, 2025

تأثير اعوجاج العمود الفقري على التنفس: متى يقلق الأهل وكيفية حماية وظائف الرئة؟…

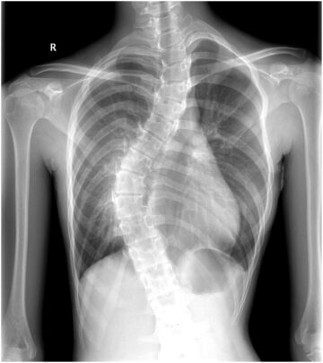
تأثير اعوجاج العمود الفقري على التنفس: متى يقلق الأهل وكيفية حماية وظائف الرئة؟ يُعد اعوجاج العمود الفقري مجهول السبب عند المراهقين (Adolescent Idiopathic Scoliosis – AIS) من أكثر تشوهات العمود الفقري شيوعًا في فترة
أغسطس 24, 2025

تأثير اعوجاج العمود الفقري على القفص الصدري والرئة عند المراهقين: هل يسبب ضيق تنفس؟…

تأثير اعوجاج العمود الفقري على القفص الصدري والرئة عند المراهقين: هل يسبب ضيق تنفس؟ يُعتبر اعوجاج العمود الفقري مجهول السبب عند المراهقين (Adolescent Idiopathic Scoliosis – AIS) من أكثر التشوهات الشائعة التي تصيب العمود
يوليو 1, 2025

نزيف الرئة عند الأطفال بسبب اعوجاج العمود الفقري: كيف تحمي طفلك؟…

نزيف الرئة عند الأطفال بسبب اعوجاج العمود الفقري: كيف تحمي طفلك؟ يعاني بعض الأطفال من اعوجاج العمود الفقري، أو ما يُعرف بالجنف، وهو انحناء جانبي للعمود الفقري يمكن أن يؤثر على صحة الجسم بطرق
أبريل 1, 2025

تأثير اعوجاج العمود الفقري على الرئة والتنفس عند الأطفال والمراهقين: أعراض خطيرة وحلو…

تأثير اعوجاج العمود الفقري على الرئة والتنفس عند الأطفال والمراهقين اعوجاج العمود الفقري، أو ما يُعرف طبيًا بـ”الجنف”، هو حالة شائعة تؤدي إلى انحناء غير طبيعي في العمود الفقري. ورغم أن الكثير من الناس