
هل يسبب اعوجاج العمود الفقري الإمساك؟ اكتشف العلاقة وأفضل طرق تحسين الهضم لطفلك
هل يسبب اعوجاج العمود الفقري الإمساك؟
يعاني كثير من الأطفال والمراهقين وحتى الكبار من مشكلة اعوجاج العمود الفقري، وهي حالة طبية تؤدي إلى انحناء غير طبيعي في العمود الفقري. لكن هل تعلم أن هذا الانحناء قد لا يقتصر تأثيره على الظهر فقط؟ في الواقع، يمكن أن يؤثر بشكل مباشر على صحة الجهاز الهضمي ويسبب أعراضًا مثل الإمساك والانتفاخ واضطرابات في حركة الأمعاء. في هذا المقال، نُجيب على أهم الأسئلة التي تدور في أذهان المرضى وأهاليهم حول العلاقة بين اعوجاج العمود الفقري والجهاز الهضمي، ونقدم نصائح فعالة لتحسين جودة الحياة والهضم.
هل اعوجاج العمود الفقري يسبب الإمساك؟
نعم، في بعض الحالات، قد يسبب اعوجاج العمود الفقري مشاكل في عملية الهضم، وأشهرها الإمساك المزمن. السبب وراء ذلك يعود إلى أن انحناء العمود الفقري قد يؤدي إلى:
-
تغيير موضع الأمعاء والمعدة داخل البطن، مما يؤثر على حركتها الطبيعية.
-
الضغط على الأعضاء الداخلية، خاصة في حالات الانحناء الشديد.
-
تأثير غير مباشر على الإشارات العصبية التي تتحكم في حركة الأمعاء.
هذه العوامل مجتمعة يمكن أن تُبطئ من حركة الأمعاء وتُسبب الإمساك والانتفاخ والشعور بعدم الراحة.
ما هي الأعراض الهضمية المرتبطة باعوجاج العمود الفقري؟
من أكثر الأعراض شيوعًا التي يمكن أن تظهر لدى المرضى:
-
الإمساك المتكرر أو المزمن
-
انتفاخ البطن وصعوبة في التبرز
-
ألم أو ثقل في المعدة
-
عدم انتظام في حركة الأمعاء
وغالبًا ما تزداد هذه الأعراض مع الجلوس لفترات طويلة أو بعد تناول وجبات دسمة.
- إذا لاحظتِ أي انحراف واضح في استقامه الظهر، فمن الأفضل استشارة طبيب مجانا لتقييم الحالة.
حالات توضح العلاقة بين العمود الفقري والجهاز الهضمي
-
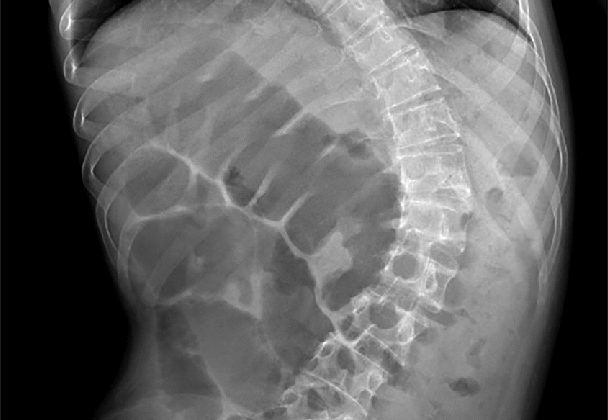
المريضة (أ): فتاة عمرها 16 عامًا مصابة بانحناء شديد (60 درجة)، تعاني من إمساك متكرر وتأخر في حركة الأمعاء.
-
المريض (ب): رجل عمره 32 عامًا، يشكو من انتفاخ دائم وإمساك مزمن منذ طفولته بسبب اعوجاج غير معالج في العمود الفقري.
هذه الأمثلة توضح كيف يمكن أن تؤدي مشاكل العمود الفقري إلى اضطرابات في الجهاز الهضمي تؤثر على الحياة اليومية.
كيف يمكن تحسين الهضم وتقليل الإمساك لمرضى اعوجاج العمود الفقري؟
أولًا: التعديلات الغذائية
-
تناول الألياف بكثرة: من خلال الفواكه مثل التفاح والكمثرى، والخضروات مثل السبانخ والجزر، والحبوب الكاملة مثل الشوفان والخبز الأسمر.
-
شرب الماء بانتظام: لا يقل عن 6-8 أكواب يوميًا للمساعدة في تليين البراز.
-
تجنب الأطعمة المهيجة: مثل الأطعمة الدهنية والمقليات ومنتجات الألبان (إذا كانت تسبب الغازات أو الانتفاخ).
ثانيًا: التمارين والعلاج الطبيعي
-
ممارسة تمارين لتحسين وضعية الجسم: خاصة التمارين التي يوصي بها أخصائي العلاج الطبيعي لعلاج اعوجاج العمود الفقري.
-
تمارين التنفس العميق: تُساعد على تخفيف التوتر وتسهيل عملية الهضم.
-
العلاج الطبيعي المنتظم: يمكن أن يُخفف من الضغط على الأمعاء ويُحسن الأداء الوظيفي للجهاز الهضمي.
متى يجب زيارة الطبيب؟
-
إذا استمر الإمساك لفترة طويلة رغم تغيير النظام الغذائي.
-
إذا ظهرت أعراض مزعجة مثل الألم الشديد، أو وجود دم في البراز.
-
إذا كان اعوجاج العمود الفقري شديدًا ويؤثر على أنشطة الحياة اليومية.
في هذه الحالات، يُنصح بمراجعة أخصائي أمراض الجهاز الهضمي بالتعاون مع أخصائي علاج طبيعي متخصص في الجنف، لتقييم الحالة ووضع خطة علاج شاملة.
هل يمكن علاج الإمساك الناتج عن اعوجاج العمود الفقري نهائيًا؟
التحكم بالأعراض وتحسين الهضم ممكن جدًا من خلال:
-
ممارسة الرياضة بانتظام
-
الاهتمام بالوضعية السليمة للجسم
-
الخضوع للعلاج الطبيعي
في بعض الحالات الشديدة، قد يتطلب الأمر تدخلًا طبيًا أوسع، مثل استخدام الحزام الطبي أو الجراحة لتقويم العمود الفقري، خاصة إذا كان الانحناء يؤثر بشكل مباشر على أعضاء الجسم.
- إذا لاحظتِ أي انحراف واضح في استقامه الظهر، فمن الأفضل استشارة طبيب مجانا لتقييم الحالة.
خلاصة المقال
اعوجاج العمود الفقري ليس فقط مشكلة متعلقة بالمظهر أو الظهر، بل قد يؤثر على صحة الجهاز الهضمي ويسبب الإمساك والانتفاخ، خصوصًا إذا كان الانحناء شديدًا. من خلال التغذية السليمة، والتمارين، والمتابعة مع الأطباء المتخصصين، يمكن تحسين الأعراض بشكل كبير والاستمتاع بحياة أفضل وأكثر راحة.
الاعوجاج حالة مستمرة قد تحتاج تدخلًا في مراحل مختلفة من العمر. وبفضل وجود تقنيات التصنيف المعتمدة ، يمكن للأطباء تصميم خطة علاجية مخصصة تضمن تدخلاً جراحيًا عند الضرورة أو العلاج غير الجراحي قبل ذلك، لتفادي الاضطراب في الوظائف التنفسية أو أي أعراض متأخرة. فريقنا المحترف يضم نخبة من الأطباء والمتخصصين الذين يجمعون بين الخبرة والاحترافية لتقديم خطة علاجية شاملة ومخصصة لحالتك، تضمن السيطرة على الانحناء ومنع زيادته.
لا تسمح لاعوجاج العمود الفقري بأن يؤثر على صحتك أو يسبب مضاعفات مستقبلية خطيرة،. مع مركز الرواد، أنت في أيدٍ أمينة، نعتمد على أحدث الأساليب العالمية لتصنيف الحالة ووضع خطة علاج دقيقة تناسب كل مرحلة عمرية.
لماذا يجب عليكم اختيار مركز الرواد لتأهيل وعلاج اعوجاج العمود الفقري؟
خبرة متميزة وفريق متخصص: يضم المركز نخبة من الأخصائيين ذوي الخبرة في علاج حالات اعوجاج العمود الفقري لدى الأطفال والمراهقين.
خطط علاجية مخصصة: نوفر برامج علاجية مصممة خصيصًا لكل حالة لضمان أفضل النتائج دون الحاجة للجراحة.
أحدث التقنيات العالمية: نعتمد على تقنيات حديثة مثل أجهزة التقييم الدقيقة وأحزمة التقويم المتقدمة مثل PioBrace.
رعاية شاملة ودعم أسري: نحرص على توفير بيئة علاجية آمنة، مع تقديم الإرشادات اللازمة للأهل لدعم رحلة الطفل العلاجية بكل ثقة واطمئنان.
إن تأخير العلاج قد يؤدي إلى مضاعفات كبيرة، لذا لا تتردد في اتخاذ القرار الصحيح الآن!
احجز استشارتك الآن، ودعنا نساعدك لتحقيق أفضل نتيجة ممكنة، بأقل ألم وأعلى راحة
لا تدع الفرصة تفوتك للحصول على رعاية طبية متميزة، وابدأ رحلتك نحو التعافي الكامل مع مركز الرواد.
احجز تقييمك المجاني اليوم
اتصل بنا مباشرة على الرقم: 01044299365
أو احجز عبر موقعنا الإلكتروني
مواعيد مرنة – فريق طبي متخصص – استشارة مجانية تمامًا
قرارك اليوم… راحة وأمان غدًا
لا تترك الشكوك تؤخرك، اتخذ الخطوة الصحيحة الآن. ابدأ رحلة التعافي المبكر، وامنح فرصة للحياه بثقة .
تستحق الأفضل… فابدأ من اليوم!
احجز الآن ….