أكتوبر 1, 2025

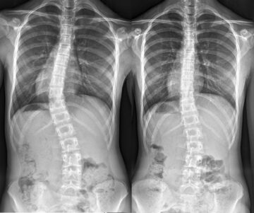
اعوجاج العمود الفقري عند الأطفال والمراهقين والبالغين: دليل شامل للعلاج حسب السن…

اعوجاج العمود الفقري عند الأطفال والمراهقين والبالغين: دليل شامل للعلاج حسب السن يعاني الكثير من الأطفال والمراهقين وحتى البالغين من اعوجاج العمود الفقري، وهو ميلان غير طبيعي للعمود الفقري يمكن أن يظهر على شكل
أبريل 1, 2025

الجنف التنكسي عند البالغين: أسبابه وأعراضه وأفضل طرق العلاج…

الجنف التنكسي عند البالغين: أسبابه وأعراضه وأفضل طرق العلاج الجنف التنكسي، أو ما يُعرف أيضًا باسم “الجنف التنكسي لدى البالغين”، هو حالة طبية تظهر نتيجة تآكل أو تدهور في فقرات العمود الفقري مع التقدم