كيفية قراءة تقرير الأشعة في حالات اعوجاج العمود الفقري: دليل مبسط للأهل
كيفية قراءة تقرير الأشعة في حالات اعوجاج العمود الفقري: دليل مبسط للأهل
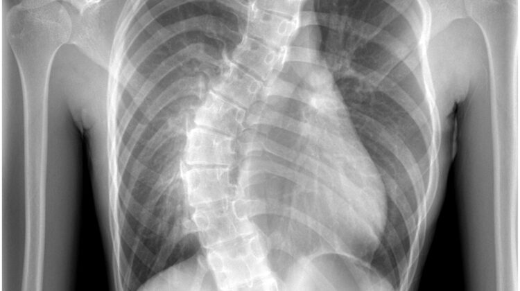
يعاني بعض الأطفال والمراهقين من اعوجاج في العمود الفقري، وهو انحناء جانبي قد يظهر خلال فترة النمو السريع. بعد زيارة الطبيب وإجراء الأشعة، غالبًا ما يجد الأهل صعوبة في فهم ما تعنيه الأرقام والمصطلحات الطبية في التقرير. في هذا المقال سنشرح بطريقة بسيطة كيفية قراءة تقرير الأشعة وما يجب التركيز عليه لفهم حالة الطفل بشكل أفضل.
ما هو تقرير الأشعة ولماذا يُطلب مع اعوجاج العمود الفقري؟
تقرير الأشعة هو وصف مفصل لما أظهرته الصور المأخوذة للعمود الفقري. الهدف منه:
-
قياس درجة الانحناء.
-
تحديد موقع الانحناء في العمود الفقري.
-
معرفة ما إذا كان الانحناء ثابتًا أو متزايدًا.
الأشعة الأكثر استخدامًا لتشخيص اعوجاج العمود الفقري هي الأشعة السينية (X-ray)، وأحيانًا يُستخدم تصوير بالرنين المغناطيسي (MRI) إذا احتاج الطبيب لفحص الأعصاب أو الأقراص بين الفقرات.
أهم المصطلحات في تقرير أشعة اعوجاج العمود الفقري
-
زاوية كوب (Cobb Angle):
-
أهم رقم يجب الانتباه له.
-
يقيس درجة انحناء العمود الفقري بالدرجات.
-
كلما زادت الزاوية، زاد الانحناء، وقد يحتاج الطفل إلى متابعة أو علاج.
-

-
نوع الانحناء (Curve Type):
-
يشير إلى مكان الانحناء: صدري، قطني، أو مزدوج.
-
يساعد الطبيب على وضع خطة العلاج المناسبة، سواء كانت تمارين، حزام داعم، أو جراحة في حالات محددة.
-
-
التحيز الجانبي للفقرات (Vertebral Rotation):
-
يوضح مدى دوران الفقرات حول نفسها نتيجة الانحناء.
-
يؤثر على شكل القفص الصدري والكتفين.
-
-
خطوط التوازن (Plumb Line):
-
تقيس ما إذا كان العمود الفقري متوازنًا عند الوقوف.
-
أي انحراف عن الخط الطبيعي قد يشير إلى ضرورة متابعة دقيقة أو تدخل علاجي.
-
إذا لاحظتِ علامات انحناء في ظهر طفلك، أو لاحظتِ عدم تماثل بين الجانبين، فلا تتردد الأن في استشارة مجانيه من طبيب متخصص.
كيف يقرأ الأهل تقرير أشعة اعوجاج العمود الفقري؟
-
ركز على زاوية كوب: الرقم الأهم الذي يحدد شدة الانحناء.
-
لاحظ نوع الانحناء وموقعه: يساعدك على فهم سبب الاختلاف في شكل الكتفين أو الوركين.
-
التحقق من التوازن العام: قراءة ملاحظات الطبيب حول خطوط التوازن تساعدك على معرفة إذا كان الانحناء يؤثر على وضعية الجسم بشكل عام.

أسئلة شائعة حول اعوجاج العمود الفقري
-
هل زاوية كوب العالية تعني ضرورة الجراحة؟
لا بالضرورة. بعض الحالات يمكن علاجها بالتمارين أو الحزام الطبي، والجراحة تكون للحالات الشديدة أو المتزايدة بسرعة. -
هل الانحناء سيزيد مع الوقت؟
يعتمد على عمر الطفل ومرحلة النمو. الأشعة المتكررة تساعد الطبيب على متابعة التغيرات واتخاذ القرار المناسب في الوقت المناسب. -
هل يمكن للأطفال ممارسة الرياضة؟
نعم، معظم الأطفال يمكنهم ممارسة الرياضة بانتظام، لكن قد يوصي الطبيب ببعض التمارين الخاصة لتقوية عضلات الظهر وتحسين الوضعية.
إذا لاحظتِ علامات انحناء في ظهر طفلك، أو لاحظتِ عدم تماثل بين الجانبين، فلا تتردد الأن في استشارة مجانيه من طبيب متخصص.
نصائح لفهم تقرير أشعة اعوجاج العمود الفقري بشكل أفضل
-
احمل التقرير معك عند كل زيارة للطبيب لتفسير الأرقام بدقة.
-
اطلب من الطبيب شرح ما تعنيه الزوايا والانحناءات بالكلمات البسيطة.
-
لا تعتمد على الإنترنت فقط لتفسير التقرير، فكل حالة تختلف عن الأخرى.
-
تابع الأشعة الدورية لتقييم مدى تطور الانحناء أو تحسنه بعد العلاج.

إذا لاحظتِ علامات انحناء في ظهر طفلك، أو لاحظتِ عدم تماثل بين الجانبين، فلا تتردد الأن في استشارة مجانيه من طبيب متخصص.
خطوات عملية بعد استلام تقرير اعوجاج العمود الفقري
-
حدد موعدًا مع طبيب متخصص في أعوجاج العمود الفقري أو العلاج الطبيعي للأطفال.
-
ناقش رقم زاوية كوب ونوع الانحناء وخطوط التوازن مع الطبيب.
-
احرص على متابعة نمو الطفل والتغيرات في شكل الظهر باستمرار.
- اسأل عن خطة العلاج المناسبة سواء كانت تمارين، حزام، أو متابعة دورية.

إذا لاحظتِ علامات انحناء في ظهر طفلك، أو لاحظتِ عدم تماثل بين الجانبين، فلا تتردد الأن في استشارة مجانيه من طبيب متخصص.
خلاصة
-
قراءة تقرير الأشعة ليست معقدة إذا ركزت على أهم العناصر: زاوية كوب، نوع الانحناء، خطوط التوازن.
-
فهم هذه المعلومات يساعدك كأهل على متابعة حالة طفلك واتخاذ القرارات العلاجية المبكرة.
-
الكشف المبكر والمتابعة المنتظمة مع طبيب متخصص يمكن أن تمنع تطور الانحناء إلى حالة دائمة.
-
التمارين المنتظمة، الملاحظة الدقيقة من الأهل، واتباع تعليمات الطبيب هي المفتاح للحفاظ على عمود فقري سليم ومتوازن لدى الأطفال والمراهقين.
الاعوجاج حالة مستمرة ولهذا السب قد تحتاج تدخلًا في مراحل مختلفة من العمر. وبفضل وجود تقنيات التصنيف المعتمدة ، يمكن للأطباء تصميم خطة علاجية مخصصة تضمن تدخلاً جراحيًا عند الضرورة أو العلاج غير الجراحي قبل ذلك، لتفادي الاضطراب في الوظائف التنفسية أو أي أعراض متأخرة. فريقنا المحترف يضم نخبة من الأطباء والمتخصصين الذين يجمعون بين الخبرة والاحترافية لتقديم خطة علاجية غيرر جراحيه شاملة ومخصصة لحالتك، تضمن السيطرة على الانحناء ومنع زيادته.

لا تسمح لاعوجاج العمود الفقري بأن يؤثر على صحتك أو يسبب مضاعفات مستقبلية خطيرة،. مع مركز الرواد، أنت في أيدٍ أمينة، نعتمد على أحدث الأساليب العالمية لتصنيف الحالة ووضع خطة علاج دقيقة تناسب كل مرحلة عمرية.
لماذا يجب عليكم اختيار مركز الرواد لتأهيل وعلاج اعوجاج العمود الفقري؟
خبرة متميزة وفريق متخصص: يضم المركز نخبة من الأخصائيين ذوي الخبرة في علاج حالات اعوجاج العمود الفقري لدى الأطفال والمراهقين.
خطط علاجية مخصصة: نوفر برامج علاجية مصممة خصيصًا لكل حالة لضمان أفضل النتائج دون الحاجة للجراحة.
أحدث التقنيات العالمية: نعتمد على تقنيات حديثة مثل أجهزة التقييم الدقيقة وأحزمة التقويم المتقدمة مثل PioBrace.

رعاية شاملة ودعم أسري: نحرص على توفير بيئة علاجية آمنة، مع تقديم الإرشادات اللازمة للأهل لدعم رحلة الطفل العلاجية بكل ثقة واطمئنان.
إن تأخير العلاج قد يؤدي إلى مضاعفات كبيرة، لذا لا تتردد في اتخاذ القرار الصحيح الآن!

احجز استشارتك المجانيه الآن، ودعنا نساعدك لتحقيق أفضل نتيجة ممكنة، بأقل ألم وأعلى راحة
لا تدع الفرصة تفوتك للحصول على رعاية طبية متميزة، وابدأ الان رحلتك نحو التعافي الكامل مع مركز الرواد.

احجز تقييمك المجاني اليوم
اتصل بنا مباشرة على الرقم: 01044299365
أو احجز الان عبر موقعنا الإلكتروني
مواعيد مرنة – فريق طبي متخصص – استشارة مجانية تمامًا
قرارك اليوم… راحة وأمان غدًا
لا تترك الشكوك تؤخرك، اتخذ الخطوة الصحيحة الآن. ابدأ رحلة التعافي المبكر، وامنح فرصة للحياه بثقة .
تستحق الأفضل… فابدأ من اليوم!
احجز الآن ….




