اعوجاج العمود الفقري وورم الغانغليونوما عند الأطفال: الأسباب، التشخيص، والعلاج
اعوجاج العمود الفقري وورم الغانغليونوما عند الأطفال: الأسباب، التشخيص، والعلاج
يُعدّ اعوجاج العمود الفقري لدى الأطفال من أكثر مشكلات العظام شيوعًا في مرحلة النمو، وغالبًا ما يظهر بشكل مفاجئ دون سبب واضح، فيما يُعرف بالاعوجاج مجهول السبب. لكن في بعض الحالات النادرة، يكون الاعوجاج ثانويًا، أي ناتجًا عن مشكلة داخل العمود الفقري أو بجواره، مثل ورم الغانغليونوما (Ganglioneuroma)، وهو ورم حميد ينمو ببطء وقد يؤدي إلى انحناء العمود الفقري.
هذا المقال يقدّم لك شرحًا مبسطًا ودقيقًا حول هذه الحالة، مع توضيح:
-
ما هو ورم الغانغليونوما؟
-
كيف يسبب اعوجاج العمود الفقري؟
-
ما العلامات التي يجب أن ينتبه لها الأهل؟
-
متى يحتاج الطفل إلى أشعة رنين مغناطيسي؟
-
كيف يتم العلاج؟
-
وهل هذا النوع من الأورام خطير؟
ما هو ورم الغانغليونوما؟
ورم الغانغليونوما هو ورم حميد وغير سرطاني ينمو من خلايا الجهاز العصبي الودي (Sympathetic nervous system). يظهر غالبًا في:

-
خلف تجويف الصدر
-
البطن
-
الرقبة
-
قرب العمود الفقري
الورم عادة بطيء النمو، ولا ينتشر في الجسم، لكنه قد يضغط على الأعصاب أو العظام المجاورة، فيتسبب في تغيّر شكل العمود الفقري وظهور انحناء يشبه تمامًا اعوجاج العمود الفقري مجهول السبب.
كيف يسبب ورم الغانغليونوما اعوجاج العمود الفقري؟
عندما ينمو الورم بالقرب من العمود الفقري، قد يسبب:
-
ضغطًا على الفقرات يؤدي إلى انحراف تدريجي.
-
ضغطًا على الأعصاب مما يسبّب ضعفًا في بعض العضلات المسؤولة عن ثبات الظهر.
-
عدم توازن في عضلات الجذع يميل معه الطفل إلى جهة دون أخرى.
-
تشوّهًا هيكليًا بسيطًا إذا كان الورم كبيرًا أو ملاصقًا للفقرات.
كل ذلك يؤدي إلى انحناء غير طبيعي قد يختلط على الأطباء في البداية ويبدو كأنه اعوجاج طبيعي.
هل ورم الغانغليونوما خطير؟
اطمئن، فهو ورم حميد جدًا، ولا يتحول عادة إلى ورم سرطاني.
لكن خطورته تكمن في:
-
التأثير على شكل العمود الفقري
-
ضغطه على الحبل الشوكي أو الأعصاب
-
التأخر في اكتشافه إذا تم تشخيص الانحناء على أنه اعوجاج مجهول السبب فقط

لذلك التشخيص المبكر مهم للغاية.
علامات تنبّه الأهل إلى أن اعوجاج العمود الفقري قد يكون ناتجًا عن ورم
هناك مجموعة من علامات الخطر (Red Flags) التي تستدعي الانتباه وإجراء فحوصات إضافية:
1. ألم في الظهر
اعوجاج العمود الفقري مجهول السبب غالبًا غير مؤلم.
لكن إذا كان الانحناء مصحوبًا بـ:
-
ألم متكرر
-
ألم يمنع النوم
-
ألم مستمر في نفس المنطقة
فهذا يستدعي فحصًا دقيقًا.
2. زيادة سريعة في الانحناء
إذا ساءت زاوية الاعوجاج خلال فترة قصيرة، فهذا قد يشير إلى وجود ضغط داخلي أو كتلة خلف العمود الفقري.
3. أعراض عصبية
مثل:
-
تنميل في الساقين
-
ضعف عضلي
-
صعوبة في المشي
-
فقدان الاتزان
هذه علامات مهمة قد تشير إلى ضغط على الأعصاب.
4. بداية الاعوجاج في سن صغير جدًا
ظهور الاعوجاج قبل عمر 10 سنوات يستدعي الحذر، لأن هذا العمر أكثر ارتباطًا بالأسباب الثانوية.
5. انحناء غير طبيعي في الأشعة
مثل:
-
انحناء في مستوى غير شائع
-
شكل غير منتظم للفقرات

إذا لاحظتِ علامات انحناء في ظهر طفلك، أو لاحظتِ عدم تماثل بين الجانبين، فلا تتردد الأن في استشارة مجانيه من طبيب متخصص.
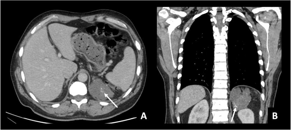
متى يجب إجراء أشعة رنين مغناطيسي (MRI) لاعوجاج العمود الفقري؟
يُعد الرنين المغناطيسي أهم فحص للكشف عن الأورام خلف العمود الفقري.
يُجرى MRI عندما:
-
يكون الانحناء مؤلمًا
-
تظهر أعراض عصبية
-
يكون الانحناء غير متماثل أو غير مألوف
-
لا يتحسن الطفل رغم العلاج
-
تكون هناك شكوك في وجود كتلة أو ورم
أهمية MRI أنه:
-
يُظهر الورم بدقة
-
يحدد حجمه وموقعه
-
يوضح مدى تأثيره على الفقرات والأعصاب
-
يساعد على التخطيط للعلاج الصحيح
كيف يشخّص الطبيب اعوجاج العمود الفقري الناتج عن ورم؟
1. فحص سريري شامل
يشمل:
-
فحص وضعية الطفل
-
ملاحظة ميلان الكتفين
-
تقييم قوة العضلات
-
البحث عن أي ألم عند اللمس
2. الأشعة السينية (X-ray)
تُظهر:
-
شكل الفقرات
-
نمط الانحناء
إذا ظهر أي شيء غير طبيعي، ينتقل الطبيب للخطوة التالية.
3. أشعة الرنين المغناطيسي (MRI)
وهو الفحص الذي يكشف عن:
-
الأورام
-
التشوّهات داخل القناة الشوكية
-
الضغط على الأعصاب

هل يمكن علاج اعوجاج العمود الفقري الناتج عن ورم الغانغليونوما؟
نعم، وغالبًا تكون النتائج ممتازة بعد علاج الورم.
العلاج يختلف حسب حجم الورم ومكانه، ويشمل:
1. الجراحة لإزالة الورم
إذا كان الورم يضغط على الأعصاب أو الفقرات، تتم إزالته جراحيًا.
في أغلب الحالات، بعد إزالة الورم:
-
يتحسن الاعوجاج
-
يثبت العمود الفقري
-
يقل الألم تدريجيًا
2. المتابعة الدورية
بعد العلاج، يحتاج الطفل إلى:
-
أشعة سينية كل فترة
-
متابعة النمو
-
تقييم وضعية العمود الفقري
3. العلاج الطبيعي
يهدف إلى:

-
إعادة توازن عضلات الظهر
-
تحسين قوة الجذع
-
تحسين المشي ووضعية الجسم
-
تقويم للانحناء
إذا لاحظتِ علامات انحناء في ظهر طفلك، أو لاحظتِ عدم تماثل بين الجانبين، فلا تتردد الأن في استشارة مجانيه من طبيب متخصص.
أسئلة شائعة يطرحها الأهل حول اعوجاج العمود الفقري وورم الغانغليونوما
هل كل اعوجاج يحتاج MRI؟
لا، لكن إذا ظهرت علامات الخطر أو ألم مستمر أو أعراض عصبية، يجب عمل MRI.
هل ورم الغانغليونوما سرطان؟
لا، هو ورم حميد جدًا، ولا ينتشر.
هل يعود الانحناء بعد علاج الورم؟
غالبًا لا، خاصة إذا كان الطفل صغيرًا وتم العلاج مبكرًا.
هل يحتاج الطفل إلى حزام اعوجاج العمود الفقري؟
في بعض الحالات الخفيفة، قد يستخدم مؤقتًا لتحسين التوازن، لكن القرار يعتمد على حالة العمود الفقري بعد علاج الورم.

هل الجراحة خطيرة؟
جراحات إزالة الغانغليونوما آمنة نسبيًا، ونتائجها ممتازة إذا نُفّذت بيد فريق متخصص.
إذا لاحظتِ علامات انحناء في ظهر طفلك، أو لاحظتِ عدم تماثل بين الجانبين، فلا تتردد الأن في استشارة مجانيه من طبيب متخصص.
خلاصة
اعوجاج العمود الفقري عند الأطفال ليس دائمًا مجهول السبب.
قد يكون في حالات نادرة علامة على وجود ورم حميد مثل الغانغليونوما، وهو ورم غير خطير لكنه قد يؤثر على شكل العمود الفقري إذا لم يُكتشف مبكرًا.
لذلك يجب على الأهل:
-
مراقبة أي ألم غير طبيعي
-
ملاحظة أي تغيّر مفاجئ في شكل الظهر
-
طلب تقييم طبي فورًا إذا ظهرت أعراض عصبية
التشخيص المبكر ليس فقط يمنع تفاقم الاعوجاج، بل قد يكون مفتاحًا لشفاء كامل وعودة الطفل لممارسة حياته بشكل طبيعي.
الاعوجاج حالة مستمرة ولهذا السب قد تحتاج تدخلًا في مراحل مختلفة من العمر. وبفضل وجود تقنيات التصنيف المعتمدة ، يمكن للأطباء تصميم خطة علاجية مخصصة تضمن تدخلاً جراحيًا عند الضرورة أو العلاج غير الجراحي قبل ذلك، لتفادي الاضطراب في الوظائف التنفسية أو أي أعراض متأخرة. فريقنا المحترف يضم نخبة من الأطباء والمتخصصين الذين يجمعون بين الخبرة والاحترافية لتقديم خطة علاجية غيرر جراحيه شاملة ومخصصة لحالتك، تضمن السيطرة على الانحناء ومنع زيادته.

لا تسمح لاعوجاج العمود الفقري بأن يؤثر على صحتك أو يسبب مضاعفات مستقبلية خطيرة،. مع مركز الرواد، أنت في أيدٍ أمينة، نعتمد على أحدث الأساليب العالمية لتصنيف الحالة ووضع خطة علاج دقيقة تناسب كل مرحلة عمرية.
لماذا يجب عليكم اختيار مركز الرواد لتأهيل وعلاج اعوجاج العمود الفقري؟
خبرة متميزة وفريق متخصص: يضم المركز نخبة من الأخصائيين ذوي الخبرة في علاج حالات اعوجاج العمود الفقري لدى الأطفال والمراهقين.
خطط علاجية مخصصة: نوفر برامج علاجية مصممة خصيصًا لكل حالة لضمان أفضل النتائج دون الحاجة للجراحة.
أحدث التقنيات العالمية: نعتمد على تقنيات حديثة مثل أجهزة التقييم الدقيقة وأحزمة التقويم المتقدمة مثل PioBrace.

رعاية شاملة ودعم أسري: نحرص على توفير بيئة علاجية آمنة، مع تقديم الإرشادات اللازمة للأهل لدعم رحلة الطفل العلاجية بكل ثقة واطمئنان.
إن تأخير العلاج قد يؤدي إلى مضاعفات كبيرة، لذا لا تتردد في اتخاذ القرار الصحيح الآن!

احجز استشارتك المجانيه الآن، ودعنا نساعدك لتحقيق أفضل نتيجة ممكنة، بأقل ألم وأعلى راحة
لا تدع الفرصة تفوتك للحصول على رعاية طبية متميزة، وابدأ الان رحلتك نحو التعافي الكامل مع مركز الرواد.

احجز تقييمك المجاني اليوم
اتصل بنا مباشرة على الرقم: 01044299365
أو احجز الان عبر موقعنا الإلكتروني
مواعيد مرنة – فريق طبي متخصص – استشارة مجانية تمامًا
قرارك اليوم… راحة وأمان غدًا
لا تترك الشكوك تؤخرك، اتخذ الخطوة الصحيحة الآن. ابدأ رحلة التعافي المبكر، وامنح فرصة للحياه بثقة .
تستحق الأفضل… فابدأ من اليوم!
احجز الآن ….




